Chinese Journal of Tissue Engineering Research ›› 2021, Vol. 25 ›› Issue (11): 1658-1663.doi: 10.3969/j.issn.2095-4344.3085

Previous Articles     Next Articles

Hyperbaric oxygen alleviates scar adhesion at the base and shortens the time of revascularization of delayed skin flap in rats

Hu Yigao, Li Gaofeng   

  1. Department of Laser and Aesthetic Surgery, Hunan Provincial People’s Hospital, First Affiliated Hospital of Hunan Normal University, Changsha 410000, Hunan Province, China
  • Received:2020-03-14 Revised:2020-03-19 Accepted:2020-05-09 Online:2021-04-18 Published:2020-12-21
  • Contact: 李高峰,博士,主任医师,教授,湖南师范大学附属第一医院湖南省人民医院整形激光美容外科,湖南省长沙市 410000
  • About author:Hu Yigao, Master, Attending physician, Department of Laser and Aesthetic Surgery, Hunan Provincial People’s Hospital, First Affiliated Hospital of Hunan Normal University, Changsha 410000, Hunan Province, China

Abstract: BACKGROUND: Hyperbaric oxygen can improve the survival rate of the flap, but whether hyperbaric oxygen therapy can reduce the scar adhesion between the delayed flap and the base, and shorten the time of delayed flap revascularization have not been documented.
OBJECTIVE: To observe the changes of the delayed skin flap and the scar tissue at the base on the back of the rat after hyperbaric oxygen therapy, and to seek a safer and more time-saving method of delayed flap formation.
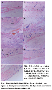
METHODS: This experiment simulated the delayed flap model of the human reconstructed ear on the back of Sprague-Dawley rats. Healthy male Sprague-Dawley rats were randomly divided into two groups: a control group and a hyperbaric oxygen treatment group. In the latter group, the rats were placed in the infant hyperbaric oxygen chamber for hyperbaric oxygen treatment for 5 days after surgery. The blood flow of the flap was recorded preoperatively and daily after surgery. Scar tissue thickness, type I/III collagen ratio, vascular number, vascular diameter and the number of vascular endothelial growth factor-positive cells in the flap were recorded preoperatively and on the 1st, 7th, 14th and 21st days postoperatively. 
RESULTS AND CONCLUSION: The blood flow of the flaps in both groups decreased significantly on the 1st postoperative day , and then began to increase. The blood flow in the hyperbaric oxygen treatment group was significantly higher than that in the control group on the 1st, 7th, 14th and 21st days postoperatively (P < 0.05). The subcutaneous tissue edema in the hyperbaric oxygen treatment group was slighter than that in the control group, and the tissue inflammatory cell infiltration was less. On the 21st postoperatively day, the thickness of scar tissue adhesion at the base in the hyperbaric oxygen treatment group was smaller than that in the control group (P < 0.05). The ratio of type I/III collagen in the hyperbaric oxygen treatment group was lower than that in the control group (P < 0.05). On the 7th, 14th, and 21st days postoperatively, the number of blood vessels in the hyperbaric oxygen treatment group was higher than that in the control group (P < 0.05). The vascular diameter in the two groups was the smallest on the 1st postoperative day, and the largest on the 14th postoperative day. The vascular diameter in the hyperbaric oxygen treatment group was significantly larger than that in control group on the 1st postoperative day (P < 0.05). The number of vascular endothelial growth factor positive cells in both groups began to increase on the 1st postoperativel day, and reached the maximum value on the 14th postoperative day. The number of vascular endothelial growth factor positive cells in the hyperbaric oxygen treatment group was higher than that in the control group at each observation time point (P < 0.05). To conclude, hyperbaric oxygen can reduce the scar adhesion between delayed skin flap and the basement and increase the blood flow of the delayed flaps in rats. Its mechanism may be related to the promotion of revascularization.


Key words: hyperbaric oxygen">, delayed skin flap">, ear reconstruction">, revascularization">, factor">, scar">, rat">, experiment

CLC Number: