纳米羟基磷灰石-聚醚碳酸酯脲静电纺丝膜促进骨缺损修复
周孝辉, 王思怡, 周启云, 何 钊, 贾玉娟, 王元斌, 马建武, 陈 刚, 郑 峰, 褚耿磊. 纳米羟基磷灰石-聚醚碳酸酯脲静电纺丝膜促进骨缺损修复[J]. 中国组织工程研究, 2026, 30(20):
5134-5142. doi: 10.12307/2026.659
摘要
(
131 )
PDF(8326KB)
(
30
)
引言 |
材料方法 |
结果 |
讨论 |
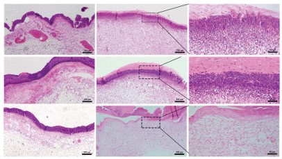
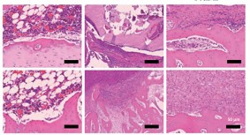
图/表 |
参考文献 |
文章快阅 |
延伸阅读 |
手机杂志 |
点击(
131 ) | 下载(
30
) |
多维度评价 |
文章评价 |
相关文章
|