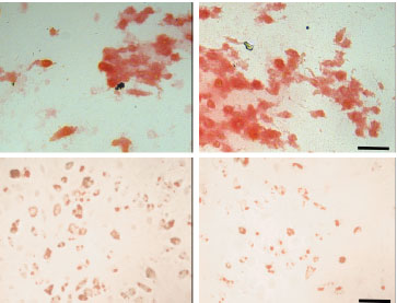
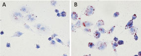
鹿茸干细胞外泌体miRNA-145调控炎症软骨细胞的作用
蒋一頔, 赵建伟, 周 珏, 吕金朋, 王大涛, 李勋胜, 岳志刚, 崔 博, 孙红梅. 鹿茸干细胞外泌体miRNA-145调控炎症软骨细胞的作用[J]. 中国组织工程研究, 2026, 30(13):
3288-3297. doi: 10.12307/2026.322
摘要
(
91 )
PDF(3816KB)
(
20
)
引言 |
材料方法 |
结果 |
讨论 |
图/表 |
参考文献 |
文章快阅 |
延伸阅读 |
手机杂志 |
点击(
91 ) | 下载(
20
) |
多维度评价 |
文章评价 |
相关文章
|