Loading...

Table of Content

    28 April 2026, Volume 30 Issue 12 Previous Issue    Next Issue
    For Selected: Toggle Thumbnails
    Knockdown of Linc00052 influences osteoblast proliferation, migration and apoptosis
    Qi Lu, Wang Junjie, Deng Qingao, Wang Xing
    2026, 30 (12):  2949-2956.  doi: 10.12307/2026.655
    Abstract ( 240 )   PDF (1788KB) ( 70 )   Save
    BACKGROUND: Linc00052 is associated with the occurrence and development of various diseases, including cancer and inflammatory diseases. It was found that Linc00052 targets miR-145 to exert a protective effect against human articular chondrocyte injury.
    OBJECTIVE: To observe the roles of Linc00052 knockdown in the proliferation, migration and apoptosis of osteoblasts.
    METHODS: (1) Human periapical bone tissues were collected from 30 patients with periapical inflammation and 30 healthy controls. Expression of Linc00052 and miR-145 was detected by RT-qPCR. (2) Passage 3 CP-H111 osteoblasts were cultured in two groups: the experimental group was transfected with lentivirus to knock down the expression of Linc00052, and the control group was transfected with an empty lentiviral negative control. At 72 hours after the transfection, RT-qPCR was used to detect the expression of Linc00052 and miR-145; western blot was used to detect the protein expression of tumor necrosis factor α and transforming growth factor β/SMAD2/SMAD3 signaling pathway proteins; cell counting kit-8 assay was used to detect cell proliferation; cell scratch assay and Transwell assay were conducted to detect cell migration; and flow cytometry was used to detect cell apoptosis.
    RESULTS AND CONCLUSION: (1) The expression of Linc00052 in periapical bone tissue of periapical periodontitis was significantly higher than that in normal periapical bone tissue (P < 0.05). (2) The expression of Linc00052, apoptosis level and protein expression of tumor necrosis factor α in the experimental group were lower than those of the control group (P < 0.05), while the protein expression of miR-145, transforming growth factor β1, p-SMAD2, and p-SMAD3 was higher than that in the control group, and the cell migration ability was stronger than that of the control group. To conclude, knockdown of Linc00052 expression can promote osteoblast proliferation and migration and inhibit cell apoptosis by reducing the protein expression of tumor necrosis factor α and activating the transforming growth factor β/SMAD2/SMAD3 signaling pathway.
    Figures and Tables | References | Related Articles | Metrics
    Effect of high-dose low molecular weight heparin on the healing of femoral shaft fractures 
    Shi Tengbo, Tang Yanfeng, Zhang Mengyu, Wang Xingfei, Li Chenyang, Shi Jinyu, Guo Chaowei, Li Yanzhou, He Zike, Wang Shangzeng
    2026, 30 (12):  2957-2964.  doi: 10.12307/2026.718
    Abstract ( 293 )   PDF (3874KB) ( 55 )   Save
    BACKGROUND: Patients with femoral shaft fractures often have a risk of deep vein thrombosis, and low molecular weight heparin is a commonly used medication for preventing deep vein thrombosis. However, the effect of low molecular weight heparin on fracture healing remains controversial, with some studies suggesting that it may inhibit osteoblast differentiation and delay fracture healing.
    OBJECTIVE: To investigate the effect of high-dose low molecular weight heparin on the healing of femoral shaft fractures.
    METHODS: The data of 100 patients with femoral shaft fractures from January 2023 to December 2023 were analyzed, including 51 males and 49 females, aged (56.26±15.46) years. According to the presence of deep vein thrombosis detected by bilateral lower limb ultrasound screening within 12 hours after admission, they were divided into a non-thrombosis group and a thrombosis group, with 50 cases in each group. The non-thrombotic group received subcutaneous injection of low molecular weight heparin into the abdomen to prevent thrombosis, at a dose of 100 U/kg, once a day, for 2 consecutive weeks. The thrombosis group was treated with subcutaneous injection of low molecular weight heparin into the abdomen for anticoagulation therapy of thrombosis, at a dose of 100 U/kg, every 12 hours, for 2 consecutive weeks. The swelling score of the affected limb, radiographic union score for tibia, fracture healing time, and Hospital for Special Surgery limb function score in both groups were recorded.
    RESULTS AND CONCLUSION: A total of 93 patients completed follow-up, including 48 cases in the thrombosis group and 45 cases in the non-thrombosis group. There was no significant difference in preoperative general information between the two groups of patients (P > 0.05). The limb swelling scores of the thrombosis group were significantly higher than those of the non-thrombosis group at 3 days and 1 week after surgery (P < 0.05). The fracture healing time of the thrombosis group was significantly longer than that of the non-thrombosis group (P < 0.05). The radiographic union score for tibia and Hospital for Special Surgery limb function score in the thrombosis group were significantly lower than those in the non-thrombosis group at 3 months after surgery (P < 0.05). There was no significant difference in radiographic union score for tibia and Hospital for Special Surgery limb function score between the two groups of patients at 6 and 9 months after surgery (P > 0.05). These results indicate that early application of high-dose low molecular weight heparin can delay fracture healing and increase potential bleeding risk, but has no significant effect on the final healing rate of femoral shaft fractures.
    Figures and Tables | References | Related Articles | Metrics
    Glutamine regulates the effect of hormones on the apoptosis of bone microvascular endothelial cells
    Zan Yongfeng, Song Keguan, Liu Yuda
    2026, 30 (12):  2965-2974.  doi: 10.12307/2026.660
    Abstract ( 328 )   PDF (2492KB) ( 288 )   Save
    BACKGROUND: Glucocorticoids can significantly inhibit the expression of proteins related to the phosphatidylinositol 3 kinase (PI3K)/protein kinase B (Akt)/mammalian target of rapamycin (mTOR) signaling pathway in bone microvascular endothelial cells, thereby triggering programmed cell death and necrosis. Glutamine has been shown to activate the PI3K/Akt/mTOR signaling pathway.
    OBJECTIVE: To explore how glutamine regulates the effect of glucocorticoids on the apoptosis of bone microvascular endothelial cells.
    METHODS: Bone microvascular endothelial cells were extracted from the femoral head tissues of Sprague-Dawley rats under aseptic conditions. Passage 3 bone microvascular endothelial cells were cultured for 12 hours and then divided into four groups: the control group was routinely cultured for 24 hours, the glucocorticoid group was cultured with methylprednisolone sodium succinate for 24 hours, the glucocorticoid+glutamine group was cultured with methylprednisolone sodium succinate for 12 hours and then with glutamine for 12 hours, and the glucocorticoid+glutamine+LY294002 group was cultured with methylprednisolone sodium succinate for 12 hours followed by addition of glutamine treatment for 6 hours and the PI3K/Akt signaling pathway inhibitor LY294002 for 6 hours. After culture, cell apoptosis was detected by AO-PI double fluorescence staining and Annexin V/PI double staining by flow cytometry; BCL-2, Bax, PI3K, Akt, mTOR mRNA expression was detected by RT-qPCR; and western blot was used to detect BCL-2, Bax, PI3K, Akt, mTOR, p-PI3K, p-Akt, and p-mTOR protein expression. 
    RESULTS AND CONCLUSION: (1) The apoptosis rate was higher in the glucocorticoid group than in the control group and the glucocorticoid+glutamine group (P < 0.05), and the apoptosis rate was higher in the glucocorticoid+glutamine+LY294002 group than in the glucocorticoid+glutamine group (P < 0.05). (2) BCL-2, PI3K, Akt, mTOR mRNA expression in the glucocorticoid group was lower than that in the control group and glucocorticoid+glutamine group (P < 0.05), and Bax mRNA expression was higher than that in the control group and glucocorticoid+glutamine group (P < 0.05); BCL-2, PI3K, and mTOR expression in the glucocorticoid+glutamine+LY294002 group was lower than that in the glucocorticoid+glutamine group (P < 0.05), and Bax mRNA expression was higher than that in the glucocorticoid+glutamine group (P < 0.05). (3) BCL-2, PI3K, Akt, mTOR, p-PI3K, p-Akt, p-mTOR protein expression in the glucocorticoid group was lower than that in the control group and the glucocorticoid+glutamine group (P < 0.05), and Bax proteins were higher than that in the control group and the glucocorticoid+glutamine group (P < 0.05); BCL-2, PI3K, Akt, mTOR, p-PI3K, p-Akt, p-mTOR protein expression in the glucocorticoid+glutamine+LY294002 group was lower than that in the glucocorticoid+glutamine group (P < 0.05) and Bax protein expression was higher than that in the glucocorticoid+glutamine group (P < 0.05). To conclude, glutamine reduces glucocorticoid-induced apoptosis in bone microvascular endothelial cells through activation of the PI3K/Akt/mTOR signaling pathway.
    Figures and Tables | References | Related Articles | Metrics
    Effect of warm acupuncture combined with platelet-rich plasma injection on gait parameters and joint function recovery of knee osteoarthritis
    Ye Wei, Jiang Dongfu, Zhuang Jielin, Lai Huaxin
    2026, 30 (12):  2975-2985.  doi: 10.12307/2026.687
    Abstract ( 350 )   PDF (2898KB) ( 257 )   Save
    BACKGROUND: Platelet-rich plasma is a platelet concentrate isolated from autologous peripheral blood and contains a variety of bioactive factors that promote tissue repair and regeneration. In recent years, clinical studies on its use treating knee osteoarthritis have increased gradually. The treatment of knee osteoarthritis with warm acupuncture and moxibustion can achieve the synergistic effect of ordinary acupuncture and moxibustion, which can warm and active meridians, promote blood circulation, remove blood stasis, and alleviate pain, as well as warm yang to dispel cold, and replenish qi to promote blood circulation.
    OBJECTIVE: To investigate the effects of warm acupuncture combined with platelet-rich plasma injection on gait parameters and joint function recovery of knee osteoarthritis. 
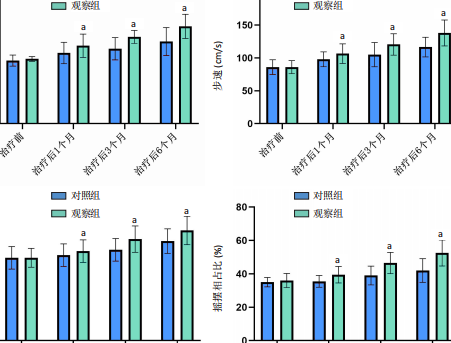
    METHODS: A total of 181 patients with knee osteoarthritis admitted to Sanming Integrated Medicine Hospital from February 2020 to March 2024 were selected as the study objects. According to the treatment methods, they were divided into an observation group (n=96) and a control group (n=85). The control group was given platelet-rich plasma injection therapy, and the observation group was given warm acupuncture combined with platelet-rich plasma injection therapy. After matching at a 1:1 ratio using propensity score matching, each group consisted of 70 cases. The general data, gait parameters, joint function, and occurrence of adverse reactions were compared between the two groups before and after treatment. The generalized estimation equation model was used to analyze gait parameters before and after treatment. The relationship between gait parameters and joint function was analyzed using Logistic regression analysis and correction model. The difference-in-differences model was used to evaluate the therapeutic effect before and after treatment.
    RESULTS AND CONCLUSION: (1) At each time point after treatment, both groups showed significant improvements in step frequency, step speed, step length, and the proportions of stance phase and swing phase compared to pre-treatment, with the observation group outperforming the control group (P < 0.05). (2) Compared with the control group, Western Ontario and McMaster Universities Osteoarthritis Index and visual analog scale scores were significantly decreased in the observation group at each time point after treatment (P < 0.05). In contrast, the scores of Hospital for Special Surgery Score and the modified Barthel Index were significantly increased (P < 0.05). (3) The results of the generalized estimation equation model showed that the treatment method in the observation group had statistically significant effects on step frequency, step speed, step length, and the proportion of supporting phase and swaying phase (P < 0.05). (4) Logistic regression analysis showed that, after adjusting for confounding factors, stride frequency, stride speed, stride length, proportion of supporting phase and swaying phase were closely related to the score of Western Ontario and McMaster Universities Osteoarthritis Index, Hospital for Special Surgery Score, visual analog scale score, and the modified Barthel Index (P < 0.05). (5) The results of the difference-in-differences model showed that the observation group had significant effects on Western Ontario and McMaster Universities Osteoarthritis Index (β=-2.117, P < 0.001), the Hospital for Special Surgery Score (β=3.270, P < 0.001), visual analog scale score (β=-3.105, P < 0.001), and the modified Barthel Index (β=2.774, P < 0.001), with all indicators showing superior outcomes compared with the control group. (6) The incidence of adverse reactions was 6% in the observation group and 9% in the control group, with no statistically significant difference between the two groups (P > 0.05). Overall, warm acupuncture combined with platelet-rich plasma injection therapy can effectively improve the joint function and gait parameters in patients with knee osteoarthritis, making it more valuable in promoting functional recovery in these patients.

    Figures and Tables | References | Related Articles | Metrics
    Risk factors of anterolateral ligament injury following anterior cruciate ligament injury
    Cai Yifan, Yan Zhenxing, Yan Pengan, Zhang Zheng, Teng Yuanjun, Geng Bin, Xia Yayi
    2026, 30 (12):  2986-2993.  doi: 10.12307/2026.666
    Abstract ( 239 )   PDF (7478KB) ( 30 )   Save
    BACKGROUND: Anterior cruciate ligament reconstruction is the standard treatment for anterior cruciate ligament injuries; however, residual rotational instability persists postoperatively. While combined anterolateral ligament reconstruction is increasingly advocated to address this issue, the etiological risk factors for concomitant anterolateral ligament injuries remain poorly defined, limiting early diagnosis, surgical decision-making, and prevention of secondary meniscal/ligamentous injuries.
    OBJECTIVE: To identify the risk factors for concomitant anterolateral ligament injuries in patients with anterior cruciate ligament injury.
    METHODS: This retrospective study analyzed 300 patients diagnosed arthroscopically with non-contact anterior cruciate ligament injuries (January 2023 to January 2024). Based on preoperative magnetic resonance imaging, 41 patients with anterolateral ligament injuries were included as the injury group and 1:2 matched with 82 controls (no anterolateral ligament injury). Anatomical parameters were assessed via magnetic resonance imaging, including femoral notch width, bicondylar width, notch width index, medial tibial depth, static anterior tibial subluxation, lateral tibial slope, medial tibial slope, and meniscal/collateral ligament status. Multivariate logistic regression and simple effects analysis were used to evaluate risk factors and synergistic interactions.
    RESULTS AND CONCLUSION: Compared with the control group, the anterolateral ligament injury group exhibited significantly higher rates of lateral meniscal tears (P < 0.001), greater static anterior tibial subluxation (P=0.009), and increased lateral tibial slope (P=0.042). Multivariate Logistic analysis confirmed lateral meniscal injury [odds ratio (OR)=7.36; 95% confidence interval (CI): 2.78–19.48; P < 0.001), static anterior tibial subluxation (OR=1.16; 95% CI: 1.03–1.29; P=0.008), and lateral tibial slope (OR=1.13; 95% CI: 1.01–1.27; P=0.040) as independent risk factors. Simple effects analysis showed that a synergistic effect between lateral meniscal injury and lateral tibial slope was observed at 4° < lateral tibial slope ≤ 10° (P=0.007) and lateral tibial slope > 10° (P < 0.001). To conclude, lateral meniscal injury, elevated lateral tibial slope, and static anterior tibial subluxation are independent risk factors for concomitant anterolateral ligament injuries in anterior cruciate ligament-deficient knees, with synergistic interactions between elevated lateral tibial slope and lateral meniscal injury. 
    Figures and Tables | References | Related Articles | Metrics
    GJK Tablets intervene in cartilage homeostasis to protect articular cartilage of mice with knee osteoarthritis
    Li Yijin, Li Jiahao, Zhang Haitao, Huang Yiwei, Chen Jinlun, Zeng Yirong, Feng Wenjun
    2026, 30 (12):  2994-3004.  doi: 10.12307/2026.661
    Abstract ( 294 )   PDF (4367KB) ( 141 )   Save
    BACKGROUND: Previous studies have found that GJK Tablets can improve joint pain and function in patients with knee osteoarthritis, but the specific mechanism remains unclear.
    OBJECTIVE: To explore the mechanism underlying the chondroprotective effect of GJK Tablets in a mouse model of knee osteoarthritis.
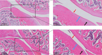
    METHODS: Network pharmacology was used to obtain the common targets of GJK Tablets and cartilage homeostasis, and a protein-protein interaction network was constructed. Key signaling pathways were screened through gene ontology analysis and Kyoto Encyclopedia of Genes and Genomes enrichment analysis. Experimental mice were randomly divided into a control group, a model group, low-, medium-, and high-dose GJK Tablet groups, and a positive drug group (glucosamine hydrochloride capsules). In the latter five groups, the modified Hulth method was used to establish the mouse model of knee osteoarthritis. In the control group, only the relevant tissues of mice were exposed but the ligaments and menisci were not removed. After modeling, the low, medium-, and high-dose groups were intragastrically administered with 187.5, 375, and 750 mg/kg GJK Tablet suspension, respectively. The positive drug group was intragastrically administered with 187.5 mg/kg glucosamine hydrochloride suspension. The model group and the control group were intragastrically administered with an equal volume of normal saline. The administration was carried out every other day for 8 weeks. After the intragastric administration, the pathological morphology of the knee joint cartilage of the mice was observed by hematoxylin-eosin and safranin O-fast green staining, and the Osteoarthritis Research Society International (OARSI) score for the cartilage was evaluated. The protein expressions of SRY-Box transcription factor 9 (Sox9), type II collagen, and matrix metalloproteinase 13 in the mouse cartilage tissue were detected by immunohistochemical staining.
    RESULTS AND CONCLUSION: (1) A total of 140 intersection targets of GJK Tablets and cartilage homeostasis were obtained, and Sox9 was one of the targets. (2) Gene ontology analysis and Kyoto Encyclopedia of Genes and Genomes enrichment analysis showed that the main signaling pathways involved were cancer-related pathways, hypoxia-inducible factor 1, MAPK, PI3K/Akt, nuclear factor κB, transforming growth factor β and other signaling pathways. (3) The results of hematoxylin-eosin staining and safranin O-fast green staining showed that compared with the control group, the cartilage contour in the model group was deformed, the defect was stratified, the number of chondrocytes was significantly reduced, the tidemark was blurred, and the OARSI score was higher. Compared with the model group, the cartilage surface in the low-, medium-, and high-dose GJK Tablet groups was more intact, the cartilage thickness and the number of chondrocytes were increased, the tidemark was clearer, and the OARSI scores were significantly decreased. (4) The immunohistochemical results indicated that compared with the control group, the protein expressions of Sox9 and type II collagen in the model group were significantly decreased, and the expression of matrix metalloproteinase 13 was significantly increased (P < 0.01). Compared with the model group, the expression of matrix metalloproteinase 13 in the low-, medium-, and high-dose GJK Tablet groups was significantly decreased (P < 0.01). The positive expressions of Sox9 and type II collagen in the medium- and high-dose GJK Tablet groups were significantly increased (P < 0.01), and the positive expressions showed an increasing trend from the low-dose group to the high-dose group (P < 0.01). To conclude, GJK Tablets can intervene in cartilage homeostasis by regulating Sox9, playing a chondroprotective role in knee osteoarthritis. Signaling pathways such as hypoxia-inducible factor 1, MAPK, PI3K/Akt, nuclear factor κB, and transforming growth factor β may be the main pathways through which GJK Tablets intervene in cartilage homeostasis. 
    Figures and Tables | References | Related Articles | Metrics
    Remimazolam inhibits chondrocyte senescence and alleviates osteoarthritis: roles and mechanisms
    Ke Yanqin, Yuan Jie, He Guanghui, Zhang Xiaoling
    2026, 30 (12):  3005-3013.  doi: 10.12307/2026.677
    Abstract ( 286 )   PDF (2747KB) ( 71 )   Save
    BACKGROUND: The development of medications that can stop or even reverse the degeneration of articular cartilage has long been a significant scientific concern. Researchers have recently become interested in cell senescence and focused on regulatory techniques.
    OBJECTIVE:
    To explore the regulatory mechanism of remimazolam on chondrocyte senescence in mice, and assess its therapeutic efficacy and mechanism of action in osteoarthritis.
    METHODS: (1) In vitro cell experiment: After primary chondrocytes were isolated and cultivated, chondrocyte models of osteoarthritis were induced in vitro using 10 ng/mL interleukin-1β. The optimal intervention concentration of remimazolam on mouse chondrocytes was detected using the cell counting kit-8 assay. Three groups were set up in the experiment: normal control, interleukin-1β, and remimazolam groups. Twenty-four hours after intervention, western blot, immunofluorescence staining, and β-galactosidase assays were used to detect the synthesis and catabolism protein indicators, senescence protein indicators, and nuclear factor-κB signaling pathway-related indicators in mouse chondrocytes. (2) In vivo animal experiment: C57/BL6 mice aged 8 weeks were randomized into three groups: the sham group, the medial meniscus instability group, and the remimazolam group. Following 4 weeks of remimazolam treatment, gait analysis in mice was performed. Pathological changes in the articular cartilage were observed using safranine O-fast green staining. Immunofluorescence staining was used to detect the expression levels of type II collagen and matrix metalloproteinase 13.
    RESULTS AND CONCLUSION: (1) In vitro cell experiment: Compared with the interleukin-1β group, interleukin-1β-induced chondrocytes treated with 60 μmol/L remimazolam exhibited a significant decrease in the expression levels of the senescence markers P16 and P21, an increase in the expression of anabolic markers type II collagen and aggrecan, a decrease in the expression of catabolic markers matrix metalloproteinase 3 and matrix metalloproteinase 13, and inhibition of the nuclear-κB signaling pathway. (2) In vivo animal experiment: After 4 weeks of treatment with remimazolam, the mice in the remimazolam group showed recovered lower limb function, improved histopathological scores, increased expression of type II collagen, decreased expression of matrix metalloproteinase 13 compared with those in the medial meniscus instability group. To conclude, by blocking the nuclear factor-κB signaling pathway, remimazolam alleviates chondrocyte senescence and enhances cartilage structure, offering a novel approach to treating osteoarthritis.
    Figures and Tables | References | Related Articles | Metrics
    Effect and mechanism of dichloromethane extract of fresh Sambucus adnata Wall. in rat osteoarthritis models
    Lu Yuchun, Zhu Zimo, Li Chaomeng, Liu Ju, Jiang Zixian, Li Xiufang, Wang Tao, Wang Wenjing
    2026, 30 (12):  3014-3028.  doi: 10.12307/2026.712
    Abstract ( 257 )   PDF (20424KB) ( 65 )   Save
    BACKGROUND: The previous study conducted by the research group demonstrated that the methanol and dichloromethane extract of fresh Sambucus adnata Wall. (fSAW-DCE) exhibits anti-inflammatory, anti-oxidation, anti-angiogenesis properties, and shows significant anti-osteoarthritis activity.
    OBJECTIVE: To investigate the protective effects and underlying mechanisms of fSAW-DCE on osteoarthritis.
    METHODS: (1) The rat osteoarthritis model was replicated by anterior cruciate ligament transection. Following the operation, fSAW-DCE was administered intragastrically for a duration of 6 weeks. The concentration of tumor necrosis factor-α in the joint lavage fluid was evaluated. Hematoxylin-eosin staining was employed to observe the pathological changes of the articular cartilage, and the degree of mineralization of the cartilage was quantified. Micro-CT was used for imaging examination of osteophyte proliferation and changes in bone mass of the subchondral bone. (2) Insulin, transferrin, sodium selenite, and vitamin C were used to differentiate the mouse embryonic tumor cell line ATDC5 into chondrocytes. The chondrocyte inflammation model was replicated by interleukin-1β stimulation. Following this, the cells were treated with fSAW-DCE. The content of tumor necrosis-α in the cell supernatant was detected by ELISA kit, and the expression of Aggrecan and type II collagen mRNA was detected by RT-qPCR. (3) Transcriptome sequencing method was used to detect the differential genes after fSAW-DCE intervention in the ATDC5 cell inflammatory model, and to explore its mechanism.
    RESULTS AND CONCLUSION: (1) fSAW-DCE demonstrated the capacity to suppress joint inflammation, decrease the level of tumor necrosis factor-α in the joint fluid (P < 0.05), retard mineralization of the articular cartilage (P < 0.05), mitigate cartilage injury, and maintain subchondral bone volume (P < 0.05). (2) fSAW-DCE could alleviate inflammation in ATDC5 chondrocytes induced by interleukin-1β (P < 0.05) and preserve the mRNA expression of type II collagen in the extracellular matrix of chondrocytes (P < 0.05). (3) Transcriptome sequencing and subsequent verification indicated that the anti-osteoarthritis effects of fSAW-DCE may be associated with inhibiting the tumor necrosis factor/nuclear factor-κB signaling pathway. 
    Figures and Tables | References | Related Articles | Metrics
    Aerobic and resistance exercise interventions in a mouse model of nonalcoholic fatty liver disease: correlation between gut microbiota and irisin
    Wu Fangjia, Lei Senlin, Li Xianhui, Yang Yang
    2026, 30 (12):  3029-3043.  doi: 10.12307/2026.656
    Abstract ( 318 )   PDF (5413KB) ( 736 )   Save
    BACKGROUND: Nonalcoholic fatty liver disease is a liver disease with abnormal accumulation of lipid in hepatocytes and inflammatory response. Aerobic exercise can regulate the homeostasis of intestinal microenvironment, and then alleviate inflammatory response and improve nonalcoholic fatty liver disease through the "microbiotic-gut-liver" axis. However, it is unclear whether the motility factor irisin mediates the regulation of the gut microbiota, and whether different exercise methods such as resistance exercise can also improve nonalcoholic fatty liver disease through the above mechanism has not been reported.
    OBJECTIVE: To study the effects of different exercise methods on inflammatory response in mice with nonalcoholic fatty liver disease, and to explore the correlation between gut microbiota and inflammatory response and exercise factor irisin.
    METHODS: After adaptive feeding for 1 week, 48 C57BL/6J mice were randomly divided into a control group (n=12) and a high-fat diet group (n=36). The mice in the control group were fed with normal diet, while in the high-fat diet group, nonalcoholic fatty liver disease models were induced by feeding with 60% fat diet for 12 weeks. The successful model mice were randomly subdivided into high-fat group, aerobic exercise group and resistance exercise group, and the intervention continued in the latter two groups for 8 weeks. During the intervention, the high-fat group, aerobic exercise group and resistance exercise group were fed with high-fat diet until the end of the experiment. 16S rRNA gene sequencing was used to analyze the composition of gut microbiota in each group, hematoxylin-eosin staining was used to observe the steatosis score of hepatocytes in each group, and microplate method was used to detect blood lipids and liver function related indicators in each group. Western blot assay was used to detect the protein expression levels of nucleotide-binding oligomerization domain-like receptor protein 3, nuclear factor-κB, interleukin-1β, tumor necrosis factor-α and irisin in the liver of mice in each group.
    RESULTS AND CONCLUSION: (1) Compared with the control group, mice in the high-fat group exhibited significant increases in serum total cholesterol, triglycerides, and low-density lipoprotein (P < 0.05), while high-density lipoprotein levels were significantly decreased (P < 0.05). The indicators of exercise capacity, namely grip strength and anti-fatigue ability, deteriorated (P < 0.05). The mouse liver showed a large number of vacuoles and inflammatory cell infiltration (P < 0.05). The protein expression of nucleotide-binding oligomerization domain-like receptor protein 3, nuclear factor-κB, interleukin-1β, and tumor necrosis factor-α was significantly upregulated (P < 0.05), while irisin protein expression was significantly downregulated (P < 0.01). (2) Compared with the high-fat group, both aerobic exercise and resistance exercise significantly improved the aforementioned physiological indicators, reducing serum total cholesterol, triglycerides, and low-density lipoprotein levels (P < 0.05) while upregulating high-density lipoprotein levels (P < 0.05). These interventions also reduced liver vacuoles and inflammatory cell infiltration, enhanced exercise capacity (P < 0.05), downregulated the protein expression of nucleotide-binding oligomerization domain-like receptor protein 3, nuclear factor-κB, interleukin-1β, and tumor necrosis factor-α (P < 0.05), and promoted irisin protein expression (P < 0.05). The improvement effects of aerobic exercise were more pronounced. (3) Microbiota α-diversity analysis revealed significant differences in the sobs, chao, and coverage indices among the four groups (P < 0.05). Compared with the control group, the sob and chao indices in the high-fat group were significantly decreased (P < 0.05), while the coverage index was significantly increased (P < 0.05). β-diversity analysis showed significant separation between the control group and the other three groups at both the operational taxonomic unit and genus levels (P < 0.01). At the phylum level, the Firmicutes/Bacteroidota ratio was significantly higher in the high-fat and resistance exercise groups than in the control group (P < 0.01), but was significantly reduced in the aerobic exercise group compared with the control group (P < 0.01). Differential microbiota analysis indicated that aerobic exercise could adjust the increased abundance of Escherichia-Shigella and Leuconostoc in the high-fat group (P < 0.05). (4) Correlation analysis showed a highly significant negative correlation between irisin and Escherichia-Shigella. To conclude, compared with resistance exercise, aerobic exercise can more effectively improve peripheral lipid metabolic disorders, enhance exercise capacity, inhibit the activation of the nuclear factor-κB/nucleotide-binding oligomerization domain-like receptor protein 3 inflammatory signaling pathway, and reshape the gut microbiota composition. Moreover, under the pathological background of fatty liver, the anti-inflammatory effects of irisin may be related to changes in the gut microbiota composition.
    Figures and Tables | References | Related Articles | Metrics
    Mechanism of multi-target intervention of the active ingredient of Allii Tuberosi Semen in rats with oligoasthenozoospermia
    Jiang Huanhuan, Mu Sheng, Ma Wenxin, Liu Chang, Liu Ziyu, Pu Jing, Zhu Xiangdong, Hui Hong, Ma Huiming
    2026, 30 (12):  3044-3057.  doi: 10.12307/2026.665
    Abstract ( 327 )   PDF (7505KB) ( 35 )   Save
    BACKGROUND: Current therapeutic measures for oligoasthenozoospermia remain limited, while botanical herbal medicines with minimal adverse reactions and abundant sources provide novel insights and approaches for the treatment of oligoasthenozoospermia.
    OBJECTIVE: To investigate the mechanism of Allii Tuberosi Semen in improving spermatogenesis and quality in a rat model of oligoasthenozoospermia induced by tripterygium glycoside tablets using network pharmacology, and to conduct experimental verification.
    METHODS: This study integrated network pharmacology and bioinformatics approaches to systematically investigate the molecular mechanisms underlying the therapeutic effects of Allii Tuberosi Semen intervention in the rat model of oligoasthenozoospermia induced by tripterygium glycoside. Specifically, active ingredient targets of Allii Tuberosi Semen and oligoasthenozoospermia-associated disease targets were identified through cross-database screening (TCMSP, Genecards, etc.), followed by Venn intersection analysis to pinpoint core therapeutic targets. The drug-component-target-disease network was constructed by Cytoscape, the protein-protein interaction network was constructed in combination with the STRING database, and the top 10 core targets were screened based on topological parameters. DAVID was used to analyze the enrichment of gene ontology function and Kyoto Encyclopedia of Genes and Genomes pathway, revealing that Allii Tuberosi Semen played a therapeutic role by regulating the phosphatidylinositol 3-kinase/protein kinase B (PI3K-AKT) signaling pathway, and CB-Dock2 was used to calculate the kinetic binding energy by molecular docking. Animal experiments were conducted to further verify the mechanism by which Allii Tuberosi Semen improves spermatogenesis and sperm quality in the rat model of oligoasthenozoospermia induced by tripterygium glycoside.
    RESULTS AND CONCLUSION: (1) Network pharmacology analysis revealed that Allii Tuberosi Semen contain 16 bioactive compounds, with 1 095 disease-associated targets identified through systematic screening. (2) The protein-protein interaction network screened out 10 core targets. (3) Gene ontology function and Kyoto Encyclopedia of Genes and Genomes pathway analyses demonstrated significant enrichment in the PI3K/AKT signaling pathway. (4) Molecular docking analysis was performed between key targets of the PI3K/AKT signaling pathway (serine kinase 1, B lymphoblastoma 2 protein, interleukin 6, epidermal growth factor receptor, and glycogen synthase kinase 3β) and the bioactive compounds quercetin, kaempferol, and linoleic acid. (5) Animal experiments demonstrated that treatment with Allii Tuberosi Semen significantly improved testicular weight, sperm count, and the proportion of sperm with progressive motility in the rat model of oligoasthenospermia. It effectively ameliorated histopathological manifestations in the testes and modulated the expression of phosphorylated PI3K, phosphorylated AKT, and B lymphoblastoma 2 protein, resulting in a significant reduction in the testicular tissue apoptosis rate. These findings suggest that Allii Tuberosi Semen may improve spermatogenesis and sperm quality in the tripterygium glycoside-induced oligoasthenospermia rat model by regulating the PI3K/AKT pathway.
    Figures and Tables | References | Related Articles | Metrics
    Mechanism by which andrographolide intervenes in insulin resistance in rats with gestational diabetes mellitus 
    Wang Peng, Lu Huan, Liu Haifeng, Li Feng
    2026, 30 (12):  3058-3065.  doi: 10.12307/2026.662
    Abstract ( 266 )   PDF (1881KB) ( 148 )   Save
    BACKGROUND: Gestational diabetes mellitus may cause embryonic dysplasia and fetal malformations, which seriously threaten the health of fetus and pregnant women; however, there is no perfect treatment measures. Andrographolide reduces blood glucose level, insulin resistance and oxidative stress, and attenuates nerve damage in diabetic rats.
    OBJECTIVE: To investigate the effect of andrographolide on insulin resistance in gestational diabetes mellitus rats. 
    METHODS: Fifty female Sprague-Dawley rats were enrolled. Animal models of gestational diabetes mellitus were established by high-fat feed combined with intraperitoneal injection of streptozotocin. Forty rats with successful modeling were selected and randomly divided into four intervention groups by using the randomized numerical table method: saline gavage was given to the model group (n=10), and 2.5 mg/kg andrographolide was given to the low-dose andrographolide group (n=10), and 5 mg/kg andrographolide was given to the high-dose andrographolide group (n=10), and intragastric injection of 5 mg/kg andrographolide and peritoneal injection of janus kinase 2/signal transducer and activator of transcription 3 (JAK2/STAT3) signaling pathway activator Colivelin were given to the high-dose andrographolide+Colivelin group (n=10). The administration was given once a day, for 2 continuous weeks. Another 10 pregnant Sprague-Dawley rats were taken as the control group and given saline by gavage once a day for 2 weeks. After administration, body mass, fasting blood glucose and insulin levels, insulin resistance index and serum inflammatory factors (interleukin 6, tumor necrosis factor α, interleukin 1β), blood lipid levels, pancreatic tissue superoxide dismutase, peroxidase and malondialdehyde levels were detected in each group. The morphology of pancreatic tissue was observed by hematoxylin-eosin staining. Western blot was used to detect Bcl-2, Bax, cysteine proteinase 3, JAK2/STAT3 signaling pathway protein expression in pancreatic tissue.
    RESULTS AND CONCLUSION: (1) Compared with the control group, in the model group, the pancreatic tissue structure of rats was significantly damaged, and the body mass, fasting blood glucose and insulin levels, insulin resistance index, levels of serum inflammatory factors, triglyceride, total cholesterol, low-density lipoprotein cholesterol, and malondialdehyde, and protein expression levels of Bax, cysteine protease 3, p-JAK2/JAK2, and p-STAT3/STAT3 increased, while the levels of serum high-density lipoprotein cholesterol and superoxide dismutase, peroxidase activity, and Bcl-2 protein expression decreased (P < 0.05). (2) Compared with the model group, the above indexes were significantly improved in both the high-and low-dose andrographolide groups, and the improvement was more significant in the high-dose andrographolide group. Peritoneal injection of Colivelin could partially reverse the improvement effect of andrographolide on insulin resistance of rats with gestational diabetes mellitus. To conclude, andrographolide can reduce blood glucose, insulin resistance, inflammation, and oxidative stress in rats with gestational diabetes mellitus, improve blood glucose metabolism and pancreatic tissue damage, which may be related to the inhibition of the JAK2/STAT3 signaling pathway.
    Figures and Tables | References | Related Articles | Metrics
    Analysis of upper limb motor function and brain function immediately and 3 weeks after transcranial direct current stimulation
    Hou Bing, Zhao Hongfei, Che Pengcheng, Wang Ziyi, Gao Zan, Chen Linyu, Wang Jinzhi, Dou Na
    2026, 30 (12):  3066-3074.  doi: 10.12307/2026.667
    Abstract ( 300 )   PDF (1935KB) ( 421 )   Save
    BACKGROUND: In stroke patients, cerebral neurological deficits can further lead to upper limb motor dysfunction, and the recovery of cerebral and upper limb motor functions plays an important role in improving the ability of daily living. Although studies have investigated the immediate effects of a single transcranial direct current stimulation on the electrical activity of the brain in stroke patients, the therapeutic effects of short-term transcranial direct current stimulation need to be further explored.
    OBJECTIVE: To evaluate the effects of transcranial direct current stimulation on upper limb motor function and brain function in stroke patients immediately and after 3 weeks of intervention.
    METHODS: A total of 30 patients with hemiplegia after ischemic stroke were recruited and randomly divided into an experimental group (n=15) and a control group (n=15). The experimental group received bipolar transcranial direct current stimulation on the basis of conventional rehabilitation, while the control group received pseudo-transcranial direct current stimulation. Treatments in each group lasted for 3 weeks. The Fugl-Meyer rating scale for the upper limb, the Wolf Motor Function Test and resting-state electroencephalography were performed before the intervention, after the first intervention and after 3 weeks of intervention.
    RESULTS AND CONCLUSION: (1) There was no significant change in the control group immediately after intervention compared with before intervention, while the Fugl-Meyer rating scale score in the experimental group increased immediately after intervention (P < 0.05). (2) After 3 weeks of intervention, the Fugl-Meyer rating scale score, Wolf Motor Function Test score and electroencephalography frequency band changes were significantly improved in the two groups, and the improvement effect in the experimental group was more obvious (P < 0.05). (3) Correlation analysis showed that the difference between Fugl-Meyer rating scale and Wolf Motor Function Test scores before and after treatment in the experimental group was negatively correlated with the average brain power of δ (r=-0.716 and r=-0.546, respectively), and positively correlated with the average brain power of α (r=0.520 and r=0.669, respectively). To conclude, the addition of bipolar transcranial direct current stimulation to conventional rehabilitation treatment could effectively improve the brain function and upper limb motor function of patients with ischemic stroke. Improvement in upper limb motor function is associated with a tendency toward normalization of brain function recovery.
    Figures and Tables | References | Related Articles | Metrics
    Early intelligent active assistance in walking for hemiplegic patients under suspension protection: #br# a randomized controlled trial
    Ma Shanxin, Zheng Jianling, Cheng Jian, Lin Xi, Li Qiuyuan, Wang Li, Zeng Yangkang, Song Luping
    2026, 30 (12):  3075-3082.  doi: 10.12307/2026.664
    Abstract ( 337 )   PDF (1844KB) ( 73 )   Save
    BACKGROUND: Hemiplegia, a prevalent stroke-related condition, is often studied for motor dysfunction; however, spasticity remains under-researched. Abnormal muscle tone significantly hinders hemiplegic patients’ walking recovery.
    OBJECTIVE: To determine whether early suspension-protected training with a personal assistant machine for stroke patients enhances walking ability and prevents muscle spasms.
    METHODS: Thirty-two early-stage stroke patients from Shenzhen University General Hospital and the China Rehabilitation Research Center were randomly assigned to the experimental group (n=16) and the control group (n=16). Both groups underwent 4 weeks of gait training under the suspension protection system for 30 minutes daily, 5 days a week. The experimental group used the personal assistant machine during training. Three-dimensional gait analysis (using the Cortex motion capture system), Brunnstrom staging, Fugl-Meyer Assessment for lower limb motor function, Fugl-Meyer balance function, and the modified Ashworth Scale were evaluated within 1 week before the intervention and after 4 weeks of intervention.
    RESULTS AND CONCLUSION: After the 4-week intervention, all outcome measures showed significant changes in each group. The experimental group had a small but significant increase in the modified Ashworth Scale score (P < 0.05, d=|0.15|), while the control group had a large significant increase (P < 0.05, d=|1.48|). The experimental group demonstrated greater improvements in walking speed (16.5 to 38.44 cm/s, P < 0.05, d=|4.01|), step frequency (46.44 to 64.94 steps/min, P < 0.05, d=|2.32|), stride length (15.50 to 29.81 cm, P < 0.05, d=|3.44|), and peak hip and knee flexion (d=|1.82| to |2.17|). After treatment, the experimental group showed significantly greater improvements than the control group in walking speed (38.44 vs. 26.63 cm/s, P < 0.05, d=|2.75|), stride length, peak hip and knee flexion (d=|1.31| to |1.45|), step frequency (64.94 vs. 59.38 steps/min, P < 0.05, d=|0.85|), and a reduced support phase (bilateral: 24.31% vs. 28.38%, P < 0.05, d=|0.88|; non-paretic: 66.19% vs. 70.13%, P < 0.05, d=|0.94|). For early hemiplegia, personal assistant machine-assisted gait training under the suspension protection system helps establish a correct gait pattern, prevents muscle spasms, and improves motor function. 
    Figures and Tables | References | Related Articles | Metrics
    Mechanism of depression with insomnia mediated by the locus coeruleus-norepinephrine system: an assessment based on resting-state functional magnetic resonance imaging
    Li Zhongxian, Jiao Zitong, Ren Hanyue, Zhang Pan, Peng Min, Huang Yingxin, Li Mengyao, Hu Yuechen, Liang Junquan, Yan Luda, Fu Wenbin, Zhou Peng
    2026, 30 (12):  3083-3090.  doi: 10.12307/2026.708
    Abstract ( 329 )   PDF (1933KB) ( 323 )   Save
    BACKGROUND: Studies have found that patients with depression have lower levels of norepinephrine in their peripheral blood, and patients with insomnia have norepinephrine metabolism disorders, suggesting that abnormalities in the function of the locus coeruleus-norepinephrine system may be the neurobiological basis for the comorbidity of depression and insomnia.
    OBJECTIVE: Using functional magnetic resonance imaging (fMRI) to observe the functional connectivity of the brainstem locus coeruleus in patients with comorbid depression and insomnia under resting-state conditions and to investigate the potential mechanisms underlying the comorbidity by examining the relationship with peripheral norepinephrine levels. 
    METHODS: From March 2023 to September 2024, 60 patients with comorbid depression and insomnia were recruited from Bao’an Traditional Chinese Medicine Hospital in Shenzhen and the general public (patient group), and 30 healthy controls were recruited during the same period (healthy control group). At baseline, the Hamilton Depression Rating Scale (HAMD-17), Self-Rating Depression Scale (SDS), Pittsburgh Sleep Quality Index (PSQI), and Insomnia Severity Index (ISI) were used to assess the participants' depression status and sleep quality. Resting-state fMRI was used to examine the functional connectivity of the brainstem locus coeruleus, and peripheral serum norepinephrine levels were measured using the enzyme-linked immunosorbent assay. Intergroup comparisons were made for all indicators, and a Pearson correlation analysis was conducted between significantly different functional connectivity regions, peripheral serum norepinephrine levels, and clinical scale scores. 
    RESULTS AND CONCLUSION: (1) The HAMD-17, SDS, PSQI, and ISI scores were all higher in the patient group than in the control group (P < 0.05). The functional connectivity values between the left locus coeruleus and left precuneus, as well as between the left locus coeruleus and left inferior parietal lobule, were significantly lower in the patient group than the control group (P < 0.05). Peripheral serum norepinephrine levels were also significantly lower in the patient group than the control group (P < 0.05). Pearson correlation analysis revealed a positive correlation between peripheral serum norepinephrine levels and the functional connectivity values of the left locus coeruleus with the left precuneus and left inferior parietal lobule (r=0.40, P < 0.01; r=0.36, P < 0.01), as well as a negative correlation between peripheral serum norepinephrine levels and HAMD-17 (r=-0.42, P < 0.01) and PSQI scores (r=-0.46, P < 0.01). Moreover, the functional connectivity values of the left locus coeruleus with the left precuneus were negatively correlated with HAMD-17 (r=-0.41, P < 0.01) and PSQI scores (r=-0.44, P < 0.01), and the functional connectivity values of the left locus coeruleus with the left inferior parietal lobule were also negatively correlated with HAMD-17 (r=-0.29, P < 0.01) and PSQI scores (r=-0.36, P < 0.01). To conclude, the reduction in functional connectivity of the left locus coeruleus with the left precuneus and left inferior parietal lobule, as well as decreased peripheral serum norepinephrine levels, is closely associated with the exacerbation of depression and insomnia symptoms. This suggests that dysregulation of the locus coeruleus-norepinephrine system may mediate the mechanisms underlying comorbid depression and insomnia by affecting the functional connectivity of the brain's default mode network, including the left precuneus and left inferior parietal lobule.
    Figures and Tables | References | Related Articles | Metrics
    Mechanism of programmed cell death mediated by total flavonoids of Rhizoma Drynariae
    Han Yapeng, Gao Jun, Niu Yunwei, Deng Enjia
    2026, 30 (12):  3091-3099.  doi: 10.12307/2026.723
    Abstract ( 396 )   PDF (2423KB) ( 86 )   Save
    BACKGROUND: The programmed death of bone-related cells is closely related to common clinical bone-associated diseases such as osteoporosis and osteoarthritis, and the total flavonoids of Rhizoma Drynariae has been identified to be used to regulate the programmed death of bone-related cells and is characterized by multi-target regulation and low toxicity.
    OBJECTIVE: To review the research progress on the mechanism by which the total flavonoids of Rhizoma Drynariae regulates bone-related cell programmed death.
    METHODS: Relevant articles were searched by the first author in CNKI, VIP, PubMed, and Web of Science databases, and the search terms used were “total flavonoids of Rhizoma Drynariae, naringin, naringenin, luteolin, kaempferol, programmed death, bone, cell” in both English and Chinese. According to inclusion and exclusion criteria, 72 papers were finally included for review.
    RESULTS AND CONCLUSION: By affecting various signaling pathways and molecular expressions such as phosphatidylinositol 3-kinase/protein kinase B, Wnt/β-catenin, and silent information regulator 3/forkhead box protein O3a, total flavonoids of Rhizoma Drynariae can reduce the mortality of mesenchymal stem cells, osteoblasts and chondrocytes, increase the mortality of osteoclasts, and correct  bone homeostasis imbalance and cartilage degeneration, which provides a new perspective for the treatment of bone-related diseases. In the future, we can integrate different omics and sequencing technologies to systematically analyze the molecular network through which the total flavonoids of Rhizoma Drynariae regulate programmed cell death of bone-related cells, and explore the multi-target and multi-pathway therapeutic mechanisms of total flavonoids of Rhizoma Drynariae, providing new ideas and methods for the treatment of bone-related diseases.
    Figures and Tables | References | Related Articles | Metrics
    Regulatory mechanism of leptin in bone metabolism
    Sun Long, Wu Haiyang, Tong Linjian, Liu Rui, Yang Weiguang, Xiao Jian, Liu Lice, Sun Zhiming
    2026, 30 (12):  3100-3108.  doi: 10.12307/2026.736
    Abstract ( 382 )   PDF (1372KB) ( 84 )   Save
    BACKGROUND: Recent studies have revealed that leptin participates in bone metabolism regulation through complex multidimensional mechanisms involving the central nervous system, peripheral direct actions, and the “gut-bone axis.” 
    OBJECTIVE: To systemically review the latest research advances in leptin-mediated bone metabolism regulation.
    METHODS: A systematic literature search was conducted in databases including PubMed and CNKI, covering publications up to April 2025. The search terms included “leptin, leptin receptor, bone metabolism, osteoblasts, osteoclasts, gut microbiota, osteoporosis” in English and Chinese, respectively. According to the inclusion criteria, a total of 80 articles were included for review.
    RESULTS AND CONCLUSION: Leptin directly promotes osteogenic differentiation of bone marrow mesenchymal stem cells while inhibiting adipogenesis, a process closely linked to vitamin D metabolism. The newly identified second ligand of the leptin receptor, angiopoietin-like protein 4, drives heterotopic ossification, explaining the unique phenotypes observed in leptin receptor mutation models. Histone deacetylase 6 enhances leptin sensitivity by modulating receptor acetylation. Gut microbiota regulates leptin levels via short-chain fatty acids, and fecal microbiota transplantation from young donors increases bone mass in aged osteoporotic models. Leptin exhibits distinct central and peripheral effects: it inhibits trabecular bone formation via the hypothalamus while directly promoting cortical bone mineralization. These discoveries provide novel insights for developing multi-system therapeutic strategies targeting the “gut-brain-bone” axis. Future research should focus on resolving key challenges such as leptin resistance mechanisms and central delivery efficiency to advance precision medicine for metabolic bone diseases.
    Figures and Tables | References | Related Articles | Metrics
    Impact of metal exposure on neurodegenerative diseases: advances in understanding neurotoxicological mechanisms
    Liu Zhen, Zhou Jing, Yang Dan, Liu Wan, Zhao Yan, Luo Yujun, Cao Biwei
    2026, 30 (12):  3109-3126.  doi: 10.12307/2026.735
    Abstract ( 452 )   PDF (8166KB) ( 196 )   Save
    BACKGROUND: Metal exposure has been closely linked to the onset and progression of neurodegenerative diseases.
    OBJECTIVE: To systematically and comprehensively elucidate the impact of metal exposure on neurodegenerative diseases and summarize the neurotoxicological mechanisms underlying metal exposure-induced neurodegeneration.
    METHODS: The first author conducted a computerized search of CNKI, Web of Science, and PubMed databases for literature published up to February 2025. The search terms were “Metal exposure, Manganese, Iron, Zinc, Copper, Cadmium, Lead, Aluminum, Neurodegenerative diseases, Alzheimer’s disease, Parkinson’s disease, Multiple sclerosis, Amyotrophic lateral sclerosis, Huntington’s disease” in Chinese and English. According to the inclusion criteria, a total of 204 articles were ultimately included for review and analysis.
    RESULTS AND CONCLUSION: (1) Exposure to manganese systematically drives neurodegenerative processes via mitochondrial oxidative stress, neuroinflammatory responses, and protein homeostasis disruption. (2) Iron-induced abnormal free iron accumulation triggers mitochondrial dysfunction, proteostasis imbalance, neuroinflammation, and epigenetic dysregulation. The inflammatory microenvironment induced by neuroinflammation exacerbates iron accumulation, leading to neuronal apoptosis, Lewy body deposition, amyloid pathology, and blood-brain barrier disruption, thereby promoting neurodegenerative diseases such as Alzheimer’s disease and Parkinson’s disease. (3) Zinc overload damages neurons through dual pathways: intracellular zinc influx induces endoplasmic reticulum stress, causing calcium imbalance and mitochondrial dysfunction, while synaptic zinc activates the reactive oxygen species-glutamate toxicity axis. Both pathways amplify apoptotic signals via the p38MAPK/JNK pathway and synergize with Toll-like receptor 4/nuclear factor-κB-mediated neuroinflammation to drive neurodegenerative diseases, such as Alzheimer’s disease. (4) Copper exerts neurotoxicity via Fenton reaction-mediated oxidative stress, protein aggregation, cuproptosis, and neurotransmitter imbalance. Concurrently, blood-brain barrier disruption exacerbates copper accumulation, forming a self-reinforcing neurotoxic network that accelerates neurodegeneration. (5) Cadmium induces oxidative stress, mitochondrial dysfunction, apoptosis, calcium dysregulation, neurotransmitter disruption, neuroinflammation, and blood-brain barrier damage, collectively contributing to neurodegeneration. (6) Lead hijacks metal transporters to induce oxidative stress and mitochondrial apoptosis, upregulates ryanodine receptors to cause calcium overload and synaptic plasticity impairment, and exacerbates β-amyloid deposition and synaptic damage via epigenetic dysregulation, thereby driving neurodegeneration. (7) Aluminum disrupts iron metabolism to induce iron overload and ferroptosis, interferes with acetylcholine metabolism to impair cholinergic function, inhibits the insulin receptor substrate 1/phosphatidylinositol 3-kinase/protein kinase B pathway to promote tau hyperphosphorylation and β-amyloid deposition, and activates the c-Jun N-terminal kinase/NOD-like receptor protein 3 pathway to trigger necroptosis and pyroptosis. These mechanisms synergistically induce neuroinflammation, synaptic dysfunction, and neuronal apoptosis, ultimately leading to cognitive deficits and neurodegeneration. (8) Toxic ions released by metallic implants (e.g., excess zinc, iron) can trigger neuronal oxidative stress, excitotoxicity, and mitochondrial dysfunction, interfering with neural regeneration. Ion leaching can be mitigated by optimizing scaffold porosity, mechanical properties, and surface coating technologies (e.g., silver nanoparticles). (9) Metal chelators reduce neurotoxicity by binding free metal ions. They not only clear iron deposits and dissolve β-amyloid aggregates in Alzheimer’s disease but also synergize with stem cell transplantation to alleviate local oxidative stress and inflammation in traumatic brain injury, thereby enhancing neural repair efficacy. (10) Emerging tissue engineering strategies for countering metal toxicity include the development of targeted delivery systems (e.g., calcium ethylenediaminetetraacetate-loaded nanoparticles traversing the blood-brain barrier to eliminate heavy metals) and smart responsive materials (e.g., metal ion-sensitive hydrogels dynamically regulating ion release). These approaches aim to precisely maintain the balance of essential metal elements within the neural microenvironment.
    Figures and Tables | References | Related Articles | Metrics
    Relationship of training with abnormal posture and spinal curvature disorders in specialized athletes
    Peng Hao, Jiang Yang, Song Yanping, Yao Na, Shen Zhen, Song Yueyu, Chen Qigang
    2026, 30 (12):  3127-3133.  doi: 10.12307/2025.923
    Abstract ( 317 )   PDF (2638KB) ( 64 )   Save
    OBJECTIVE: To evaluate the relationship between abnormal posture, spinal curvature disorders, and training in specialized athletes through a systematic review and meta-analysis, providing scientific evidence for spinal health management in these athletes. 
    METHODS: A systematic search was conducted in CNKI, VIP, WanFang, CBM, PubMed, Embase, Cochrane Library, and Web of Science databases for Chinese and English literature related to spinal health and sports training in specialized athletes from 2000 to the present. Three independent researchers screened the literature, extracted data, and assessed literature quality based on predefined inclusion and exclusion criteria. Data analysis was performed using Review Manager 5.4 software to evaluate differences in outcomes such as the incidence of scoliosis, thoracic kyphosis angle, and lumbar lordosis angle. 
    RESULTS: A total of 17 articles covering 18 studies with 48 234 participants were included. Studies have found that the odds ratio for scoliosis incidence in specialized athletes was 3.52 [95% confidence interval (CI): 2.18-5.69]. The average thoracic kyphosis angle in specialized athletes increased by 0.93° (95% CI: 0.23-1.62), while the lumbar lordosis angle decreased by 1.95° (95% CI: -2.71 to -1.18). Additionally, the average trunk tilt angle increased by 1.57° (95% CI: 0.96-2.17), and the trunk inclination deviation distance increased by 10.64 mm (95% CI: 3.21-18.06). 
    CONCLUSION: Long-term specialized training may pose a higher risk of spinal disorders in athletes. It is crucial to consider the impact of different sports, training methods, and individual differences on spinal health, and to develop targeted prevention and intervention strategies to reduce the incidence of spinal disorders, thereby enhancing athletes' performance and quality of life.
    Figures and Tables | References | Related Articles | Metrics
    Different inspiratory muscle training methods improve exercise and cardiopulmonary function of patients after cardiac surgery: a network meta-analysis
    Chen Ping, Du Jinchao, Wang Hongying, Zhang Hui, Wang Haixia
    2026, 30 (12):  3134-3144.  doi: 10.12307/2026.702
    Abstract ( 342 )   PDF (5775KB) ( 212 )   Save
    OBJECTIVE: Inspiratory muscle training can increase inspiratory muscle strength and endurance, thereby improving maximum inspiratory negative pressure and cardiopulmonary function, reducing the incidence of complications, and aiding patient recovery. Herein, a systematic review is conducted to evaluate the differences in efficacy between different inspiratory muscle training modalities on functional recovery in cardiac surgery patients.
    METHODS: We searched CNKI, VIP, WanFang, CBM, PubMed, Embase and Cochrane Library to collect randomized controlled trials about inspiratory muscle training applied to cardiac surgery from database inception to November 2024. Language was limited to Chinese and English. Subject terms were combined with keywords during the search process. After screening, we performed a meta-analysis using Review Manager 5.4 and Stata 14.2.
    RESULTS: (1) Finally, 24 papers were included, including 11 high-quality papers and 13 low-quality papers, totaling 1 907 patients and 4 inspiratory muscle training modes. (2) Direct meta-analysis results indicated that after sensitivity analysis, compared with the control group, inspiratory threshold load training, inspiratory resistance load training, and high carbon dioxide inspiratory training had a significant effect on inspiratory muscle function [mean difference=-15.01, 95% confidence interval (CI) (-18.72, -11.30), P < 0.01], motor function [standardized mean difference=-0.60, 95% CI (-0.82, -0.38), P < 0.01], and cardiorespiratory function score [standardized mean difference=-0.66, 95% CI (-1.26, -0.07), P=0.03]. There were significant differences in the incidence of pneumonia [odds ratio=2.42, 95% CI (1.44, 4.06), P < 0.01] and pulmonary atelectasis [odds ratio=6.18, 95% CI (1.85, 20.64), P < 0.01]. (3) The results of network meta-analysis showed that in terms of improvement in inspiratory muscle function, the therapeutic efficacy was ranked as inspiratory threshold loading training (92.6) > inspiratory resistance loading training (57.4) > conventional inspiratory training (0); and in terms of improvement in motor function, the therapeutic efficacy was ranked as inspiratory threshold loading training (100) > high carbon dioxide inspiratory training (66.4) > inspiratory resistance loading training (33.6) > conventional inspiratory training (0); and in terms of improvement in cardiorespiratory function, the therapeutic efficacy was ranked as inspiratory threshold loading training (94.4) > high carbon dioxide inspiratory training (52.2) > inspiratory resistance loading training (44.8) > conventional inspiratory training (8.2).
    CONCLUSION: The available clinical evidence suggests that inspiratory threshold loading training has the best efficacy in improving inspiratory muscle function, motor function, and cardiorespiratory function of patients undergoing cardiac surgery, followed by high carbon dioxide inspiratory training and inspiratory resistance loading training. However, due to the low methodological quality of some of the included studies, there is an urgent need for high-quality studies to validate this finding.
    Figures and Tables | References | Related Articles | Metrics
    Experimental validation of cytokine-cytokine receptor interaction pathway related gene signatures and molecular subtypes in rheumatoid arthritis
    Wu Jun, Zhang Yuzhu, Dong Xiaojie, Wang Kaidi, Sun Bin
    2026, 30 (12):  3145-3155.  doi: 10.12307/2026.323
    Abstract ( 327 )   PDF (4932KB) ( 283 )   Save
    BACKGROUND: Rheumatoid arthritis is an autoimmune disease. Due to disease pathogenesis and individual differences in patients' constitutions, there are significant variations in the treatment outcomes. Some patients develop refractory rheumatoid arthritis due to their insensitivity to therapeutic drugs. Therefore, identifying characteristic genes of rheumatoid arthritis and exploring new therapeutic targets have become crucial issues that urgently need to be addressed in this field.
    OBJECTIVE: To explore the roles of genes related to the cytokine-cytokine receptor interaction pathway in the diagnosis, classification, and functional analysis of rheumatoid arthritis by using bioinformatics analysis methods.
    METHODS: In this study, four datasets containing samples of rheumatoid arthritis were downloaded from the Gene Expression Omnibus (GEO) database (https://www.ncbi.nlm.nih.gov/geo/, a gene expression database created and maintained by the National Center for Biotechnology Information in the United States). All datasets were publicly available and met ethical requirements. Among them, the datasets GSE55235, GSE55457, and GSE77298 were combined as the training set, and the dataset GSE12021 was used as the validation set. The research process was as follows: (1) the dysregulated state of the cytokine-cytokine receptor interaction pathway in rheumatoid arthritis was analyzed, followed by screening of the differentially expressed genes related to this pathway. (2) The random forest algorithm, the least absolute shrinkage and selection operator, the support vector machine-recursive feature elimination method, the Boruta full feature selection algorithm, and the weighted gene co-expression network analysis were comprehensively adopted to further screen the characteristic genes related to the cytokine-cytokine receptor interaction pathway in rheumatoid arthritis. (3) Based on the differentially expressed genes identified, the unsupervised clustering analysis method was used to divide rheumatoid arthritis into different molecular subtypes, and compare and analyze the differences in the activity of signaling pathways and the level of immune cell infiltration among different subtypes. (4) A cell model of rheumatoid arthritis was constructed to experimentally verify the expression levels of the characteristic genes.
    RESULTS AND CONCLUSION: (1) Through the integrated analysis of multiple methods, three characteristic genes were successfully identified. (2) Based on the cytokine-cytokine receptor interaction pathway, rheumatoid arthritis can be divided into two subtypes: the methotrexate-sensitive type and the methotrexate-insensitive type. Based on this classification, it can guide the clinical treatment of rheumatoid arthritis, avoid the blind use of methotrexate, promptly adjust the treatment strategy, select more effective drugs or treatment combinations, thereby improving the treatment effect, alleviating the patients' condition, and enhancing the effectiveness and precision of the treatment of rheumatoid arthritis.
    Figures and Tables | References | Related Articles | Metrics
    Lactylation-related potential targets and Chinese herbal medicine active ingredients targeting treatment of spinal cord injury: GEO database screening analysis
    Liang Liang, Yan Yulu, Zheng Yang, Zhang Xiaoyun, Wang Lei, Qi Wen
    2026, 30 (12):  3156-3170.  doi: 10.12307/2026.709
    Abstract ( 343 )   PDF (21303KB) ( 46 )   Save
    BACKGROUND: Lactylation plays an important role in spinal cord injury by regulating the immune microenvironment, but its key biomarkers and mechanisms have not been clarified. The present study aims to systematically analyze the association between abnormal lactate metabolism and spinal cord injury based on multiple databases, including the GEO database, and the integration of multiregional spinal cord injury data (covering both European and Asian populations). By mining the regulatory network of lactation-related genes, we can reveal the new mechanism of metabolism-immunity interaction and predict the target drugs, which will provide a theoretical basis for the development of therapeutic strategies.
    OBJECTIVE: To screen core biomarkers related to lactylation in spinal cord injury, to analyze their regulatory mechanisms, and to predict potential active components of traditional Chinese medicine.
    METHODS: The study integrated three spinal cord injury datasets (GSE45006, GSE114426, and GSE2599, containing 30 spinal cord injury and 10 normal samples) and validation set (GSE151371, 58 samples) from the GEO database (maintained by NCBI, which contains global public gene expression profiles), combined with the MSigDB database (developed by the Broad Institute for gene function annotation) of 395 lactate-related genes, and screened the core genes by differential expression analysis, weighted gene co-expression network, and machine learning algorithms (LASSO, XGBoost, and Random Forest). Sample data from a total of 815 376 samples from the Integrated Epidemiological Unit (IEU) database (a repository developed and maintained by the MRC Integrated Epidemiological Unit for storing and sharing genome-wide association study (GWAS) data) and Mendelian randomization analyses were used to validate causal association between lactate metabolism and spinal cord injury, followed by immune infiltration analysis. The target components were also predicted from ITCM and HERB TCM database (constructed by the Chinese Academy of Sciences, covering active ingredients of traditional medicines).
    RESULTS AND CONCLUSION: SLC16A7 and ACACA were identified as core lactylation genes associated with spinal cord injury, and their expression was significantly associated with M2 macrophage and T cell infiltration. Mendelian randomization analysis showed that lactate [odds ratio (OR)=1.89, 95% confidence interval (CI): 0.99-3.62] and lactate dehydrogenase (OR=0.34, 95% CI: 0.16-0.74) were significantly causally associated with spinal cord injury (P < 0.05), while SLC16A7 and ACACA were risk factors for spinal cord injury (OR > 1.00). Molecular docking identified quercetin, estradiol and ginseng saponin as active ingredients, which were stable in binding to their targets and met the criteria for drug-like properties. These findings indicate that SLC16A7 and ACACA are biomarkers associated with lactylation in spinal cord injury, and herbal medicines and their active ingredients targeting these genes have potential therapeutic values. To conclude, this study reveals the regulatory role of lactation modification in spinal cord injury based on international standardized databases and European cohort-led multi-omics data. Its methodological framework (e.g., multi-omics integration, Mendelian randomization for causal inference) provides an important reference for biomedical research in China: on the one hand, it promotes cross-ethnic data sharing and validation to make up for the lack of regional samples; on the other hand, it opens up a new pathway for drug development in the treatment of spinal cord injury with the combination of Chinese and Western medicines by tapping into the mechanism of interactions between Chinese herbal medicine’s active ingredients and their targets, which can advance the localization of precision medicine practices..
    Figures and Tables | References | Related Articles | Metrics
    Druggable genome-wide prediction of therapeutic target genes for lumbar spinal stenosis: data analysis based on DgiDB and FinnGen databases
    Li Hanyu, Wang Chaoyi, Yang Jingyan, Huang Renjun, Zhao Yuyang, Hao Huatao, Yu Dong
    2026, 30 (12):  3171-3181.  doi: 10.12307/2026.663
    Abstract ( 345 )   PDF (5237KB) ( 472 )   Save
    ACKGROUND: Lumbar spinal stenosis is a common and serious degenerative spinal disease. The treatment and prevention measures of lumbar spinal stenosis still have certain limitations. Screening the therapeutic target genes of lumbar spinal stenosis, exploring the wider application range of drugs, and clarifying the mechanism of action of drugs are of great clinical significance.
    OBJECTIVE: To explore potential therapeutic targets for lumbar spinal stenosis by Mendelian randomization analysis of the whole genome of druggable genes.
    METHODS: Using the FinnGen database of genome and health information of 500 000 Finns, eQTLGen consortium, Drug Signature database, Drug-gene interaction database, protein interaction database, Organic small molecule Biological activity database and protein structure database, two-sample Mendelian randomization analysis and co-localization analysis were performed to identify genes highly associated with lumbar spinal stenosis by combining the data of available genes with the data of lumbar spinal stenosis genome-wide association study. In addition, gene ontology and Kyoto Encyclopedia of Genes and Genomes enrichment analyses, protein network construction, drug prediction and molecular docking were performed to provide valuable guidance for the development of more effective and targeted therapeutic drugs.
    RESULTS AND CONCLUSION: (1) A total of 32 patentable genes were identified to be significantly associated with lumbar spinal stenosis, among which CCDC77 showed evidence of shared genetic effects with the outcome of lumbar spinal stenosis through Mendelian randomization and co-localization analysis. (2) In addition, differential genes were mainly involved in the positive regulation of cell movement, angiogenesis, adaptive immune response and other biological processes. The up-regulated genes were mainly enriched in the cell adhesion molecule pathway, hypoxia-inducible factor 1 signaling pathway, leukocyte transenthelial migration signaling pathway and other pathways. (3) The results of drug enrichment showed that emodin and prostaglandin E2 were potential drugs for the treatment of lumbar spinal stenosis. To conclude, these findings provide promising clues for the treatment of lumbar spinal stenosis, which offer a new direction for drug research and development, promote the combination of basic and clinical research, and provide a reference for domestic research in related fields.

    Figures and Tables | References | Related Articles | Metrics
    Causal relationship between gut microbiota and amyotrophic lateral sclerosis: sample analysis from the IEU Open GWAS Database
    Wang Tao, Min Youjiang, Wang Min, Wang Shunpu, Li Le, Zhang Chen, Xiao Weiping, Yu Yiping
    2026, 30 (12):  3182-3189.  doi: 10.12307/2026.686
    Abstract ( 327 )   PDF (4694KB) ( 299 )   Save
    BACKGROUND: Recent studies suggest that gut microbiota may have an influence on the progression of amyotrophic lateral sclerosis (ALS), but the exact causal relationship between them is still unclear.
    Objective: To explore the causal relationship between gut microbiota and amyotrophic lateral sclerosis using Mendelian randomization analysis.
    Methods: Genome-wide association study (GWAS) data on gut microbiota and amyotrophic lateral sclerosis were obtained from the IEU Open GWAS database (an open database developed by the UK Medical Research Council and the Institute of Genetic Epidemiology at the University of Bristol, UK, to provide GWAS data related to various diseases). Gut microbiota was used as the exposure factor and amyotrophic lateral sclerosis as the outcome variable. Inverse variance weighting, MR-Egger regression, weighted median, weighted model, and simple model methods were used to explore the causal relationship between them. Sensitivity analysis was conducted to assess the reliability of the Mendelian randomization results, and reverse Mendelian randomization analysis was further used to validate the causal relationship between the two.
    Results and conclusion: (1) The results of the forward Mendelian randomization analysis indicated that there was a causal relationship between six types of gut microbiota and amyotrophic lateral sclerosis. Bilophila [β=0.206, odds ratio (OR)=1.229], Lachnospira (β=0.288, OR=1.333), Marvinbryantia (β=0.196, OR=1.216), RuminococcaceaeUCG010 (β=0.254, OR=1.289), and Tyzzerella3 (β=0.128, OR=1.136) may be potential risk factors for amyotrophic lateral sclerosis, while Intestinibacter (β=-0.203, OR=0.816) may be a protective factor for amyotrophic lateral sclerosis. (2) In the sensitivity analysis, no significant heterogeneity or orizontal pleiotropy was observed (P > 0.05), and the reverse Mendelian randomization analysis also did not reveal a reverse causal relationship between gut microbiota and amyotrophic lateral sclerosis. (3) The findings of this study not only suggest possible biomarkers for treating amyotrophic lateral sclerosis but also provide a foundation for creating new treatments using gut microbiota, with implications for fundamental medical studies in China.

    Figures and Tables | References | Related Articles | Metrics
    Association between grip strength to weight ratio and new-onset cardiovascular and cerebrovascular diseases: a big data analysis of the China Health and Retirement Longitudinal Study
    Wang Shijie, Hu Xiaoyu, Duan Zhuoran, Tang Yingfeng, Wang Wei
    2026, 30 (12):  3190-3197.  doi: 10.12307/2026.629
    Abstract ( 409 )   PDF (1492KB) ( 668 )   Save
    BACKGROUND: Middle-aged and elderly individuals are particularly susceptible to sarcopenic obesity, a significant characteristic observed in patients with cardiovascular and cerebrovascular diseases. Grip strength tests may not provide an accurate assessment of muscle quality. Given that skeletal muscle is an insulin-sensitive tissue, there may be complex relationships between muscle strength, insulin resistance, and cardiovascular diseases.
    OBJECTIVE: To analyze the relationship between grip strength to weight ratio (GSWR), grip strength, chair-stand test, and cardiovascular and cerebrovascular diseases in middle-aged and elderly individuals, and to explore the mediating role of the triglyceride-glucose index (TyG) in this context.
    METHODS: This study, derived from the China Health and Retirement Longitudinal Study, included a total of 4 543 participants with no history of cardiovascular and cerebrovascular diseases and observed whether there are new-onset cardiovascular and cerebrovascular diseases within 7 years following the baseline survey. COX regression analyses were performed based on TyG index, grip strength, chair-stand test, and GSWR ratio at baseline. In addition, the TyG index was used as a mediating variable to test the mediating effect based on regression analysis.
    RESULTS AND CONCLUSION: (1) Of the 4 543 participants, 675 were newly diagnosed with cardiovascular and cerebrovascular diseases, with the incidence of 14.9%. (2) In the multivariate COX proportional hazard regression adjusted for all covariates, TyG [hazard ratio (HR): 1.18, 95% confidence interval (CI): 1.05-1.32], suspected sarcopenia (HR: 1.22, 95% CI: 1.03-1.44, P=0.02), chair-stand test (HR: 1.302, 95% CI: 1.104-1.536, P=0.002), GSWR (HR: 1.288, 95% CI: 1.083-1.531, P=0.004) were all significant, while grip strength (HR: 0.988, 95% CI: 0.776-1.258, P=0.92) was not significant. (3) In addition, TyG was found to mediate the relationship between GSWR and new-onset cardiovascular and cerebrovascular diseases (total natural indirect effect: HR: 1.024, 95% CI: 1.005–1.043), with the direction of effect being consistent. Part of the mechanism by which an increased GSWR raises the risk of cardiovascular and cerebrovascular diseases is through its impact on TyG. To conclude, middle-aged and elderly individuals can assess muscle quality through the GSWR, which provides a reference for evaluating insulin resistance and the risk of cardiovascular and cerebrovascular diseases.
    Figures and Tables | References | Related Articles | Metrics
    Mechanisms of stroke therapy targeting inflammatory cytokines: a big data analysis based on the IEU Open GWAS
    Cheng Le, Zhu Caifeng, Zhou Bingyuan, Gao Dahong, Cui Xiaoya, Li Jing, Wang Xuewei, Yang Gaoshang, Chen Xiyang
    2026, 30 (12):  3198-3216.  doi: 10.12307/2026.701
    Abstract ( 334 )   PDF (19033KB) ( 24 )   Save
    BACKGROUND: Inflammation is a crucial component of the pathophysiological process in stroke; however, the causal relationship between stroke and inflammation remains unclear. 
    OBJECTIVE: To explore the mechanisms of stroke treatments targeting 91 inflammatory cytokines using Mendelian randomization and molecular docking techniques.
    METHODS: Data on inflammatory cytokines and stroke were obtained from the IEU Open GWAS database (https://gwas.mrcieu.ac.uk/) hosted by the Medical Research Council Comprehensive Epidemiology Unit at the University of Bristol in the United Kingdom. Two-sample Mendelian randomization analysis was performed using the inverse variance weighting method to assess the causal relationship between 91 inflammatory cytokines and stroke. Gene ontology and Kyoto Encyclopedia of Genes and Genomes pathway analyses were then conducted based on the results of Mendelian randomization, and protein-protein interaction networks were constructed. Stroke drug prediction was performed using the Enrichr database (http://amp.pharm.mssm.edu/Enrichr) established by the Icahn School of Medicine at Mount Sinai and the Drug Repurposing Hub database (http://tanlab.ucdenver.edu/dsigdb) established by the University of Colorado Denver. Molecular docking was performed with AutoDock software, and the results were visualized using Discovery Studio 2019. 
    RESULTS AND CONCLUSION: (1) We identified 11 inflammatory cytokines with significant causal associations with the overall stroke risk; 9 cytokines were strongly associated with ischemic stroke risk; 6 cytokines were significantly related to large artery stroke risk; 7 cytokines exhibited a significant causal relationship with cardioembolic stroke risk; 12 cytokines were significantly related to small vessel stroke risk; and 3 cytokines were significantly associated with the risk of intracerebral hemorrhage. (2) Gene Ontology and Kyoto Gene and Genome Pathway analyses revealed that inflammatory cytokines play significant roles in metabolism, inflammation, and immune responses in stroke. (3) Protein-protein interaction network analysis identified 10 inflammatory cytokines closely linked to stroke. (4) Drug prediction and molecular docking results indicated that atorvastatin and fludrocortisone had high binding affinity to key core targets interleukin-18 and CCL3. (5) The data for this study were sourced from the European population in international databases, and the findings provide valuable insights for genetic epidemiological research on stroke in China. (6) This study clarifies the causal relationship between inflammatory cytokines and stroke, unveiling the mechanisms of inflammatory cytokine therapy in stroke treatment and offering novel therapeutic strategies for stroke.
    Figures and Tables | References | Related Articles | Metrics