Loading...

Table of Content

    08 July 2026, Volume 30 Issue 19 Previous Issue    Next Issue
    For Selected: Toggle Thumbnails
    Acanthopanax exosome-like nanovesicles promote osteogenic differentiation of human bone marrow mesenchymal stem cells
    Zhong Zhuolan, Peng Zhina, Tian Xiaohong, Han Cuifei, Zhang Zihan, Chu Jiaqi
    2026, 30 (19):  4825-4835.  doi: 10.12307/2026.245
    Abstract ( 108 )   PDF (12488KB) ( 39 )   Save
    BACKGROUND:  Acanthopanax and its extracts exhibit osteogenic effects, but the osteogenic potential and mechanisms of acanthopanax exosome-like nanovesicles remain unclear. 
    OBJECTIVE: To investigate the molecular mechanism by which acanthopanax exosome-like nanovesicles promote osteogenic differentiation of human bone marrow mesenchymal stem cells and their preventive role in osteoporosis.
    METHODS: (1) Human bone marrow mesenchymal stem cells were extracted by gradient density centrifugation. Exosome-like nanovesicles derived from acanthopanax were isolated by differential centrifugation and sucrose gradient density centrifugation. (2) Human bone marrow mesenchymal stem cells were treated with 0, 2.5, and 5 μg/mL acanthopanax exosome-like nanovesicles. Osteogenic differentiation was assessed by alkaline phosphatase staining, Alizarin red staining, qRT-PCR, and western blot assay. (3) Key pathways were identified by transcriptome sequencing and validated with a transforming growth factor β1 receptor inhibitor. (4) An ovariectomized rat model of osteoporosis was established. After 12 weeks of intraperitoneal injection of exosome-like nanovesicles derived from acanthopanax, bone microstructure was analyzed by micro-CT and osteogenic protein expression was assessed by histological staining. 
    RESULTS AND CONCLUSION: (1) Acanthopanax exosome-like nanovesicles exhibited a cup-shaped or discoid morphology. (2) In vitro, acanthopanax exosome-like nanovesicles dose-dependently promoted osteogenic differentiation of bone marrow mesenchymal stem cells, as evidenced by increased alkaline phosphatase activity, enhanced mineralization nodule formation, and upregulated osteogenic gene expression. (3) Transcriptome analysis revealed that exosome-like nanovesicles activated the transforming growth factor-β1/Smad2/3 pathway, upregulating transforming growth factor-β1 and phosphorylated Smad2/3 protein expression. Moreover, the transforming growth factor-β1 receptor inhibitor partially inhibited the osteogenic effects. (4) Animal experimental results demonstrated that treatment with 5 mg/kg exosome-like nanovesicles from acanthopanax significantly increased bone mineral density, bone volume fraction, and trabecular thickness in ovariectomized rats (P < 0.05), significantly enhanced collagen fibrillogenesis, and upregulated the expression of Runt-related transcription factor 2, osteocalcin, and transforming growth factor-β1 proteins in bone tissue. No significant toxicity was observed in major organ histological observations. Results showed that exosome-like nanovesicles derived from acanthopanax promote osteogenic differentiation of human bone marrow mesenchymal stem cells by activating the transforming growth factor β1/Smad2/3 pathway and effectively improve osteoporosis.
    Figures and Tables | References | Related Articles | Metrics
    Senescent bone marrow mesenchymal stem cells promote multiple myeloma cell proliferation through galectins-3
    Fan Tingting, Xiang Miaomiao, Yuan Xiaoshuang, Yang Xu, Yang Bo, Tian Ting, Chen Xiaoxu, Tang Dongxin, Wang Feiqing, Liu Yang, Li Yanju
    2026, 30 (19):  4836-4842.  doi: 10.12307/2026.395
    Abstract ( 74 )   PDF (8359KB) ( 29 )   Save
    BACKGROUND: Studies showed that multiple myeloma microenvironment has the function of inducing mesenchymal stem cells to become senescent phenotype, while the effect of senescent bone marrow mesenchymal stem cells on multiple myeloma cells is rarely reported.
    OBJECTIVE: To investigate the effect of senescent bone marrow mesenchymal stem cells on the proliferation of multiple myeloma cells through paracrine galectin-3.
    METHODS: Bone marrow blood was collected from healthy donors, and bone marrow mesenchymal stem cells were extracted by Ficoll density gradient centrifugation and adherent purification. The third-generation bone marrow mesenchymal stem cells were taken and induced with 200 µmol/L hydrogen peroxide solution for 2 hours. After the treatment was completed, they were replaced with L-DMEM complete medium for 24 hours of culture to construct the senescent bone marrow mesenchymal stem cell model. β-Galactosylase staining and senescence gene P21 were used for identification. Meanwhile, the expression of galectin-3 in aging bone marrow mesenchymal stem cells was detected by RT-qPCR. The supernatant of senescent bone marrow mesenchymal stem cells was collected and the conditioned medium of senescent bone marrow mesenchymal stem cells was prepared by centrifugal concentration. After culturing the multiple myeloma cell line U266 for 24 hours with it, the proliferation of U266 cells was detected by CCK-8 assay. The apoptosis of U266 cells was detected by flow cytometry. The expression levels of BCL-2 protein and mRNA in U266 cells were detected by RT-qPCR and western blot assay. Bone marrow blood was collected from patients with multiple myeloma and healthy individuals. The level of galectin-3 was detected by ELISA. 
    RESULTS AND CONCLUSION: (1) After hydrogen peroxide induction, the number of cells positive for β-galactosidase staining increased significantly, and P21 and galectin-3 mRNA expression levels were upregulated (P < 0.01). (2) Compared with the control group, 24 hours of culture of U266 cells with conditioned medium from senescent bone marrow mesenchymal stem cells increased the level of cell proliferation (P < 0.05), decreased the apoptosis rate (P < 0.05), and rose the expression levels of BCL-2 protein and mRNA (P < 0.05). (3) Galectin-3 levels in the bone marrow of patients with multiple myeloma were significantly higher than those in healthy controls (P < 0.05). These results suggest that senescent bone marrow mesenchymal stem cells may promote the proliferation of multiple myeloma cells by paracrine galectin-3, which in turn upregulates BCL-2 expression.  
    Figures and Tables | References | Related Articles | Metrics
    Quercetin promotes osteogenic differentiation of senescent jaw bone marrow mesenchymal stem cells
    Wang Hengxin, Li Hongkun, Xu Nuo, Li Anping, Wang Xinjing, Zhang Tong
    2026, 30 (19):  4843-4852.  doi: 10.12307/2026.763
    Abstract ( 95 )   PDF (6677KB) ( 371 )   Save
    BACKGROUND: Age-related degeneration is closely associated with bone metabolic imbalance. In the jaw, this manifests as alveolar bone resorption, tooth loosening, and even loss. Impaired osteogenic differentiation potential of senescent jaw bone marrow mesenchymal stem cells is a critical factor hindering jaw bone regeneration. Quercetin, a natural flavonoid compound, exhibits antioxidant, anti-inflammatory, and cell differentiation-regulating properties, yet effect and mechanism of quercetin in osteogenic differentiation of senescent jaw bone marrow mesenchymal stem cells remain unclear. 
    OBJECTIVE: To investigate the effects of quercetin on the proliferation, migration, osteogenic differentiation, and senescence of aged jaw bone marrow mesenchymal stem cells. 
    METHODS: Jaw bone marrow mesenchymal stem cells were isolated from the mandibles of 10 8-week-old SD rats and cultured using a combination of bone marrow flushing and bone slice digestion. Jaw bone marrow mesenchymal stem cells were subcultured to the third and seventh passages, serving as the young and senescent cell groups, respectively. Quercetin was then added to the senescent cell group. The CCK-8 assay was used to assess the effects of 0.01, 0.1, 1, 10, and 100 μmol/L quercetin solutions on the proliferation of senescent jaw bone marrow mesenchymal stem cells to identify the optimal quercetin concentration. Cell migration ability was assessed by cell scratch test. RT-qPCR and western blot assay were used to examine the expression of senescence markers. β-Galactosidase staining was used to assess the proportion of cells expressing these markers. Seven days after osteogenic induction, the expression of osteogenic-related markers was assessed by RT-qPCR and western blot assay. Alkaline phosphatase staining was performed on day 14 of osteogenic induction. Alizarin red staining was performed on day 21 of osteogenic induction. Western blot assay was used to assess the expression of phosphorylated protein kinase B, protein kinase B, phosphorylated mammalian target of rapamycin, and mammalian target of rapamycin.
    RESULTS AND CONCLUSION: (1) Compared with the young cell group, the proliferation ability of the senescent cell group was decreased. Compared with the senescent cell group, 1 μmol/L quercetin significantly promoted the proliferation of senescent jaw bone marrow mesenchymal stem cells (P < 0.01). (2) Compared with the senescent cell group, the migration ability of senescent jaw bone marrow mesenchymal stem cells was improved; the proportion of β-galactosidase-positive cells was significantly decreased, and the expression of senescence-related P16, P53, and P21 mRNA and protein was decreased in the quercetin group (P < 0.05). (3) After osteogenic induction, compared with the senescent cell group, the calcium nodule formation ability, alkaline phosphatase staining area, and the mRNA and protein expressions of alkaline phosphatase, osteopontin, and Runt-related transcription factor 2 were increased in the quercetin group (P < 0.05). (4) Compared with the senescent cell group, the phosphorylation levels of protein kinase B and mammalian target of rapamycin were significantly decreased in the quercetin group (P < 0.05). These results suggest that quercetin inhibits multiple-passage senescence of jaw bone marrow mesenchymal stem cells and promotes osteogenic differentiation by regulating the protein kinase B/mammalian target of rapamycin signaling pathway.
    Figures and Tables | References | Related Articles | Metrics
    Human adipose multilineage-differentiating stress-enduring cells on treatment of ischemic stroke in rats
    Gao Hongmei, Zhang Kun, Xiao Dongjie, Liu Hua
    2026, 30 (19):  4853-4859.  doi: 10.12307/2026.674
    Abstract ( 54 )   PDF (4025KB) ( 133 )   Save
    BACKGROUND: Mesenchymal stem cells have shown good therapeutic effects in ischemic stroke, while the role of multilineage-differentiating stress-enduring (Muse) cells isolated from adipose-derived mesenchymal stem cells in ischemic stroke needs further study. 
    OBJECTIVE: To explore the neurorestorative effect of intravenous administration of adipose Muse cells on ischemic stroke in rats.
    METHODS: The Muse cells expressing stage-specific embryonic antigen 3 were sorted by magnetic beads after long-term (4 hours) trypsin incubation of human adipose-derived mesenchymal stem cells. The middle cerebral artery occlusion model was established in rats. After successful modeling, the adipose-derived mesenchymal stem cell group and adipose-derived Muse group were injected with 200 μL adipose-derived mesenchymal stem cell suspension or adipose-derived Muse cell suspension (containing 2×105 cells) via the tail vein. The saline group was injected with 200 μL saline. Behavioral scores of rats were evaluated at 3 and 7 days after injection. At 3 days after injection, hematoxylin-eosin staining was used to detect brain tissue damage. Immunofluorescence was used to detect the expression of microtubule-associated protein 2 and Ki67 in the brain tissue injury area. TUNEL staining was used to observe cell apoptosis in the injury area. Western blot assay was used to detect the protein expression of growth-associated protein 43, Bcl2, and Bax. 
    RESULTS AND CONCLUSION: (1) After magnetic bead sorting, the flow cytometry showed that the expression rate of stage-specific embryonic antigen 3 was as high as 80%. (2) At 7 days after injection, the neurological function injury scores of the adipose mesenchymal stem cell group and the adipose Muse cell group were reduced compared with those of the saline group (P < 0.05). At 3 days after cell transplantation, the neurological function injury scores of the adipose Muse cell group were reduced compared with those of the adipose mesenchymal stem cell group (P < 0.05). (3) Hematoxylin-eosin staining showed that the inflammatory response and vacuolation in the cerebral cortex of rats in the adipose mesenchymal stem cell group and the adipose Muse cell group were alleviated. Microtubule-associated protein 2 fluorescence staining showed that the adipose Muse cell group inhibited neuronal loss more significantly. (4) TUNEL staining and Ki67 fluorescence staining results showed that apoptosis of cells in the injured area of the adipose mesenchymal stem cell group and the adipose Muse cell group was reduced, and cell proliferation was increased. (5) Western blot assay results showed that the Bcl-2/Bax ratio and growth-associated protein 43 protein expression in the adipose mesenchymal stem cell group and the adipose Muse cell group were increased, and the adipose Muse cell group was superior to the adipose mesenchymal stem cell group in inhibiting cell apoptosis. The results showed that the nerves of rats transplanted with adipose mesenchymal stem cells and adipose Muse cells were well repaired, and Muse cells played a better role in inhibiting cell apoptosis.
    Figures and Tables | References | Related Articles | Metrics
    Culture and identification of adipose-derived stem cells from periprostatic adipose tissue
    Zhou Shukui, Liu Jinpeng, Gao Wenlong, Yang Shengke, Liao Hong, Wu Yi, Li Zeng
    2026, 30 (19):  4860-4866.  doi: 10.12307/2026.782
    Abstract ( 59 )   PDF (12898KB) ( 22 )   Save
    BACKGROUND: Periprostatic adipose tissue is the white visceral adipose tissue that closest to the prostate, which is part of the prostate cancer microenvironment and plays a key role in the occurrence and progression of prostate cancer.
    OBJECTIVE: To investigate the ability of adipose-derived stem cells derived from periprostatic adipose tissue to form three-dimensional cell sheets.
    METHODS: Periprostatic adipose tissue was harvested from patients undergoing radical prostatectomy. Adipose-derived stem cell suspensions were prepared using a combination of enzymatic digestion and mechanical dissection. Adipose-derived stem cell proliferation was assessed using a CCK-8 assay. Expression of stem cell-associated antigens CD34/CD44/CD45/CD90/CD105 was determined by flow cytometry. Multidirectional differentiation potential of the stem cells was assessed using osteogenic/adipogenic/chondrogenic differentiation assays. Adipose-derived stem cells were cultured for three weeks in low-glucose DMEM supplemented with 100 μg/mL vitamin C and 10% fetal bovine serum to form cell sheets. Histological analysis and scanning electron microscopy were performed. 
    RESULTS AND CONCLUSION: (1) The cell morphology of periprostatic adipose-derived stem cells was long spindles or long spindles, grew in the same direction and relatively consistent. After 9-10 days of primary culture, 95% of the cells were fused, and the cell activity was good. No obvious signs of cell senescence were seen even when the cells were passed through passage 15. (2) The expression rates of CD44, CD90, and CD105 were 98.24%, 84.99% and 89.14%, respectively. The expression rates of CD34 and CD45 were 0.64% and 1.02%. After 3 weeks of osteogenic/lipogenic/chondrogenic induction, periprostatic adipose tissue-adipose-derived stem cells could be induced into osteoblast, adipoblast, and chondroblast in multiple directions. (3) Continuous culture of periprostatic adipose tissue-adipose-derived stem cells for 3 weeks could form three-dimensional cell sheet tissue. The surface of the sheet was smooth with uniform texture, and it was rich in extracellular matrix, such as fibronectin and type 1 collagen. The results of scanning electron microscopy observation showed that the surface of the cell sheet was smooth and the long spindle-shaped cells were arranged in a consistent direction, with a large amount of extracellular matrix deposited between cells. In this study, adipose-derived stem cells were successfully isolated from prostate cancer patient derived periprostatic adipose tissue. Vitamin C was used to stimulate extracellular matrix secretion, and three-dimensional cell membranes were successfully constructed after three weeks of continuous culture.
    Figures and Tables | References | Related Articles | Metrics
    Inhibitory effect of complement 1q/tumor necrosis factor-related protein 4 on 3T3-L1 preadipocyte differentiation
    Maireyanmu·Rozi, Wang Hongping, Zhang Cuiping, Xia Juan, Shen Tian, ​​Lei Tao, Lu Jun, Gao Jie
    2026, 30 (19):  4867-4872.  doi: 10.12307/2026.250
    Abstract ( 51 )   PDF (1555KB) ( 13 )   Save
    BACKGROUND: Adipocyte differentiation is a complex biological process involving the transformation of preadipocytes into mature adipocytes. This process plays a key role in the development and progression of obesity and related metabolic diseases. In recent years, the complement C1q/tumor necrosis factor-related protein family, as a new member of the adipokine family, has become a research hotspot in the field of metabolic regulation.
    OBJECTIVE: To investigate the effect of complement 1q/tumor necrosis factor-related protein 4 on the differentiation of 3T3-L1 preadipocytes and its underlying mechanism. 
    METHODS: The CCK-8 assay was used to determine the effects of different concentrations of complement 1q/tumor necrosis factor-related protein 4 on the viability of 3T3-L1 preadipocytes, and a safe concentration was selected for intervention. 3T3-L1 preadipocytes were divided into a control group, an inducer group, and a complement 1q/tumor necrosis factor-related protein 4 group. 3T3-L1 preadipocytes were first contact-inhibited for 2 days, followed by adipogenic inducer and complement 1q/tumor necrosis factor-related protein 4 treatment. On day 10 of differentiation, lipid droplet formation was observed using Oil Red O staining. The mRNA and protein expression levels of CCAAT/enhancer binding protein α, peroxisome proliferator-activated receptor γ, and fatty acid binding protein 4 were determined by RT-qPCR and western blot assay. Intracellular triglyceride and total cholesterol levels were measured using triglyceride and total cholesterol detection kits.
    RESULTS AND CONCLUSION: The safe maximum concentration of complement 1q/tumor necrosis factor-related protein 4 without toxicity to 3T3-L1 preadipocytes was 1 000 ng/mL. Compared with the control group, the inducer group showed increased intracellular lipid droplet formation, elevated triglyceride and total cholesterol levels (P < 0.05), and significantly upregulated mRNA and protein expression levels of CCAAT/enhancer binding protein α, peroxisome proliferator-activated receptor γ, and fatty acid binding protein 4 (P < 0.05). Compared with the inducer group, the complement 1q/tumor necrosis factor-related protein 4 group showed reduced intracellular lipid droplet formation, lower triglyceride and total cholesterol levels (P < 0.05). The mRNA and protein expression levels of CCAAT/enhancer binding protein α, peroxisome proliferator-activated receptor γ, and fatty acid binding protein 4 were significantly downregulated (P < 0.05). These results suggest that complement 1q/tumor necrosis factor-related protein 4 inhibits the differentiation of preadipocytes into mature adipocytes, and its mechanism of action may be related to downregulating the expression of CCAAT/enhancer binding protein α, peroxisome proliferator-activated receptor γ, and fatty acid binding protein 4.
    Figures and Tables | References | Related Articles | Metrics
    Overexpression of programmed death ligand 1 enhances immunosuppressive capacity of human umbilical cord mesenchymal stromal cells against T cells
    Liang Zihan, Wang Rui, Sun Lei, Jin Ranran, Lyu Pengju, Li Yalong, Cheng Chaofei, Yue Han, Shen Sining
    2026, 30 (19):  4873-4881.  doi: 10.12307/2026.781
    Abstract ( 62 )   PDF (2601KB) ( 117 )   Save
    BACKGROUND: The T cell immunosuppressive activity of mesenchymal stromal cells offers new hope for the treatment of autoimmune diseases. Amimatoside injection, a drug of human umbilical cord mesenchymal stromal cells, has been approved for the treatment of acute graft-versus-host disease (GVHD) primarily affecting the digestive tract, after steroid therapy failure, in patients aged 14 years and older. Therefore, further exploration of the T cell immunosuppressive potential of mesenchymal stromal cells could lay the foundation for the treatment of autoimmune diseases. 
    OBJECTIVE: To investigate the impact of programmed cell death ligand 1 gene overexpression on the inhibition of CD4+ T cell proliferation by human umbilical cord mesenchymal stromal cells. 
    METHODS: (1) Human umbilical cord mesenchymal stromal cells were cultured in vitro to passages 0, 1, 2, and 3, and the percentage of programmed death ligand 1-positive cells was detected by flow cytometry. (2) Human umbilical cord mesenchymal stromal cells were divided into an experimental group and a negative control group. The experimental group was modified with lentivirus-mediated programmed death ligand 1 gene, while the negative control group was transfected with blank plasmid vector lentivirus. The transfection efficiency was detected by flow cytometry, real-time fluorescence quantitative PCR, and western blot assay. (3) CD4+ T cells were enriched with magnetic beads from the peripheral blood of healthy subjects. T cells were labeled with carboxyfluorescein diacetate succinimidyl ester and co-cultured with human umbilical cord mesenchymal stromal cells from the experimental and negative control groups at a ratio of 5:1. The proportion of CD4+ T cells attenuated by carboxyfluorescein diacetate succinimidyl ester was measured by flow cytometry. (4) RNA sequencing was performed on human umbilical cord mesenchymal stromal cells from the experimental and negative control groups. Single-cell RNA sequencing was also performed on human umbilical cord mesenchymal stromal cells from the experimental group. Subpopulations were then grouped according to function. Bioinformatics analysis methods were used to depict heat maps of marker genes, enriched signaling pathways, and gene regulatory networks for each subpopulation.
    RESULTS AND CONCLUSION: (1) With the increase in passage number, the percentage of programmed death ligand 1-positive cells in human umbilical cord mesenchymal stromal cells gradually decreased. (2) Human umbilical cord mesenchymal stromal cells stably overexpressing programmed death ligand 1 were successfully constructed, and the expression of programmed death ligand 1 in the experimental group was significantly increased. (3) Transcriptome sequencing data suggested that human umbilical cord mesenchymal stromal cells overexpressing programmed death ligand 1 could promote the upregulation of genes related to immune effector regulatory pathways. (4) Co-culture of CD4+ T cells with human umbilical cord mesenchymal stromal cells showed a significant downregulation of the proportion of CD4+ T cells in the experimental group. (5) Based on single-cell RNA sequencing results, human umbilical cord mesenchymal stromal cells overexpressing programmed death ligand 1 could be divided into three functional subpopulations, which were heterogeneous. The expression level of programmed death ligand 1 gene was higher in subpopulation 1, and the significantly high expression of histone methyltransferase SETDB1 may be closely related to the enhanced immunosuppressive function of T cells. These results demonstrate that overexpression of the programmed death ligand 1 gene significantly enhances the T cell immunosuppressive capacity of human umbilical cord mesenchymal stromal cells. Single-cell RNA sequencing allows for the effective stratification of human umbilical cord mesenchymal stromal cells based on their functional properties, providing theoretical support for improving the clinical efficacy of human umbilical cord mesenchymal stromal cell therapy.
    Figures and Tables | References | Related Articles | Metrics
    Human umbilical cord mesenchymal stem cell transplantation protects against reproductive damage induced by high-altitude hypoxia exposure in male mice
    Cui Shuo, Li Xiujuan, Wang Wenting, Yang Lihong, He Sheng, Lei Lijian, Xie Jun
    2026, 30 (19):  4882-4889.  doi: 10.12307/2026.676
    Abstract ( 62 )   PDF (34942KB) ( 19 )   Save
    BACKGROUND: High-altitude hypoxia has been reported to damage the male reproductive system, but whether stem cells can protect against male reproductive damage caused by high-altitude hypoxia has not been reported.
    OBJECTIVE: To investigate the preventive effect of human umbilical cord mesenchymal stem cell transplantation on reproductive damage in hypoxia-exposed male mice.
    METHODS: Human umbilical cord mesenchymal stem cells were isolated and cultured to identify the three-lineage differentiation and specific phenotype markers. Totally 21 C57BL/6 male mice were randomly divided into control, hypoxia, and stem cell groups (n=7). A mouse model of chronic-intermittent hypoxia was established to simulate hypoxia exposure at an altitude of 5 000 m (11.1% oxygen volume fraction) in the hypoxia and stem cell groups. On the last day of each week of hypoxia exposure, mice in the stem cell group were injected with 1×106 human umbilical cord mesenchymal stem cells through the tail vein once a week for a total of 6 injections, while the other groups were injected with PBS. Mouse body weight, food and water intake were monitored during the experiment. After the end of hypoxia exposure, the testes were analyzed for morphology, ultrastructure, reactive oxygen species level and mitochondrial membrane potential. The epididymal tissues were analyzed for hematoxylin-eosin staining and sperm motility. The homing ability of the stem cells was observed by DIL tracer method.
    RESULTS AND CONCLUSION: (1) Human umbilical cord mesenchymal stem cell transplantation significantly improved water and food intake in hypoxic mice, but had no significant effect on body weight. (2) Morphological analysis revealed that hypoxia induced edema in the testes and epididymides of mice, accompanied by the shedding of spermatogenic cells. In contrast, human umbilical cord mesenchymal stem cell transplantation alleviated the structural damage caused by hypoxia exposure and the swelling and atrophy of germ cell mitochondria. Additionally, human umbilical cord mesenchymal stem cell transplantation significantly reduced the reactive oxygen species levels induced by hypoxia exposure, restored the mitochondrial membrane potential, and enhanced sperm motility in hypoxic mice. (3) Tracer experiments indicated that human umbilical cord mesenchymal stem cells, after being injected into mice through the tail vein, mainly accumulated in the lung tissue and had a lower homing capacity in the testis. In conclusion, human umbilical cord mesenchymal stem cell transplantation effectively protected the mitochondrial structure and function of germ cells, alleviated testicular and epididymal edema caused by hypoxia, and thus restored spermatogenesis and sperm motility in mice.
    Figures and Tables | References | Related Articles | Metrics
    Transplantation of human umbilical cord mesenchymal stem cells to repair myelination disorders in neonatal rats with white matter injury
    Zhang Shujuan, Xu Qianqian, Wang Chao, Li Yunhui, Zhu Yanping
    2026, 30 (19):  4890-4896.  doi: 10.12307/2026.248
    Abstract ( 70 )   PDF (2437KB) ( 146 )   Save
    BACKGROUND: Myelination deficits are a core feature of white matter injury in preterm infants. In recent years, human umbilical cord mesenchymal stem cells have been applied in various animal models of brain injury, demonstrating the capacity to promote myelin repair. Elucidating the regulatory mechanisms by which human umbilical cord mesenchymal stem cells enhance neural myelination will contribute to optimizing therapeutic strategies and facilitating clinical translation.
    OBJECTIVE: To clarify the reparative effect of human umbilical cord mesenchymal stem cells on myelination disorders caused by maturation arrest of the oligodendrocyte lineage in neonatal rats with white matter injury.
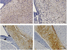
    METHODS: Seventy-two two-day-old Sprague-Dawley rats were randomly divided into a sham-operated group, a white matter injury group, and a human umbilical cord mesenchymal stem cell transplantation group, with twenty-four rats in each group. A neonatal rat white matter injury model was established by a combination of low-dose lipopolysaccharide and hypoxia-ischemia. Fourteen days after modeling, hematoxylin-eosin staining was used to observe pathological changes in white matter. Immunohistochemistry, western blotting, and real-time quantitative polymerase chain reaction were used to detect the positive expression, protein expression, and mRNA expression levels of oligodendrocyte transcription factor 2, glial antigen 2, and myelin basic protein. Twenty-eight days after modeling, Luxol fast blue staining was performed to observe myelin formation, and the Morris water maze test was used to evaluate spatial learning and memory ability.
    RESULTS AND CONCLUSION: (1) Fourteen days after modeling, hematoxylin-eosin staining showed that a large number of cells in the white matter injury group were degenerated and necrotic, and the arrangement of nerve fibers was disordered; while the cell morphology in the human umbilical cord mesenchymal stem cell transplantation group was close to normal, and the nerve fibers were arranged more neatly. (2) On day 14 after modeling, there was no statistically significant difference in the positive expression, protein, and mRNA levels of oligodendrocyte transcription factor 2 among the groups (P > 0.05). Compared with the sham-operated group, the positive expression, protein, and mRNA levels of glial antigen 2 in the white matter injury group were upregulated (P < 0.05), while the positive expression, protein, and mRNA levels of myelin basic protein were downregulated (P < 0.05). Compared with the white matter injury group, the positive expression, protein, and mRNA levels of glial antigen 2 in the human umbilical cord mesenchymal stem cell transplantation group were downregulated (P < 0.05), while the positive expression, protein, and mRNA levels of myelin basic protein were upregulated (P < 0.05). (3) On day 28 after modeling, Luxol fast blue staining results showed that compared with the sham-operated group, the white matter injury group had decreased myelin expression (P < 0.05). Compared with the white matter injury group, the human umbilical cord mesenchymal stem cell transplantation group had increased myelin expression (P < 0.05). (4) On day 28 after modeling, Morris water maze results showed that compared with the sham-operated group, the white matter injury group had prolonged escape latency and decreased platform crossing times (P < 0.05). Compared with the white matter injury group, the human umbilical cord mesenchymal stem cell transplantation group had shortened escape latency and increased platform crossing times (P < 0.05). There was no statistical difference in average swimming distance between the groups (P > 0.05). These results suggest that human umbilical cord mesenchymal stem cells can promote the maturation of oligodendrocytes in neonatal rats with white matter injury, repair myelination disorders, and improve cognitive function.
    Figures and Tables | References | Related Articles | Metrics
    Exosomes derived from human umbilical cord mesenchymal stem cells in treatment of diabetic foot ulcers
    Li Tianbo, Yu Zeyang, Qin Xinyuan, Wang Jiangning, Gao Lei
    2026, 30 (19):  4897-4901.  doi: 10.12307/2026.797
    Abstract ( 142 )   PDF (1474KB) ( 42 )   Save
    BACKGROUND: Exosomes derived from mesenchymal stem cells play an important role in regulating apoptosis, promoting cell regeneration, and improving the wound microenvironment, making them a hot research topic in the treatment of diabetic foot ulcers.
    OBJECTIVE: To explore the clinical application value of exosomes derived from human umbilical cord mesenchymal stem cells in the repair of diabetic foot ulcers.
    METHODS: A retrospective analysis was conducted on the data from 72 patients with diabetic foot ulcers treated between May 2022 and April 2025. Thirty-six patients received treatment with exosomes derived from human umbilical cord mesenchymal stem cells (observation group), and 36 patients were managed with vacuum-assisted closure therapy (control group). Ulcer healing rate, incidence of adverse events, serum inflammatory markers, growth factor levels, total wound healing time, and ulcer recurrence rate during follow-up were compared between the two groups after 2 weeks of treatment.
    RESULTS AND CONCLUSION: (1) After 2 weeks of treatment, the ulcer healing rate in the observation group (48.03±6.12)% was significantly higher than that in the control group (30.13±6.38)%, with a statistically significant difference (P < 0.05). (2) All patients in both groups achieved ulcer healing. The healing time was significantly shorter in the observation group than in the control group (30.42±2.30 versus 43.94±3.46 days), with a statistically significant difference (P < 0.05). (3) The incidence of adverse events during treatment was 13.89% in the control group and 19.44% in the observation group, with no significant difference (P > 0.05). (4) Serum interleukin-6, C-reactive protein, and procalcitonin levels decreased significantly in both groups, with greater reductions in the observation group, with a statistically significant difference (P < 0.01). Serum vascular endothelial growth factor, basic fibroblast growth factor, and platelet-derived growth factor levels increased significantly in both groups, with greater increases in the observation group, with a statistically significant difference (P < 0.01). (5) Following ulcer healing, the mean follow-up durations were 9.4 months in the observation group and 9.8 months in the control group; ulcer recurrence occurred in 5 and 10 patients, respectively, with a significantly lower recurrence rate in the observation group than in the control group (13.9% versus 27.8%), with a statistically significant difference (P < 0.05). These findings indicate that compared with the use of closed negative pressure drainage, the application of exosomes derived from mesenchymal stem cells for treating diabetic foot ulcers effectively suppresses inflammation, promotes ulcers healing, reduces recurrence rates, and does not increase the risk of related adverse events. This approach exhibits both clinical efficacy and safety.
    Figures and Tables | References | Related Articles | Metrics
    Effect of lactylated mixed lineage kinase domain-like protein on stemness expression of breast tumor stem cells
    Wu Fang, Tao Xiang, He Wenying, Xie Jixin, Liao Hailei, Wang Libin, Wang Lijuan
    2026, 30 (19):  4902-4910.  doi: 10.12307/2026.247
    Abstract ( 64 )   PDF (2647KB) ( 318 )   Save
    BACKGROUND: Mixed lineage kinase domain-like protein is one of the key executor proteins in the necroptosis pathway and plays an important role in various diseases. However, the mechanism by which its lactylation affects the formation and differentiation of breast tumor stem cells remains unclear.
    OBJECTIVE: To investigate the effect of mixed lineage kinase domain-like protein K230 site lactylation on the stemness expression of breast tumor stem cells.
    METHODS: The differences in protein lactylation between breast tumor MCF-7 adherent cells and spheroidal stem cells were analyzed by mass spectrometry. The mixed lineage kinase domain-like protein and its lactylation sites related to tumor stem cells were screened. A mixed lineage kinase domain-like protein K230R mutant plasmid vector was constructed and transfected into MCF-7 breast tumor cells. The proliferation and migration abilities of the cells were detected by CCK-8 and scratch assays. The effect of mixed lineage kinase domain-like protein K230R mutation on the formation of breast tumor stem cells was verified by cell suspension spheroid formation experiments. The expression of tumor stem cell-related and epithelial-mesenchymal transition-related proteins was detected by western blot assay.
    RESULTS AND CONCLUSION: Mixed lineage kinase domain-like protein K230 is highly lactylated in breast cancer stem cells. Compared with wild-type cells, K230R mutant cells showed significantly reduced wound healing and stem cell sphere formation rates, significantly increased expression of epithelial-associated proteins, and significantly decreased expression of interstitial-associated proteins and stemness-associated proteins. It is indicated that lactic acidification at the K230 site of mixed lineage kinase domain-like protein promotes epithelial-mesenchymal transition, enhances the formation of breast tumor stem cells, and thereby contributes to the occurrence and development of breast tumors.
    Figures and Tables | References | Related Articles | Metrics
    Retrospective analysis of central nervous system diseases related to non-primary infiltration after allogeneic hematopoietic stem cell transplantation
    Chen Shiyu, Zhang Xiaohan, Li Xiaoqing, Du Xin
    2026, 30 (19):  4911-4917.  doi: 10.12307/2026.673
    Abstract ( 87 )   PDF (1342KB) ( 388 )   Save
    BACKGROUND: Allogeneic hematopoietic stem cells may be transplanted with complications of the central nervous system that are not related to primary disease infiltration. There is no clear conclusion on the clinical symptoms, possible causes, and prognosis.
    OBJECTIVE: To explore the clinical characteristics, risk factors, and prognosis of complications related to non-primary infiltration of central nervous system after allogeneic hematopoietic stem cell transplantation, in order to provide evidence-based basis for early clinical diagnosis, etiological intervention, and prognosis improvement.
    METHODS: The clinical data, laboratory characteristics, and treatment process of 298 hematopathy patients with non-primary infiltration-related central nervous system complications after allogeneic hematopoietic stem cell transplantation from January 2015 to June 2024 were retrospectively analyzed. They were divided into the non-primary infiltration-related central nervous system complication group (n=19) and the control group (no non-primary infiltration-related central nervous system complications, n=279). The risk factor analysis was carried out through statistical methods. The clinical symptoms, possible causes of the disease, and prognosis of the patients were evaluated. 
    RESULTS AND CONCLUSION: (1) Among the 298 patients undergoing allogeneic hematopoietic stem cell transplantation, 19 cases experienced central nervous system complications related to non-primary infiltration, with an incidence rate of 6.4%. (2) The median time of onset was 16 days after transplantation (2-45 days). Patients mainly use convulsions as the first symptom, accompanied by increased blood pressure, headache, vision loss, consciousness disorders, and mental behavior abnormalities. (3) Univariate analysis showed that the time of granule implantation, platelet implantation time, history of central nervous system leukemia before transplantation, and the occurrence of graft-versus-host disease in degree III-IV were significantly associated with the incidence of central nervous system complications related to non-primary infiltration. The results of specific etiology analysis show that 2 cases of calcitric acid inhibitor-related encephalopathy, 4 cases of central nervous system damage, 4 cases of central nervous system infection, 4 cases of transplant-related thrombotic microvascular disease, 1 case of graft-versus-host disease in the central nervous system, 2 cases of intracranial hemorrhage, 1 case of endocrine and metabolism-related encephalopathy, and 1 case of unknown cause. (4) As of the follow-up date, the cumulative mortality rate of 19 patients with non-primary infiltration-related central nervous system complications after allogeneic hematopoietic stem cell transplant was 47% (9/19), which was significantly higher than the cumulative mortality rate of 28.6% (80/279) in the control group. Further analysis showed that the expected overall survival rates of patients with the non-primary infiltration-related central nervous system complication group were significantly lower than those of the control group. In short, the central nervous system complications related to non-primary infiltration after allogeneic hematopoietic stem cell transplantation are a rare, difficult to diagnose and highly lethal acute central nervous system disease, which is caused by a variety of transplant-related factors. Timely identification of pathogenic factors and accurate diagnosis and treatment is crucial to improve the prognosis of patients with transplant-related non-primary infiltration of central nervous system complications.
    Figures and Tables | References | Related Articles | Metrics
    Overexpression of collagen triple helix repeat-containing protein 1 promotes proliferation and osteogenic differentiation of human periodontal ligament stem cells
    Zhou Rui, Zhang Xuesong, Yang Donghong, Jin Yinan, Yang Yuqi, Ye Zhihui
    2026, 30 (19):  4918-4925.  doi: 10.12307/2026.693
    Abstract ( 60 )   PDF (19974KB) ( 38 )   Save
    BACKGROUND: Collagen triple helix repeat-containing protein 1 is a positive regulator of bone formation. However, its role and underlying mechanisms in periodontal ligament stem cells remain unclear.
    OBJECTIVE: To investigate the effects of collagen triple helix repeat-containing protein 1 on the proliferation and osteogenic differentiation of periodontal ligament stem cells and its mechanism of action.
    METHODS: Human periodontal ligament stem cells were isolated and cultured in vitro, and the cells were transfected with a overexpressed collagen triple helix repeat-containing protein 1 lentiviral vector. The effect of overexpression of collagen triple helix repeat-containing protein 1 on the proliferation activity of periodontal ligament stem cells was determined by CCK-8 assay and flow cytometry. The effect of overexpression of collagen triple helix repeat-containing protein 1 on the osteogenic differentiation of periodontal ligament stem cells was determined by alkaline phosphatase activity and Alizarin red staining. Western blot assay was used to determine the expression of extracellular regulated protein kinase 1/2 and phosphorylated extracellular regulated protein kinase 1/2 after overexpression of collagen triple helix repeat-containing protein 1. Western blot assay and qRT-PCR were used to determine the effect of overexpression of collagen triple helix repeat-containing protein 1 on the expression of osteogenic differentiation-related factors Runt-related transcription factor 2, osteocalcin, and Osterix in periodontal ligament stem cells after blocking the extracellular regulated protein kinase 1/2 signaling pathway.
    RESULTS AND CONCLUSION: (1) CCK-8 assay and flow cytometry results showed that overexpression of collagen triple helix repeat-containing protein 1 promoted the proliferation of periodontal ligament stem cells. (2) Alkaline phosphatase activity and Alizarin red staining showed that overexpression of collagen triple helix repeat-containing protein 1 promoted the osteogenic differentiation of periodontal ligament stem cells. (3) Western blot assay results showed that overexpression of collagen triple helix repeat-containing protein 1 activated the extracellular regulated protein kinase 1/2 signaling pathway. (4) Western blot assay and qRT-PCR results showed that overexpression of collagen triple helix repeat-containing protein 1 promoted the expression of Runt-related transcription factor 2, osteocalcin, and Osterix protein and mRNA. When the extracellular regulated protein kinase signaling pathway-specific inhibitor PD98059 was used to inhibit signaling pathway activation, the upregulation of osteogenic-related factors was suppressed to a certain extent. These results suggest that overexpression of collagen triple helix repeat-containing protein 1 can promote the proliferation and osteogenic differentiation of periodontal ligament stem cells, and its osteogenic differentiation-promoting effect may be related to the activation of the extracellular regulated protein kinase 1/2 signaling pathway.
    Figures and Tables | References | Related Articles | Metrics
    Non-coding RNA-activated by DNA damage promotes proliferation and inhibits apoptosis of induced pluripotent stem cell-derived cardiomyocytes
    Huan Kanghui, Jiang Yujian, Bian Weihua
    2026, 30 (19):  4926-4933.  doi: 10.12307/2026.192
    Abstract ( 71 )   PDF (2079KB) ( 169 )   Save
    BACKGROUND: Although cell transplantation offers a promising approach for the treatment of myocardial infarction, the low transplantation rate limits its application. Therefore, promoting the proliferation of transplanted cells and reducing apoptosis are the key issues to be solved urgently to improve the therapeutic effect.
    OBJECTIVE: To investigate the effects of non-coding RNA-activated by DNA damage (NORAD) on the proliferation of human induced pluripotent stem cell-derived cardiomyocytes and their apoptosis induced by oxygen-glucose deprivation/reoxygenation, as well as the effects of transplanting NORAD-overexpressing human induced pluripotent stem cell-derived cardiomyocytes (hiPSC-NORADOECMs) on cardiac function in a murine model of myocardial infarction.
    METHODS: The expression of NORAD in the hearts of mice at different ages (3 days old and 8 weeks old) was measured by real-time fluorescence quantitative polymerase chain reaction (RT-qPCR). A cellular model of hiPSC-NORADOECMs was established by infecting human induced pluripotent stem cells with a lentiviral vector designed to specifically upregulate NORAD, followed by directed differentiation. These cells were divided into a control group (infected with a control lentivirus) and an experimental group (infected with a NORAD-overexpressing lentivirus). The efficiency of NORAD overexpression was detected by RT-qPCR. The expression level of proliferation marker protein Ki67 was detected by cellular immunofluorescence. Intracellular reactive oxygen species levels were measured by flow cytometry after cell apoptosis was induced by oxygen-glucose deprivation/reoxygenation induction. The expression levels of Bcl-2-associated X protein (Bax), B-cell lymphoma 2 (Bcl-2), and cleaved caspase-3 were analyzed by western blot assay. hiPSC-NORADOECMs were transplanted into the infarcted area of the myocardial infarction mouse model. The cardiac function was evaluated by echocardiography four weeks later.
    RESULTS AND CONCLUSION: (1) NORAD expression was significantly higher in the hearts of 3-day-old neonatal mice compared with 8-week-old adult mice. (2) The differentiation of human induced pluripotent stem cells into spontaneously contracting human induced pluripotent stem cell-derived cardiomyocytes was successfully achieved. (3) A stable human induced pluripotent stem cell-derived cardiomyocytes model overexpressing NORAD (hiPSC-NORADOECMs) was successfully established. (4) The expression of the proliferation marker Ki67 was significantly increased in the NORAD-overexpressing group compared with controls. (5) Compared with controls, NORAD overexpression reduced reactive oxygen species accumulation induced by oxygen-glucose deprivation/reoxygenation in human induced pluripotent stem cell-derived cardiomyocytes; Bax and cleaved caspase-3 levels were decreased, while Bcl-2 expression was upregulated. (6) Transplantation of hiPSC-NORADOECMs significantly enhanced cardiac function in a murine model of myocardial infarction. Collectively, these findings suggest that overexpression of the NORAD promotes the proliferation of human induced pluripotent stem cell-derived cardiomyocytes, reduces reactive oxygen species accumulation, and inhibits apoptosis following oxygen-glucose deprivation/reoxygenation induction, thereby enhancing the cardiac repair capacity of human induced pluripotent stem cell-derived cardiomyocytes in infarcted hearts. 
    Figures and Tables | References | Related Articles | Metrics
    Role and mechanism of emodin in slowing down the senescence of HT-22 cells induced by high glucose
    Rao Binchan, Xu Yongjie, Xu Mengling, Chen Di, Zhu Liying, Yang Siyuan, Li Xing, Wang Zhengrong, Pan Wei
    2026, 30 (19):  4934-4941.  doi: 10.12307/2026.249
    Abstract ( 69 )   PDF (4062KB) ( 223 )   Save
    BACKGROUND: The occurrence of diabetic encephalopathy may be closely related to neuronal aging, but its underlying molecular mechanism is not fully understood. Therefore, exploring the role of neuronal aging in diabetic encephalopathy is of great significance for further revealing the pathogenesis of diabetic encephalopathy. 
    OBJECTIVE: To explore role and mechanism of emodin in slowing down the senescence of HT-22 cells induced by high glucose.
    METHODS: HT-22 cells were divided into a control group (glucose concentration of 25 mmol/L), a high glucose group (glucose concentration of 55 mmol/L), and a high glucose + emodin group (glucose concentration of 55 mmol/L, emodin concentration of 100 µmol/L) and cultured for 48 hours. Cell growth in each group was observed microscopically. Cell viability was assessed by CCK-8 assay. Telomerase reverse transcriptase activity was measured by ELISA in each group. Expression of senescence-related proteins P53, P21, and P16 in each group was determined by RT-qPCR and western blot assay. Expression of lamin A/C in each group was determined by immunofluorescence, RT-qPCR, and western blot assay.
    RESULTS AND COUCLUSION: (1) Compared with the control group, the cells in the high-glucose group showed obvious growth inhibition under the microscope, which was manifested as a decrease in the number of cells, an increase in size, and a flattened morphology. Compared with the high-glucose group, the number of cells in the high-glucose emodin group increased significantly, and the morphology tended to be regular. (2) Compared with the control group, the cell viability of the high glucose group was significantly decreased (P < 0.000 1). Compared with the high glucose group, the cell viability in the high glucose + emodin group was significantly increased (P < 0.000 1). (3) Compared with the control group, the telomerase reverse transcriptase activity in the high glucose group was significantly decreased (P < 0.001). (4) Compared with the control group, the expression levels of P53, P21, and P16 in the high glucose group were significantly increased (P < 0.05). Compared with the high glucose group, the expression levels of P53, P21, and P16 in the high glucose + emodin group were significantly decreased (P < 0.05). (5) Compared with the control group, the expression level of lamin A/C in the high glucose group was significantly decreased (P < 0.000 1). Compared with the high glucose group, the expression levels of lamin A/C in the high glucose + emodin group were significantly increased (P < 0.05). These results suggest that emodin may mitigate high glucose-induced senescence in HT-22 cells by upregulating lamin A/C expression. 
    Figures and Tables | References | Related Articles | Metrics
    miR-9 regulates the differentiation of neural stem cells in mouse cerebral cortex
    Liu Yingzhao, Ma Yanxia, Lin Yaofa, Zhang Guoqiao, Miao Weiliang, Jia Yanli, Chi Chenshen, Song Wangsheng, Li Di, Liu Chenglong, Zhang Haonan
    2026, 30 (19):  4942-4948.  doi: 10.12307/2026.246
    Abstract ( 65 )   PDF (2230KB) ( 155 )   Save
    BACKGROUND: Neural stem cells located in the ventricular zone and subventricular zone are crucial for cortical neurodevelopment and the treatment of neurodegenerative diseases. However, their precise regulatory mechanisms remain incompletely understood. miRNA-9 is one of the most abundantly expressed miRNAs in the vertebrate embryonic and adult brain, playing diverse roles during development. Yet, the function of miRNA-9 in neural stem cell differentiation remains unclear.
    OBJECTIVE: To investigate the role of miRNA-9 in regulating the differentiation of neural stem cells in the ventricular zone and subventricular zone. 
    METHODS: Neural stem cells were isolated from the ventricular zone and subventricular zone of embryonic day 14.5 ICR mice and cultured in proliferation medium for 3-4 days to form neurospheres. The stemness of these cells was confirmed by Pax6/Nestin immunofluorescence staining. The expression profile of miRNA-9 was assessed using qRT-PCR in forebrain tissues at different developmental stages (embryonic days 12.5, 14.5, 16.5, 18.5, postnatal days 0, and 7) as well as in in vitro cultured neural stem cells at embryonic day 14.5. Neural stem cells were transfected with either a miRNA-9 inhibitor or mimic using a transfection reagent. After 24 hours of transfection, cells were induced to differentiate for 3-4 days (for neurons) or 6-8 days (for glial cells). The differentiation ratios of neuronal and glial lineages were quantified via immunofluorescence staining for Tuj1 (a neuronal marker), myelin basic protein (an oligodendrocyte marker), and glial fibrillary acidic protein (an astrocyte marker). 
    RESULTS AND CONCLUSION: qRT-PCR results revealed that miRNA-9 was highly expressed during early embryonic stages (embryonic days 12.5-14.5), with its expression gradually decreasing as development progressed (embryonic day 16.5 to postnatal day 7). The expression level of miRNA-9 in neural stem cells at embryonic day 14.5 was approximately 90% of the expression level of the internal reference RNU6B. Functional experiments demonstrated that compared with the control group, the proportion of Tuj1-positive neurons and myelin basic protein-positive oligodendrocytes decreased in the miRNA-9 inhibition group, while the proportion of glial fibrillary acidic protein-positive astrocytes increased. Conversely, the proportion of Tuj1-positive neurons and myelin basic protein-positive oligodendrocytes increased in the miRNA-9 overexpression group, while the proportion of glial fibrillary acidic protein-positive astrocytes decreased. All differences were significant (P < 0.001). Results indicate that miRNA-9 plays a bidirectional regulatory role in neural stem cell differentiation: (1) It participates in the temporal regulation of neurogenesis through a developmental-stage-specific expression pattern (high expression early, downregulation later); (2) It maintains a balance in tri-lineage differentiation by promoting neural stem cell differentiation into neurons and oligodendrocytes while inhibiting astrocyte formation. 
    Figures and Tables | References | Related Articles | Metrics
    Single-cell sequencing data identifies differentially expressed genes and immune cell subtypes in periodontitis patients
    Qiu Xuedi, Guo Chao, He Jiayue, Zhou Zheng
    2026, 30 (19):  4949-4964.  doi: 10.12307/2026.224
    Abstract ( 76 )   PDF (37568KB) ( 47 )   Save
    BACKGROUND: Periodontitis is a highly prevalent chronic inflammatory disease. Previous research has predominantly focused on specific immune cells or cytokines. Consequently, systematically elucidating its immune mechanisms and discovering novel therapeutic targets hold significant implications. 
    OBJECTIVE: To analyze the expression profiles of periodontitis-associated immune cell subpopulations and identify key differentially expressed genes with a causal relationship to the disease, thereby exploring potential molecular mechanisms and key genes involved in periodontitis and immune cell dynamics. 
    METHODS: Single-cell RNA sequencing data from the GEO database were used to analyze immune cell subset heterogeneity and identify differentially expressed genes. Mendelian randomization analysis was performed using expression quantitative trait loci data to infer causal relationships between immune cell gene expression and periodontitis risk. Pathway enrichment and immune infiltration analyses were performed on the identified causal genes to reveal the associations between differentially expressed genes and immune cells with the development and progression of periodontitis. CellChat trajectory analysis was used to explore intercellular communication. To validate key findings, gingival tissue samples were collected from 20 patients with periodontitis diagnosed by the Department of Stomatology at The First Affiliated Hospital of Shihezi University (periodontitis group) and 20 healthy gingival tissue samples from patients undergoing orthodontic or impacted tooth extraction (control group). RT-qPCR and immunohistochemistry were used to examine the expression of key genes.
    RESULTS AND CONCLUSION: Comprehensive analysis identified 23 immune cell clusters in periodontitis and three key genes (annexin A1, solute carrier family 11 member 1, and vimentin) that were significantly causally associated with periodontitis risk. Pathway enrichment analysis revealed their involvement in key immune regulatory mechanisms. Further analysis and characterization of immune subtype receptor ligands and key cell subtype trajectories revealed distinct roles for annexin A1, solute carrier family 11 member 1, and vimentin in disease progression. Annexin A1, solute carrier family 11 member 1, and vimentin mRNA expression levels were upregulated in periodontitis tissues compared with healthy controls (P < 0.05). This study reveals the key role of immune cell subsets in periodontitis and validates key genes (annexin A1, solute carrier family 11 member 1, and vimentin) with a causal relationship with periodontitis.
    Figures and Tables | References | Related Articles | Metrics
    Cerebrospinal fluid-contacting neurons differentiating into motor neurons promote functional recovery in spinal cord-injured mice
    Tang Min, Shangguan Zeyu, Li Qizhe, Tan Wei, Li Qing
    2026, 30 (19):  4965-4971.  doi: 10.12307/2026.675
    Abstract ( 66 )   PDF (2753KB) ( 204 )   Save
    BACKGROUND: Cell transplantation is one of the effective approaches for repairing spinal cord injury. Our research team previously found that transplanted cerebrospinal fluid-contacting neurons can survive and promote motor function recovery in mice with spinal cord injury. However, whether these transplanted cerebrospinal fluid-contacting neurons differentiate into functional neurons and thereby facilitate motor function recovery remains unclear.
    OBJECTIVE: To investigate whether transplanted cerebrospinal fluid-contacting neurons differentiate into functional neurons in vivo and contribute to motor function recovery after spinal cord injury.
    METHODS: Primary cells containing cerebrospinal fluid-contacting neurons were isolated from the cervical spinal cord of C57BL/6 mice within 24 hours after birth and cultured in adherent conditions. The cells were transduced with a lentivirus carrying a multimodal imaging fusion gene and selected with puromycin to purify cerebrospinal fluid-contacting neurons. Differentiation was induced using serum-containing medium. Immunofluorescence staining was performed to detect the expression of neuronal marker NeuN and motor neuron marker ChAT after differentiation. Thirty C57BL/6 mice were randomly divided into three groups. The T10 segment spinal cord injury model was established in the transplantation group and PBS group by clamping method, and the sham operation group only opened the lamina. One week after spinal cord injury, the transplantation group received cell transplantation, and the PBS group was injected with an equivalent volume of PBS. At weeks 1, 4, and 8 post-transplantation, spinal cord tissues were collected for immunofluorescence to assess ChAT expression. At week 8, the expression of synaptic marker SYN, inhibitory neurotransmitter marker GAD65/67, and excitatory neurotransmitter marker vGLUT1 was further evaluated. Hematoxylin and eosin staining was used to observe spinal cord morphology. Motor function recovery was assessed using Basso Mouse Scale scoring and footprint analysis.
    RESULTS AND CONCLUSION: (1) Cerebrospinal fluid-contacting neurons exhibited neural stem cell characteristics in vitro and could differentiate into motor neurons. (2) Transplanted cerebrospinal fluid-contacting neurons survived long-term and differentiated into motor neurons in vivo. (3) The proportion of cerebrospinal fluid-contacting neurons differentiating into motor neurons reached the highest level at 8 weeks post-transplantation (P < 0.000 1). (4) At 8 weeks post-transplantation, cerebrospinal fluid-contacting neurons co-expressed SYN, GAD65/67, and vGLUT1, indicating synaptic formation between transplanted cerebrospinal fluid-contacting neurons and host neurons. (5) The Basso Mouse Scale scores of the PBS group remained significantly lower than those of the transplantation group (P < 0.001). Transplanted mice exhibited more coordinated gait patterns with only minor toe dragging, whereas PBS-treated mice displayed severe hindlimb dragging. (6) Hematoxylin and eosin staining revealed large cavitation areas in the injury site of PBS-treated mice, whereas the cavitation area was significantly reduced in the transplantation group. These findings confirm that transplanted cerebrospinal fluid-contacting neurons can differentiate into motor neurons both in vitro and in vivo, establish synaptic connections, and ultimately improve motor function in spinal cord injury mice. 
    Figures and Tables | References | Related Articles | Metrics
    Rutin promotes osteogenic differentiation of MC3T3-E1 cells: regulating the formation of neutrophil extracellular traps
    Li Jie, Liu Yang, Wang Dayu, Wan Qiang, Zhu Jiayi, Feng Wenjun, Chen Jinlun, Jie Ke, Huang Yiwei, Xin Pengfei, Zeng Jianchun, Zeng Yirong, Zhang Haitao
    2026, 30 (19):  4972-4982.  doi: 10.12307/2026.793
    Abstract ( 85 )   PDF (6351KB) ( 223 )   Save
    BACKGROUND: Rutin can effectively prevent osteoporosis, but its mechanism of action remains unclear.
    OBJECTIVE: To investigate the effect of rutin on osteogenesis of MC3T3-E1 cells under the action of neutrophil extracellular traps.
    METHODS: (1) Human myeloid leukemia dHL60 cells were stimulated with phorbol 12-myristate 13-acetate to induce neutrophil extracellular trap formation in vitro. dHL60 cells were divided into four groups and cultured. The control group received Hank's balanced salt solution, while the other three groups received 50 nmol/L phorbol esters. The latter two groups were then treated with either 250 μmol/L rutin or 250 μmol/L rutin and 5 U/mL DNase I. dHL60 cell apoptosis was assessed by flow cytometry, and the expression of marker genes and proteins associated with neutrophil extracellular trap formation was determined by RT-qPCR and western blot assay. (2) MC3T3-E1 cells were divided into six groups for culture: the control group was treated with Hank's balanced salt solution, and the other five groups were treated with 50 nmol/L phorbol esters; dHL60 cells and 50 nmol/L phorbol esters; 100 μmol/L rutin; dHL60 cells, 50 nmol/L phorbol esters, and 250 μmol/L rutin; and dHL60 cells, 50 nmol/L phorbol esters, 250 μmol/L rutin, and 5 U/mL DNase I. Flow cytometry was used to assess apoptosis in MC3T3-E1 cells treated with neutrophil extracellular traps. Alkaline phosphatase staining and Alizarin red staining were used to determine the osteogenic and mineralization abilities of MC3T3-E1 cells treated with neutrophil extracellular traps. RT-qPCR and western blot assay were used to examine the expression of osteogenesis-related genes and proteins in MC3T3-E1 cells treated with neutrophil extracellular traps.
    RESULTS AND CONCLUSION: (1) Compared with the blank control group, rutin significantly inhibited the mRNA and protein expressions of protein arginine deiminase 4, myeloperoxidase, and neutrophil elastase in dHL60 cells (P < 0.000 1). Compared with the rutin group alone, the combined intervention of rutin and DNase I had a more significant downregulation effect on protein arginine deiminase 4, myeloperoxidase, and neutrophil elastase (P < 0.05), indicating that rutin could significantly inhibit the formation of neutrophil extracellular traps. (2) After dHL60 cells induced neutrophil extracellular traps and then co-cultured with MC3T3-E1 cells, the mRNA and protein expressions of Runt-related transcription factor 2, β-catenin, and bone morphogenetic protein 2 in MC3T3-E1 cells were significantly downregulated (P < 0.000 1), and the apoptosis rate was significantly increased (P < 0.000 1), which indicate that neutrophil extracellular traps significantly inhibit the osteogenic capacity of MC3T3-E1 cells in vitro and promote their apoptosis. Rutin alone or combined with DNase I significantly improved the apoptosis and osteogenic capacity of MC3T3-E1 cells exposed to neutrophil extracellular traps, and the combined effect of rutin and DNase I was more pronounced than that of rutin alone, suggesting that rutin may inhibit the formation of neutrophil extracellular traps, thereby improving the osteogenic capacity of MC3T3-E1 cells. (3) Molecular docking and molecular dynamics simulations revealed that rutin binds well to the target proteins of protein arginine deiminase 4, myeloperoxidase, and neutrophil elastase, indicating that rutin can specifically inhibit the formation of neutrophil extracellular traps.
    Figures and Tables | References | Related Articles | Metrics
    Protective effect of optimization of the whole blood separation process to prepare therapeutic-grade platelet lysate on cardiomyocytes from hypoxic injury
    Jiang Lihong, Lin Fuwen, Chen Ying, Huang Yuchen, Peng Shaojing, Chen Jierun, Su Changshan, Zhong Zhoulin
    2026, 30 (19):  4983-4989.  doi: 10.12307/2026.223
    Abstract ( 56 )   PDF (3015KB) ( 185 )   Save
    BACKGROUND: Platelets, crucial blood components, are commonly discarded along with white blood cells in traditional blood processing and become medical waste. Optimizing whole blood separation processes to prepare platelet lysate products and exploring their applications in tissue engineering and regenerative medicine are of great value. 
    OBJECTIVE: To optimize blood separation for therapeutic-grade platelet lysate production and explore the protective impact of platelet lysate on myocardial hypoxia injury.
    METHODS: Twenty-one platelets were isolated from whole blood using a closed blood bag and tubing system, followed by the preparation of twenty-one platelet lysates through the freeze-thaw method. The concentrations of platelet-derived growth factors (platelet-derived growth factor AA, platelet-derived growth factor BB, and platelet-derived growth factor AB), vascular endothelial growth factor, epidermal growth factor, insulin-like growth factor, fibroblast growth factor, and transforming growth factor-β1 in the platelet lysate were quantified using an enzyme-linked immunosorbent assay kit. Detection ranges for these factors were determined. Bacterial and mycoplasma contamination were observed using the colony culture method and a Mycoplasma PCR detection kit, respectively. A hypoxic cardiomyocyte model was established to evaluate the protective effects of platelet lysate on hypoxia-stressed cardiomyocytes.
    RESULTS AND CONCLUSION: (1) The concentration ranges of major growth factors and cytokines in platelet lysates were as follows: platelet-derived growth factor AA: 12.86-24.17 μg/L, platelet-derived growth factor BB: 0.25-0.32 μg/L, platelet-derived growth factor AB: 85.09-114.91 μg/L, vascular endothelial growth factor: 10.57-58.37 μg/L, epidermal growth factor: 0.43-0.69 μg/L, insulin-like growth factor 1: 106-204.9 μg/L, fibroblast growth factor: 0.03-0.06 μg/L, transforming growth factor β1: 124.17-192.38 μg/L. (2) Colony culture and mycoplasma detection yielded negative results. (3) The efficiency of cardiomyocyte proliferation was highest with a low concentration (1%) of platelet lysate in culture. A 1% concentration of platelet lysate effectively stimulated cardiomyocytes to produce high levels of superoxide dismutase and glutathione peroxidase, providing protective effects for cardiomyocytes. This study established a method for preparing therapeutic-grade platelet lysate by optimizing the whole blood separation process, thereby improving the utilization of blood resources. Platelet lysate, rich in essential growth factors, significantly promotes the repair of hypoxic injuries in cardiomyocytes.

    Figures and Tables | References | Related Articles | Metrics
    Action mechanism of mesenchymal stem cells and their derivatives in the treatment of liver fibrosis
    Fan Longyu, Yuan Xiao, Xie Yanan, Yin Xiaoxuan
    2026, 30 (19):  4990-4999.  doi: 10.12307/2026.791
    Abstract ( 97 )   PDF (1840KB) ( 52 )   Save
    BACKGROUND: Multiple chronic liver diseases that fail to heal will progress to the stage of liver fibrosis. If not treated in a timely manner, they will eventually develop into liver cancer, severely threatening the safety of patients’ lives. However, there is currently no specific drug for the treatment of liver fibrosis. Recent studies have demonstrated that mesenchymal stem cell therapy has significant advantages over traditional treatment protocols, providing a new direction for the treatment of liver fibrosis.
    OBJECTIVE: To review the mechanisms of action of mesenchymal stem cells and their derivatives in the treatment of liver fibrosis.
    METHODS: The Chinese and English keywords “mesenchymal stem cells, mesenchymal stromal cells, MSCs, liver fibrosis, hepatic fibrosis, hepatocyte death, liver cell death, hepatocyte-like cells, immunomodulation, macrophage, hepatic stellate cells, clinical trials, clinical studies” were used and searched in CNKI and PubMed databases, a total of 81 eligible articles were selected for this review.
    RESULTS AND CONCLUSION: Through summarizing existing studies, the mechanisms by which mesenchymal stem cells and their derivatives exert anti-fibrotic effects and delay disease progression have been identified. These specific mechanisms include reducing hepatocyte death, differentiating into hepatocyte-like cells, regulating immune responses, and inhibiting the activation of hepatic stellate cells. These findings confirm that mesenchymal stem cells and their derivatives can serve as a new research direction for the treatment of liver fibrosis-related diseases.

    Figures and Tables | References | Related Articles | Metrics
    Exosomal miRNA as an early diagnostic biomarker and potential therapeutic target for cerebral small vessel disease
    Liu Yuxuan, Guan Dongsheng, Wang Jing, Ren Yihan
    2026, 30 (19):  5000-5006.  doi: 10.12307/2026.144
    Abstract ( 101 )   PDF (1593KB) ( 32 )   Save
    BACKGROUND: In recent years, microRNA (miRNA) has received extensive attention in the pathogenesis and diagnosis and treatment of cerebral small vessel disease, and is involved in the regulation of various pathological processes of cerebral small vessel disease.
    OBJECTIVE: To review the role of miRNA in the pathogenesis, diagnosis, and treatment of cerebral small vessel disease, and to provide effective therapeutic targets and new potential biomarkers for the early diagnosis of cerebral small vessel disease.
    METHODS: “microRNA, cerebral small vessel disease, blood-brain barrier, chronic cerebral hypoperfusion, inflammation, apoptosis, diagnosis, biomarkers” were used as English search terms for PubMed search. “Exosomal miRNA, cerebral small vessel disease” were used as Chinese search terms for CNKI search. The search time limit was from inception to January 2025. Through the preliminary screening of reading titles and abstracts, the literature with poor relevance and duplicate content was excluded, and finally 72 articles were included for inductive discussion.
    RESULTS AND CONCLUSION: (1) Through the excavation and discussion of the biological functions and characteristics of exosomal miRNAs, it was confirmed that exosomal miRNAs are important related components in the occurrence and progression of cerebral small vessel disease diseases. (2) Exosomal miRNA participates in the regulation of various pathological processes of cerebral small vessel disease, and plays an important role in the pathological mechanism of cerebral small vessel disease by protecting the blood-brain barrier, improving chronic cerebral hypoperfusion, reducing inflammatory response, and inhibiting apoptosis. (3) Exosomal miRNA can effectively target different pathological links of cerebral small vessel disease by targeting multiple signaling pathways to intervene at different stages of pathological development. (4) The combination of multiple exosomal miRNAs can effectively improve the disease process of cerebral small vessel disease, and the regulatory effects of different miRNAs play different roles in each stage of the pathological mechanism, and the construction of miRNA action network is of great significance for regulating the development of cerebral small vessel disease. (5) Exosomal miRNAs are widely and stably present in various body fluids, and their specific and significant expression in urine, serum, blood and other body fluids of cerebral small vessel disease patients can be used as an effective basis for the diagnosis of cerebral small vessel disease patients. (6) At present, the main clinical treatment method is to inject miRNA mimics or antagonists to regulate the expression of downstream target genes, and how to exert the most effective therapeutic effect of miRNA still needs to be further studied. (7) As exosome contents, miRNA has great application prospects in the treatment of cerebral small vessel disease. In the future, its mechanism of action should be further explored to provide effective ideas and further optimize the clinical treatment of cerebral small vessel disease.

    Figures and Tables | References | Related Articles | Metrics
    Stem cell-derived exosomes modulate the inflammatory microenvironment and enhance regenerative capacity of oligodendrocytes
    Zhang Xixian
    2026, 30 (19):  5007-5014.  doi: 10.12307/2026.218
    Abstract ( 90 )   PDF (1667KB) ( 349 )   Save
    BACKGROUND: The dynamic interplay between the inflammatory microenvironment and oligodendrocytes following neural injury constitutes a central pathological feature in neurodegenerative and demyelinating diseases. Stem cell-derived exosomes, leveraging their inherent low immunogenicity, efficient barrier-penetrating capacity, and targeted delivery of diverse pro-repair factors, play a pivotal role in modulating oligodendrocyte differentiation and the inflammatory microenvironment, thereby facilitating neural repair and regeneration.  
    OBJECTIVE: To investigate the mechanisms by which stem cell-derived exosomes regulate the inflammatory microenvironment to enhance oligodendrocyte survival, differentiation, and myelin repair. It seeks to establish a novel "cell-free therapy" paradigm, utilizing exosome-mediated multi-component synergy (miRNAs, proteins, and metabolites) and microenvironmental adaptation for treating neurological disorders.  
    METHODS: Literature searches were conducted in the China National Knowledge Infrastructure, PubMed, and WanFang databases, covering publications from 2010 to 2025. Chinese search terms included “exosomes, stem cells, engineered, diagnosis, inflammatory microenvironment, oligodendrocytes, signaling pathways,” while English terms comprised “stem cell-derived exosomes, oligodendrocytes, inflammatory microenvironment, signaling pathway, regulatory mechanisms.” Irrelevant studies were excluded, and 65 articles meeting inclusion criteria were systematically reviewed according to the inclusion and exclusion criteria.  
    RESULTS AND CONCLUSION: (1) The biological characteristics of exosomes and their roles in the central nervous system were summarized, followed by an in-depth analysis of the inflammatory microenvironment's impact on oligodendrocytes and exosome-mediated regulatory mechanisms, including miRNA-modulated signaling pathways, anti-inflammatory factor secretion, and immune cell function regulation. (2) The regulatory mechanisms of the inflammatory microenvironment on oligodendrocyte behavior and their implications in disease pathogenesis were elucidated. (3) An engineered exosome delivery system incorporating targeted peptide modification and functional molecule loading was proposed, combined with traditional Chinese medicine-derived bioactive components to construct an innovative cell-free therapeutic strategy. (4) At the molecular level, the intricate crosstalk between exosome functional networks and myelin homeostasis was elucidated, providing a novel therapeutic direction for exosome-based targeted delivery systems in treating demyelinating neurological disorders.

    Figures and Tables | References | Related Articles | Metrics
    Advantages and potential of cell-derived exosomes in oral tissue regeneration
    Li Jiapeng, Zuleina·Abula, Jia Qianqian, Nigare·Yunusijiang, Sun Jiaqi, Zhao Jin, Wu Zeyu
    2026, 30 (19):  5015-5023.  doi: 10.12307/2026.219
    Abstract ( 93 )   PDF (2397KB) ( 859 )   Save
    BACKGROUND: Stem cells show a great potential in oral tissue regeneration but face challenges such as immune rejection and tumor formation. Exosomes are nanoscale extracellular vesicles secreted by cells, reducing immunogenicity and tumor risks while maintaining stem cell functions, such as promoting angiogenesis and tissue repair.
    OBJECTIVE: To summarize the mechanisms and roles of exosomes in oral tissue regeneration, explore exosome engineering strategies and the challenges and future directions in the application of exosomes in oral regenerative medicine.
    METHODS: The relevant literature published from the WanFang and PubMed databases from their inception to 2025 was searched using Chinese search terms “stem cells, exosomes, dental pulp regeneration, periodontal regeneration” and English search terms “exosomes, stem cells, dentistry, regenerate.” Finally, 94 articles were included for review and analysis.
    RESULTS AND CONCLUSION: (1) Exosomes have lower immunogenicity and no tumorigenic risk compared with stem cells. They are more stable and easier to store and transport. Additionally, exosomes can penetrate dense tissues for targeted delivery. They can avoid the ethical and immune rejection issues faced by stem cell therapy, making them a safer and more effective treatment option. (2) Exosomes have shown significant efficacy in the regeneration of oral tissues, including dental pulp, periodontal tissue, craniofacial bone, salivary glands, nerves, and skin. They can promote tissue repair and regeneration through multiple mechanisms, demonstrating broad application prospects. (3) Engineering strategies such as pre-treatment, isolation and purification, and targeted modification can enhance the functions of exosomes, improving their therapeutic potential and clinical feasibility. However, the current technologies still have limitations. Further optimization is needed in the future to promote their widespread application. 

    Figures and Tables | References | Related Articles | Metrics
    Mechanisms and clinical strategies of mesenchymal stem cell-derived extracellular vesicles intervening in cell regulatory networks to treat pulmonary fibrosis
    Ding Yan, Nie Hongguang, Sun Yu
    2026, 30 (19):  5024-5032.  doi: 10.12307/2026.220
    Abstract ( 91 )   PDF (4971KB) ( 130 )   Save
    BACKGROUND: Pulmonary fibrosis is a chronic progressive lung disease characterized by abnormal deposition of extracellular matrix, with current therapeutic options remaining limited. Extracellular vesicles derived from mesenchymal stem cells, with their lipid membrane structure, can cross the internal barriers in the body and directly deliver various anti-fibrotic, immunomodulatory factors (such as growth factors, immunomodulatory cytokines, and chemokines), lipids and nucleic acids (mRNAs and miRNAs) and other bioactive substances to target cells in the lungs. 
    OBJECTIVE: To systematically review the core mechanisms of mesenchymal stem cell extracellular vesicles in the treatment of pulmonary fibrosis, summarize and elaborate on how extracellular vesicles directly deliver the bioactive substances they carry to different target cells in the lungs, demonstrating their unique advantages in regulating the pulmonary fibrosis microenvironment, providing a theoretical basis for the future use of mesenchymal stem cell extracellular vesicles in the treatment of pulmonary fibrosis diseases.
    METHODS: China National Knowledge Infrastructure, PubMed, clinicaltrials.gov, and the Chinese Clinical Trial Registry were searched. English search terms were “mesenchymal stem cells, extracellular vesicles, pulmonary fibrosis, alveolar epithelium, microvascular endothelium, macrophages, neutrophils.” A total of 56 articles were finally included for the summary.
    RESULTS AND CONCLUSION: In alveolar epithelial cells, the process of epithelial-mesenchymal transition is inhibited by regulating signaling pathways such as protein kinase B/glycogen synthase kinase 3β and transforming growth factor β/Smad. The pro-fibrotic signaling network can be blocked by specific miRNAs (such as miR-466f-3p and let-7). In fibroblasts and endothelial cells, miR-21-5p and miR-218/miR-214-3p are used to intervene in the activation of fibroblasts and endothelial-mesenchymal transition, respectively. From a macroscopic perspective, monocytes are reprogrammed, macrophage polarization is regulated, dendritic cell maturation is inhibited, and the Th17/Treg response is balanced, reshaping the immune microenvironment. Furthermore, mesenchymal stem cell extracellular vesicles modified through engineering approaches (targeted peptide modification and drug co-loading) can also enhance the precise targeting of multiple cell subtypes in the lesion area. However, vesicle heterogeneity, large-scale preparation standards, and in vivo dynamic tracing techniques remain key bottlenecks for clinical translation. Future research should integrate single-cell sequencing and spatial multi-omics technologies to deeply explore the underlying mechanisms of mesenchymal stem cell-derived extracellular vesicles in regulating cellular networks and develop novel clinical treatment strategies for pulmonary fibrosis targeting cells.

    Figures and Tables | References | Related Articles | Metrics
    Application and prospects of precision-medicine-driven breast cancer organoids in therapeutic drug discovery
    Mou Jiancheng, Luo Jie, Liu Haotian, Yang Zhuotao, Mu Yuxiao, Qian Da, Meng Xuli
    2026, 30 (19):  5033-5039.  doi: 10.12307/2026.244
    Abstract ( 61 )   PDF (3096KB) ( 352 )   Save
    BACKGROUND: Breast cancer organoids, as a novel in vitro model, can not only simulate the biological characteristics of breast cancer but also to some extent reproduce the impact of the tumor microenvironment on the tumor, facilitating research on breast cancer and further promoting precision medicine.
    OBJECTIVE: To review the application status of breast cancer organoids in the field of therapeutic drugs, including chemotherapy, targeted therapy, and immunotherapy, over the past few years, and to discuss the existing limitations in order to further promote their application in breast cancer treatment.
    METHODS: The first author conducted a search in the China National Knowledge Infrastructure (CNKI) and PubMed databases in June 2025, with the publication time of the literature ranging from January 2010 to June 2025. The Chinese and English search terms included "organoid, breast organoid, breast cancer organoid, breast cancer experimental model, precision medicine, targeted therapy, chemotherapy, immunotherapy, drug sensitivity." A total of 58 articles were included in the review.
    RESULTS AND CONCLUSION: (1) Compared with traditional breast cancer cell experiments that lack validation of tissue structure, cell-to-cell interactions, and in vivo microenvironments, breast cancer organoids, with their diverse origins from primary tumor cells and continuous innovation in culture systems, can simulate cell-to-cell interactions and reproduce the biological characteristics of breast cancer and its tumor microenvironment. This makes breast cancer organoids one of the most promising tools in the field of breast cancer research and provides greater potential for improving treatment resistance in clinical breast cancer patients through drug sensitivity screening. (2) The application of drug sensitivity trial results from breast cancer organoids in clinical practice has yielded promising outcomes. By conducting drug sensitivity tests with common chemotherapeutic agents, targeted drugs, and immunotherapeutic agents in breast cancer organoids, the mechanisms of drug action against tumors and the synergistic effects of multiple drugs are validated. This approach helps avoid the use of primarily resistant and highly toxic treatment drugs in patients, enabling the formulation of personalized treatment plans and evidence-based precision medical strategies. (3) Breast cancer organoids still face limitations in practical applications, such as low success rates in model construction, difficulties in model growth, and the lack of angiogenesis processes. To overcome these limitations, it is necessary to increase the amount of source tissue, improve culture systems, and innovate culture techniques. These improvements will facilitate comprehensive therapeutic drug selection through breast cancer organoids and assist in the development of personalized precision medicine.

    Figures and Tables | References | Related Articles | Metrics
    Innovative application of kidney organoids in acute kidney injury
    Huang Zhengbo, Ou Min, Li Guoshun, Duan Fuhui, Liu Jianqi, Lou Juxiang, Zhao Yanxiu, Su Xiaoyan
    2026, 30 (19):  5040-5049.  doi: 10.12307/2026.407
    Abstract ( 118 )   PDF (1650KB) ( 696 )   Save
    BACKGROUND: In recent years, the application of kidney organoid technology in acute kidney injury has gradually become a research hotspot. Traditional animal models have species differences from humans, and physiological and pathological processes of their kidneys cannot fully represent the human situation. Kidney organoid technology forms 3D kidney models through stem cell culture, which can simulate the complex structure and function of human kidneys. It has shown great potential in disease modeling and mechanism exploration of acute kidney injury, prediction of drug nephrotoxicity, and exploration of regeneration and repair mechanisms.
    OBJECTIVE: To summarize the progress in the application of organoid technology in acute kidney injury and to provide new technical approaches and research strategies for the prevention and treatment of acute kidney injury.
    METHODS: The relevant literature on organoids and acute kidney injury was retrieved through the China National Knowledge Infrastructure and PubMed databases, in which Chinese and English search terms mainly included “acute kidney injury, organoid, pluripotent stem cell, 3D bioprinting, kidney-on-a-chip, regenerative medicine, kidney transplantation.” All retrieved literature included original research articles and relevant reviews. The search period covered the establishment of each database to April 2025. A total of 99 articles were finally selected for analysis and summary.
    RESULTS AND CONCLUSION: (1) The cell sources reported in the current literature for inducing the formation of kidney organoids mainly include pluripotent stem cells, embryonic stem cells, and stem cells derived from urine. These kidney organoids play a significant role in in vitro drug screening, kidney development, and disease modeling. (2) 3D bioprinting and chip kidney technology are emerging techniques for constructing kidney-like organs. 3D bioprinting can precisely and specifically construct complex multi-cellular structures. Chip kidney technology has features such as high gas permeability, sensitivity, and low cost, which can extend the lifespan of the organoids and increase biocompatibility. It is suitable for preclinical drug development and toxicity screening. (3) The combination of gene editing technology and kidney organoid models has brought new perspectives and tools for the study of kidney diseases, drug development, and regenerative medicine. This technology can construct kidney organoids with specific reporter genes or sensitive indicators, and can also amplify and classify specific types of kidney cells in the organoids. (4) Renal organoids demonstrate unique advantages in disease simulation, drug evaluation, and exploration of regenerative treatment strategies. They can serve as in vitro models for the toxic mechanisms of drugs such as cisplatin, doxorubicin, and red yeast rice supplements that cause acute kidney injury. They can also be used to screen high-throughput drugs and therapeutic drug targets, playing a significant role in the field of regenerative medicine for kidney transplantation.
    Figures and Tables | References | Related Articles | Metrics
    Mechanism of acupuncture regulating proliferation and differentiation of stem cells
    Li Wenfang, Dong Mengwei, Jin Haizhu, Yang Wanpeng, Ba Te, Nan Nan, Liu Yang, Hao Huiqin
    2026, 30 (19):  5050-5056.  doi: 10.12307/2026.391
    Abstract ( 82 )   PDF (3529KB) ( 178 )   Save
    BACKGROUND: Stem cells have the potential for self-renewal and multi-directional differentiation, which can enhance tissue repair through direct differentiation or paracrine and immunomodulatory microenvironments. Acupuncture can promote the proliferation and differentiation of stem cells through multi-pathway synergy, which expands the application range of acupuncture. 
    OBJECTIVE: To review the types of stem cells and their differentiation potential, and to explore the role and mechanism of acupuncture in promoting stem cell proliferation and differentiation. 
    METHODS: Articles related to acupuncture to promote stem cell proliferation and differentiation published from inception to March 2025 were searched on PubMed and CNKI databases, with “electroacupuncture, acupuncture, neural stem cells, bone marrow mesenchymal stem cells, adipose mesenchymal stem cells” as Chinese and English search terms. After excluding content unrelated to the topic, 76 articles were finally selected for inductive analysis. 
    RESULTS AND CONCLUSION: (1) Stem cells belong to the category of kidney essence, and stem cells play a synergistic role with kidney essence, which can be used to guide the treatment of kidney essence deficiency disease, and explain modern medicine with traditional Chinese medicine theory. (2) Acupuncture can activate a variety of signaling pathways and regulate the expression of growth factors, thereby promoting the proliferation and differentiation of endogenous or exogenous stem cells, and providing new ideas for clinical treatment. (3) Although acupuncture plays an important role in stem cell proliferation and differentiation, it also faces many challenges in the application process. The establishment of stem cell engineering standards and the innovative development of acupuncture therapy are the primary prerequisites and important means to deeply explore the mechanism of action of acupuncture and stem cell therapy combination therapy, so as to ensure the stability and efficiency of the treatment effect.
    Figures and Tables | References | Related Articles | Metrics
    In vitro simulation of cellular exercise environments: advancements in methodology and signal simulation
    Chen Bingao, Chen Hongbao, Xie Hao, Ding Xinglei, Yuan Yu, Zhang Jiahao, Ban Weikang, Xu Shenghao, Yuan Yang
    2026, 30 (19):  5057-5065.  doi: 10.12307/2026.790
    Abstract ( 78 )   PDF (1499KB) ( 38 )   Save
    BACKGROUND: With an increasing understanding of the health benefits of exercise, research on the mechanisms of exercise intervention has become a focal point. Traditional studies rely on in vivo animal models or multi-omics techniques to indirectly infer exercise intervention mechanisms, but the research is not in-depth enough, and many disease models cannot achieve the prescribed exercise intensity. Therefore, in vitro cell-based exercise environment simulation techniques are of particular significance. Existing technologies primarily focus on the replication of single signals, failing to comprehensively simulate the interaction of multi-dimensional signals during exercise, which limits the understanding of exercise adaptation mechanisms.
    OBJECTIVE: To explore the technological advancements in in vitro cell-based exercise environment simulation, analyze the advantages of existing signal simulation techniques, and propose a new framework integrating multi-dimensional signals to promote the precise replication of exercise mechanisms and application research in related fields.
    METHODS: This study conducted a search in the PubMed and Web of Science databases using keywords such as Exercise, Physiology, Molecular Signals, Myokines, Exerkines, etc. Relevant original research and review articles were selected, and after the initial search and removal of duplicates, a total of 5 046 related articles were identified. After further screening, 99 articles were ultimately included in the study.
    RESULTS AND CONCLUSION: Existing in vitro cell-based exercise simulation technologies have made progress in replicating certain specific attributes of exercise, such as mechanical stretch and electrical signals. However, these technologies have yet to fully replicate the multi-dimensional signal interactions that occur during exercise. By integrating mechanical forces, electrophysiological stimulation, and bioactive factors, future simulation technologies are expected to more accurately replicate the impact of exercise on cell metabolism, gene expression, and phenotypic shaping, providing a more precise experimental platform for studying exercise mechanisms. Moreover, innovations and optimizations in in vitro exercise simulation technologies will offer crucial support for exercise medicine, drug development, and regenerative medicine.
    Figures and Tables | References | Related Articles | Metrics
    Effects of human umbilical cord blood mesenchymal stem cells on pain and function in patients with knee osteoarthritis: a meta-analysis
    Liu Yanzhe, Liu Hua, Yang Tubao, Liu Yupeng
    2026, 30 (19):  5066-5071.  doi: 10.12307/2026.115
    Abstract ( 83 )   PDF (1501KB) ( 121 )   Save
    OBJECTIVE: To conduct a meta-analysis concerning the effects of human umbilical cord blood mesenchymal stem cells on pain and function in patients with knee osteoarthritis.
    METHODS: Using the Chinese search terms “human umbilical cord blood, mesenchymal stem cells, knee joint-related diseases” and the English search terms “human cord blood, mesenchymal stem cell, MSC, knee osteoarthritis, knee joint disease, knee joint disorders, knee OA,” we conducted searches in the CNKI, WanFang, VIP, PubMed, Elsevier, and Web of Science databases. The search timeframe spanned from the establishment of each database until June 13, 2024. The quality of the included literature was assessed using the Cochrane Risk of Bias tool and the ROBINS-I tool. For meta-analysis, the Revman software was utilized, calculating mean differences for continuous variables and relative risks for dichotomous variables, along with 95% confidence intervals. 
    RESULTS: Three randomized controlled trials and three case-control studies involving a total of 248 subjects were included, with the quality of the literature evaluated as moderate. The results of the meta-analysis showed that (1) visual analog scale score was significantly lower in the trial group than in the control group, with significant differences (χ2=44.98, P < 0.001, I²=91%). (2) The Western Ontario and McMaster Universities Osteoarthritis Index score was significantly lower in the trial group than in the control group, with significant differences (χ2=16.84, P < 0.001, I²=88%). (3) The Lysholm scoring system score was significantly higher in the trial group than in the control group, with significant differences (χ2=0.12, P=0.73, I²=0%). (4) The incidence of adverse reactions was significantly higher in the trial group than in the control group, with significant differences (χ2=4.99, P < 0.001, I²=20%), with a pooled risk difference of 0.21, corresponding to a number needed to treat of 5. 
    CONCLUSION: Human umbilical cord blood mesenchymal stem cells can relieve pain in patients with knee osteoarthritis, improve knee function, and achieve a good balance between safety and effectiveness. 

    Figures and Tables | References | Related Articles | Metrics
    Exosomes promote diabetic wound healing: a visual analysis of research hotspots and evolutionary trends
    Jian Xichao, Shao Jingjie, Tang Shihan, Qi Fang, Deng Chengliang
    2026, 30 (19):  5072-5081.  doi: 10.12307/2026.282
    Abstract ( 80 )   PDF (5878KB) ( 931 )   Save
    BACKGROUND: Diabetes wound is one of the serious complications of diabetes patients, and its complex pathological mechanism and clinical treatment dilemma is still a major challenge. In recent years, exosomes have become a new focus in the field of diabetes wound research because they play a key role in intercellular communication, immune regulation, and tissue repair.
    OBJECTIVE: To investigate the research hotspots and evolutionary trends of exosomes in diabetic wound healing.  
    METHODS: A systematic search was conducted in the Web of Science core collection to identify English literature focusing on exosomes in diabetic wound healing and published between the inception of the database and December 31, 2024. The annual publication volume was analyzed to track changes over time. Visual analyses using VOSviewer and CiteSpace software were performed on the retrieved literature to examine key aspects such as authors, countries, institutions, journals, and keywords, providing insights into the current research landscape and evolving hot topics in exosomes for diabetic wound healing.  
    RESULTS AND CONCLUSION: From 2014 to 2024, a total of 424 publications on exosome-promoted diabetic wound healing were produced, contributed by 2 883 authors from 46 countries and featured in 199 journals. In the realm of exosome-promoted diabetic wound healing research, China has emerged as the leading contributor, followed closely by the United States. The journals Journal of Nanobiotechnology and Advanced Healthcare Materials have published the highest number of papers and are recognized for their significant influence in the field. Notably, author Chen Zhenbing and Huazhong University of Science and Technology stand out as the most prolific author and institution, respectively. However, the researcher clusters have yet to attain a substantial scale, indicating that future efforts are necessary to enhance team collaboration. Global research focus is primarily concentrated on ten thematic groups, including adipose-derived stem cells, diabetic wounds, diabetic wound healing, wound healing, endoplasmic reticulum stress, microbubbles, collagen, proteomics, and diabetic foot infections. The research hotspots in this field are undergoing a transition from molecular mechanisms to systemic interventions. Future research trends will center on angiogenesis, macrophages, antimicrobial agents and hydrogels. It is essential to integrate multidisciplinary technologies on this basis to achieve more effective precision treatments and optimize management strategies for diabetic wounds.

    Figures and Tables | References | Related Articles | Metrics
    Exosomes and neuropathic pain: visualization analysis on literature
    Ma Jing, Han Jing, Shi Linyu, Wu Yuwei, Yuan Haiguang, Li Yongfeng
    2026, 30 (19):  5082-5092.  doi: 10.12307/2026.789
    Abstract ( 69 )   PDF (16646KB) ( 37 )   Save
    BACKGROUND: Neuropathic pain has a complex pathogenesis and limited clinical intervention outcomes. In recent years, exosomes have gradually emerged as a focal point in the study of neuropathic pain due to their unique intercellular communication functions and molecular delivery capabilities.
    OBJECTIVE: To systematically review research progress on exosomes in the field of neuropathic pain using bibliometric methods, summarize the knowledge framework and research hotspots, and provide theoretical foundations and translational strategies for advancing this field.
    METHODS: Based on the Web of Science Core Collection (WOSCC) database, relevant literature on exosomes and neuropathic pain was retrieved over the time span from January 1, 2012, to March 31, 2025. Keyword co-occurrence analysis, clustering analysis, outbreak detection, and collaboration network visualization were performed using VOSviewer and CiteSpace software.
    RESULTS AND CONCLUSION: A total of 313 articles were included in this study. Among 42 countries or regions, the United States and China made significant contributions. Shanghai Jiao Tong University and Nantong University were the research institutions with the highest number of publications. The journals with the most publications and the highest number of citations were Neural Regeneration Research and International Journal of Molecular Sciences, respectively. The study identified 382 authors, with Zhang Zheng Gang having the highest number of publications and Zhang Yi having the highest number of citations. Keywords of particular interest included “nerve regeneration,” “neuroinflammation,” “Schwann cell,” “regenerative medicine,” and “spinal cord injury,” all of which are key areas for future research. Bibliometric analysis revealed research trends of exosomes in the field of neuropathic pain. Exosomes hold great promise in elucidating the underlying mechanisms and developing novel precision therapies for neuropathic pain. Future studies may combine multi-omics and engineered exosome platforms to advance the development of this field.

    Figures and Tables | References | Related Articles | Metrics