Loading...

Table of Content

    28 July 2026, Volume 30 Issue 21 Previous Issue    Next Issue
    For Selected: Toggle Thumbnails
    Comparison of biomechanical differences between cervical rotation and rotation-traction manipulations using finite element analysis
    Weng Rui, Huang Xuecheng, Lin Dongxin, Xie Siyuan, Yu Yaoshuai, Chen Cairui, Tan Peng, Zhao Zilin, Xie Pusheng, Li Yikai
    2026, 30 (21):  5361-5368.  doi: 10.12307/2026.205
    Abstract ( 14 )   PDF (3184KB) ( 4 )   Save
    BACKGROUND: Currently, the biomechanical differences between cervical rotation manipulation and cervical rotation-traction manipulation for the treatment of cervical radiculopathy have not been systematically elucidated.
    OBJECTIVE: To compare the biomechanical differences between cervical rotation manipulation and cervical rotation-traction manipulation in the treatment of cervical spondylotic radiculopathy caused by cervical disc herniation, and to provide a basis for the rational selection of manipulation in clinical practice.
    METHODS: A 27-year-old Asian male patient with cervical spondylotic radiculopathy caused by left posterior cervical disc herniation compressing the nerve root was recruited. The CT scan data of the skull and cervical spine were extracted to construct a finite element model of the skull and the whole cervical spine. After the model was verified, the key parameters of cervical rotation manipulation and cervical rotation-traction manipulation were loaded into the model, and the effects of these two manipulations on the stress of the intervertebral disc, facet joint, spinal cord and nerve root, disc displacement, as well as the volume of the cervical intervertebral foramen and other indexes were compared and analyzed.
    RESULTS AND CONCLUSION: (1) In terms of Von-Mise stress, the maximum stresses of cervical rotation manipulation on the annulus fibrosus of the intervertebral disc, nucleus pulposus and facet joint were 0.903, 0.139, and 2.186 MPa, respectively, which were increased by 18%, 13%, and 30% compared with those of cervical rotation-traction manipulation (0.765, 0.123, and 1.682 MPa). The maximum stress of the spinal cord and nerve root was 2.547 Mpa, which was 7% lower than that of cervical rotation-traction manipulation (2.738 MPa). (2) In terms of displacement, the maximum forward displacement of the side with intervertebral disc herniation under cervical rotation manipulation was 1.067 mm, which was 11.1% more than that under cervical rotation-traction manipulation (0.960 mm). (3) In terms of the change in the volume of the intervertebral foramen, both manipulations led to an increase compared with before the manipulation. The volume increased by 15.5% under rotation manipulation and 19.8% under rotation-traction manipulation, and the latter had a more significant effect on expanding the volume of the intervertebral foramen. (4) It is concluded that cervical rotation manipulation has an advantage in promoting the forward displacement of the herniated intervertebral disc, but it generates higher stress on the intervertebral disc and facet joint, and is likely to cause intervertebral disc injury. Cervical rotation-traction manipulation makes the spinal cord and nerve root bear slightly higher stress, but it can more effectively expand the volume of the intervertebral foramen and reduce the risk of intervertebral disc structural injury. In clinical treatment, the advantages and disadvantages of these two manipulations should be carefully weighed according to the specific condition of the patient, and the application should be rationally selected.
    Figures and Tables | References | Related Articles | Metrics
    Construction and validation of a deep learning prediction model for cervical instability
    Lu Guangqi, Sun Xinyue, Han Xue, Liu Yakun, Ma Mingming, Mao Hanze, Zhou Shuaiqi, Liang Long, Li Jing, Hu Jiaming, Zhu Liguo, Yu Jie, Zhuang Minghui
    2026, 30 (21):  5369-5375.  doi: 10.12307/2026.776
    Abstract ( 11 )   PDF (3761KB) ( 7 )   Save
    BACKGROUND: Early prediction of cervical instability is crucial for the prevention and treatment of cervical spondylosis, and deep learning technology can provide robust support for intelligent prediction of cervical instability. 
    OBJECTIVE: To develop a deep learning model of cervical instability based on cervical magnetic resonance imaging for early intelligent prediction of cervical instability. 
    METHODS: This study recruited young and middle-aged participants (18-45 years), including both cervical instability patients and healthy controls, through the Spine Department Outpatient Clinic of Wangjing Hospital, China Academy of Chinese Medical Sciences, as well as community-based recruitment. All participants underwent cervical magnetic resonance imaging examinations. On the axial magnetic resonance imaging images, five key anatomical structures were manually annotated: intervertebral disc, facet, prevertebral muscle, deep muscle group in the back of the neck, and superficial muscle group in the back of the neck. A deep learning algorithm was then employed to develop a predictive model for cervical instability, utilizing both the original images and the delineated regions of interest. Finally, the model's predictive performance was systematically evaluated and validated. 
    RESULTS AND CONCLUSION: (1) The study included a total of 308 young and middle-aged participants, comprising 196 individuals with cervical instability and 112 healthy controls. Based on enrollment time, the subjects' data were allocated to either the model training set or the test set. (2) The model demonstrated high predictive performance, with an area under the curve values of 0.97, an F1-score of 0.98, a precision of 0.98, and a recall of 0.97 in the training set. In the test set, these metrics were 0.97, 0.95, 1.00, and 0.90, respectively. (3) The results indicate that the deep learning model based on cervical magnetic resonance imaging images can effectively enable early intelligent prediction of cervical instability, exhibiting strong diagnostic accuracy.
    Figures and Tables | References | Related Articles | Metrics
    Finite element analysis of the effect of morphological differences in endplate defects on biomechanics of lumbar intervertebral discs 
    Yang Yiting, Li Zheng, Yang Yong, Fan Chunsun, Lu Yonggang
    2026, 30 (21):  5376-5385.  doi: 10.12307/2026.778
    Abstract ( 17 )   PDF (7381KB) ( 7 )   Save
    BACKGROUND: Endplate defects are one of the important causative factors of lumbar degeneration, and their morphological characteristics may significantly affect the local mechanical environment of the spine. However, the effects of their different morphologic defects on the biomechanical properties of the lumbar spine have not been fully elucidated.
    OBJECTIVE: To investigate the effects of focal marginal defects, focal central defects, and angular defects on the stress distribution of lumbar endplates, intervertebral discs, and small joints, and to reveal their underlying biomechanical mechanisms.
    METHODS: Lumbar CT images were obtained from a healthy 36-year-old male volunteer, and a complete endplate model of the L4-L5 segment was reconstructed. Three typical endplate defect models (focal marginal defect, focal central defect, and angular defect) were constructed based on the classification of vertebral endplate defects in clinical imaging studies. By applying dynamic loads and corresponding moments to simulate physiological spinal muscle loads and typical motion loads, such as stance, forward flexion, backward extension, lateral bending, and rotation, the biomechanical stress distribution characteristics and peak changes in the vertebral cartilage endplates, intervertebral disc annulus fibrosus, nucleus pulposus, and facet joints during physiological spinal motion were evaluated under different defect types. The mechanisms by which different defect types affect lumbar spine biomechanical stability were explored.
    RESULTS AND CONCLUSION: (1) Different defect types significantly altered the stress conduction pathways in the endplates and adjacent structures. Edge defects primarily affected the stress distribution on the lateral side of the annulus fibrosus, while central defects significantly altered load bearing capacity during extension. (2) Significant stress gradient concentrations were observed at the defect edges, indicating potential microinjury risk. (3) Angular endplate defects produced significant stress concentrations under dynamic loading, potentially contributing to segmental instability and accelerated degeneration. (4) These results provide a biomechanical basis for elucidating the involvement of endplate defects in intervertebral disc degeneration and facet joint injury, providing valuable guidance for early clinical identification of high-risk defect types and the development of targeted preventive strategies.

    Figures and Tables | References | Related Articles | Metrics
    Biomechanical analysis of titanium alloy porous spacer-enhanced high tibial osteotomy versus conventional T-shaped plate and bone grafting
    Qing Mingsong, Sheng Xiaolei, Li Yuwan, Xu Zhi, Wang Lunhua, Liu Jinnan
    2026, 30 (21):  5386-5395.  doi: 10.12307/2026.217
    Abstract ( 8 )   PDF (3889KB) ( 8 )   Save
    BACKGROUND: High tibial osteotomy is an effective treatment for certain patients with knee osteoarthritis; however, traditional T-shaped plates have multiple limitations.
    OBJECTIVE: To compare the biomechanical performance of titanium alloy porous blocks with that of conventional T-shaped plates and bone grafting schemes in high tibial osteotomy using finite element analysis.
    METHODS: A computer simulation experiment was conducted, performing three-dimensional finite element analysis on a 55-year-old male patient who underwent high tibial osteotomy. Three different implant geometries were constructed: a conventional T-shaped plate high tibial osteotomy model (Model A), a bone graft–augmented high tibial osteotomy model (Model B), and a titanium alloy porous block–augmented high tibial osteotomy model (Model C). These models were used to evaluate the effects of each implant on total displacement and stress distribution under two loading conditions: standing and initial rising from a seated position. 
    RESULTS AND CONCLUSION: (1) Validation results confirmed that the finite element models were effective. (2) In terms of stability, Model C (titanium alloy porous block–augmented high tibial osteotomy) demonstrated the best reduction in total displacement, with maximum displacements under both standing and rising conditions significantly lower than those of the other two models. (3) Stress analysis revealed that Model C’s T-shaped plate experienced the lowest stress values: (40.9±36.5) MPa (standing) and (66.1±44.7) MPa (rising), representing reductions of 91.2% and 92.9%, respectively, compared with Model A. Additionally, Model C exhibited significantly lower mean stress at the lateral hinge region than Models A and B, indicating a reduced risk of lateral hinge fracture. Stress distribution at the proximal osteotomy contact surface and hinge region showed that Model C provided more favorable stress stimulation, which may promote bone healing while lowering hinge fracture risk. (4) It is indicated that the titanium alloy porous block not only enhances initial stability at the osteotomy site but, by optimizing stress transmission pathways and offering a biocompatible environment, also addresses shortcomings in mechanical stability and biological integration found in existing plating techniques. These findings suggest promising clinical application potential.
    Figures and Tables | References | Related Articles | Metrics
    Biomechanical evaluation of oblique pulling manipulation on C5/6 intervertebral discs with different levels of degeneration
    Huang Xuecheng, Cai Qirui, Weng Rui, Chen Cairui, Yang Geng, Lin Dongxin
    2026, 30 (21):  5396-5402.  doi: 10.12307/2026.605
    Abstract ( 7 )   PDF (3163KB) ( 5 )   Save
    BACKGROUND: The oblique pulling manipulation has good therapeutic effects on cervical spondylosis, but its biomechanical mechanism of action on intervertebral discs with different degrees of degeneration is not clear.
    OBJECTIVE: To explore the biomechanical mechanism of the oblique pulling manipulation on the discs with different degrees of degeneration through three-dimensional finite element model.
    METHODS: The motion capture system was used to measure the kinematic parameters of the key steps during the oblique pulling manipulation, and a three-dimensional finite element model of the whole cervical spine of the C5/6 mildly, moderately, and severely degenerated intervertebral discs was established. The kinematic parameters were converted into moments and loaded onto the whole cervical spine of the mildly, moderately, and severely degenerated intervertebral discs in a step-by-step manner, so as to obtain the biomechanical parameters of the stress-strain of each structure during the simulated oblique pulling manipulation. 
    RESULTS AND CONCLUSION: (1) In the simulation of the oblique pulling manipulation to the right side, with the increase of disc degeneration, the Von-Mise stress of the annulus fibrosus gradually increased, and the stress was concentrated on the right outer side of the annulus fibrosus. The stress of the nucleus pulposus decreased and the stress was concentrated at the junction of the nucleus pulposus and the annulus fibrosus. The overall displacement of the intervertebral disc decreased; the stress of the left facet joints decreased; the Von-Mise stress of the spinal cord increased, and the stress of the spinal cord was concentrated in the upper cervical spine. (2) In the simulation of the oblique pulling manipulation to the right side, with the increase of disc degeneration, the overall strain of the C5/6 segment disc, the pressure inside the nucleus pulposus, and the stress of the left nerve root decreased; the disc shear force increased; the relative distance between the left nerve root and the disc increased, and the relative distance between the right nerve root and the disc did not change significantly. (3) These results indicate that the cervical oblique-pulling manipulation improves biomechanical imbalances in mild-to-moderately degenerated intervertebral discs by modulating facet joint stress and increasing the distance between nerve roots and intervertebral discs. However, its application in severely degenerated discs requires caution due to a sharp rise in annulus fibrosus stress and potential spinal cord compression risks.
    Figures and Tables | References | Related Articles | Metrics
    Mechanical analysis of a bone cement-augmented cortical bone trajectory screw versus a new variable-diameter all-cortical bone screw
    Xie Xuechen, Julaiti·Maitirouzi, Li Chunchao, Zhang Le, Wang Yixi, Paerhati·Rexiti
    2026, 30 (21):  5403-5410.  doi: 10.12307/2026.590
    Abstract ( 8 )   PDF (1938KB) ( 6 )   Save
    BACKGROUND: The scarcity of bone trabecular structures caused by osteoporosis is not enough to maintain screw holding power, which often leads to the failure of internal fixation surgery. The screw holding power is often increased by increasing the diameter and length of screws, changing the surface coating of screws, and reinforcing the nail track with bone cement. The cement reinforced cortical bone track nailing technique and the modified cortical bone track nailing technique using a new type of variable diameter screw have been proven to have good fixation effects, and now the related mechanical properties of the two need to be analyzed and compared.
    OBJECTIVE: Finite element analysis was used to compare the mechanical properties of bone cement-strengthened cortical bone trajectory nailing technology, cortical bone trajectory nailing technology, and modified cortical bone trajectory nailing technology using a new variable-diameter total cortical bone thread screw in lumbar spine internal fixation surgery. 
    METHODS: Based on the CT scan data processing of three osteoporotic vertebrae, the L4 lumbar spine model was constructed, and the innovative variable-diameter all-cortical bone screw was applied in the modified cortical bone nailing technique, with the screw having a total length of 45 mm and a variable diameter of 5.5-4.3 mm as the modified cortical bone trajectory screw group. It was compared with the standard cortical bone trajectory screw group (5.5 mm in diameter and 40 mm in length) and the bone cement-augmented cortical bone trajectory screw group (5.5 mm in diameter, 40 mm in length, and 1 mm in diameter in the center opening). The fixation strength of the screws in each group was compared by measuring the axial withdrawal force, screw stability (upper, lower, left, and right load displacement ratio), and vertebral body mobility.
    RESULTS AND CONCLUSION: (1) Axial pullout strength: The bone cement-augmented cortical bone trajectory screw group showed greater axial pullout strength than the modified cortical bone trajectory screw group (P=0.024 6). Additionally, both the bone cement-augmented cortical bone trajectory screw group and the modified cortical bone trajectory screw group exhibited significantly higher axial pullout strength compared with the standard cortical bone trajectory screw group (P=0.000 1 and P=0.002 64, respectively). (2) Screw stability: Under inferior loading conditions, the load-displacement ratio of the screws was highest in the bone cement-augmented cortical bone trajectory screw group, followed by the standard cortical bone trajectory screw group and the modified cortical bone trajectory screw group (all P < 0.05). The modified cortical bone trajectory screw group showed a higher stability compared with the standard cortical bone trajectory screw group (P < 0.05). (3) Vertebral mobility: Under five different loading conditions, the bone cement-augmented cortical bone trajectory screw group exhibited less vertebral mobility than the modified cortical bone trajectory screw group, and no significant difference was detected (P > 0.05). Furthermore, both the bone cement-augmented cortical bone trajectory screw group and the modified cortical bone trajectory screw group showed less vertebral mobility compared with the standard cortical bone trajectory screw group. (4) There were no statistically significant differences between the bone cement-augmented cortical bone trajectory screw group and the modified cortical bone trajectory screw group in terms of load-displacement ratio and lumbar mobility (P > 0.05). (5) This suggests that the bone cement-augmented cortical bone trajectory screw technique offers superior biomechanical performance compared with the novel variable-diameter full-cortical bone screw. Additionally, the bone cement-augmented cortical bone trajectory screw technique may be a more suitable choice for internal fixation surgery in clinical patients with osteoporosis.

    Figures and Tables | References | Related Articles | Metrics
    Finite element analysis of biomechanics of two internal fixation methods for Pauwels type III fractures based on fatigue life calculation
    Qu Aili, Yu Junhui, Sun Jianbin, Ye Peng, An Weijun
    2026, 30 (21):  5411-5420.  doi: 10.12307/2026.757
    Abstract ( 10 )   PDF (4711KB) ( 5 )   Save
    BACKGROUND: In patients with Pauwels type III femoral neck fracture who are unable to undergo closed reduction, the traditional cannulated compression screw internal fixation method cannot effectively counteract the large shear force. To solve this problem, this study personalized an internally supported plate and used it in conjunction with the cannulated compression screw internal fixation protocol to improve treatment outcomes.
    OBJECTIVE: To compare the biomechanical performance of two internal fixation methods for Pauwels type III femoral neck fractures under gait loading: an "inverted triangle" arrangement of three screws and an "inverted triangle" arrangement of three screws combined with a medial support plate by finite element calculation.
    METHODS: Based on the CT scan data, inverse modeling was first performed using Mimics software to generate a point cloud model of the femur. Subsequently, the model was refined using Geomagic software to optimize its geometry and ensure the accuracy of the model. Finally, the processed model was imported into NX software to establish a femoral neck fracture model with a Pauwels angle of 70°. The mechanical and fatigue life results of the 3-nail [fully threaded (model 1), unthreaded (model 2)] model, 3-nail + personalized internal support plate [fully threaded (model 3), unthreaded (model 4)] model were computed based on the Ansys software for the gait loading.
    RESULTS AND CONCLUSION: (1) Under gait loading, the introduction of an internal support plate reduced the mean femoral stress compared with the 3-nail fixation approach, including a decrease in fracture and stump stresses of 6.6 MPa and 11.0 MPa, respectively; a decrease in displacement of 0.24 mm and 0.12 mm, respectively, and a decrease in relative displacement of the fracture surface. (2) The internal fixation method reduced the fatigue life of the bone system, and the life was reduced even more with the addition of the internal support plate. (3) It is concluded that finite element analysis is more sensitive to thread parameters, so the thread type and characteristics of the screws should be considered in model construction. The fixation method with the addition of an internal support plate reduces the level of stress and deformation and provides a more stable mechanical environment for bone healing compared with the threaded triple-nail fixation scheme only. In terms of fatigue life, the internal fixation method reduces the life span of the femoral system, and the higher the number of internal implants, the lower the life span, and the incorporation of the internal support plate resulted in the lowest longevity of the fixation scheme. (4) This suggests that the impact of implants on long-term healing should be fully considered when designing the fixation program, and the number of implants and fixation methods should be taken into account.
    Figures and Tables | References | Related Articles | Metrics
    Liposomal bupivacaine versus continuous ropivacaine infusion in adductor canal block for total knee arthroplasty
    Liu Chenglong, Wei Shanwen, Li Di, Zou Mingming, Ma Yanxia
    2026, 30 (21):  5421-5428.  doi: 10.12307/2026.775
    Abstract ( 9 )   PDF (1326KB) ( 7 )   Save
    BACKGROUND: Effective analgesia after total knee arthroplasty is crucial for rehabilitation, with adductor canal block being a commonly used method. Traditional single-injection local anesthetics provides limited analgesic duration, and continuous catheter infusion exhibits complexity and high cost.  
    OBJECTIVE: To compare the efficacy and safety of a single injection of liposomal bupivacaine versus continuous catheter infusion of ropivacaine hydrochloride for adductor canal block analgesia after total knee arthroplasty.  
    METHODS: Eighty patients undergoing primary unilateral total knee arthroplasty at Gaoyou People’s Hospital from March 2024 to February 2025 were randomly assigned to two groups: the liposomal bupivacaine group and the continuous infusion group. The liposomal bupivacaine group received a single adductor canal block injection of 133 mg (10 mL) liposomal bupivacaine mixed with 5 mL of 0.75% ropivacaine hydrochloride postoperatively. The continuous infusion group received an adductor canal block catheter placed near the saphenous nerve, connected to an analgesic pump delivering 0.25% ropivacaine hydrochloride (loading dose: 10 mL; infusion rate: 6 mL/h). Analgesic efficacy was assessed by comparing pain scores at various time points postoperatively, postoperative analgesia-free duration, morphine rescue consumption, and postoperative walking distance in both groups. Safety was evaluated by monitoring complications. Additionally, procedural time, cost, patient satisfaction, and hospital stay were compared between the two groups.  
    RESULTS AND CONCLUSION: (1) Pain scores at rest and during movement showed no significant differences between liposomal bupivacaine group and continuous infusion group at 6, 12, 24, 48, and 72 hours postoperatively (P > 0.05). The postoperative analgesia-free duration was 19 hours in the liposomal bupivacaine group and 22 hours in the continuous infusion group (P > 0.05). (2) Within 72 hours postoperatively, the liposomal bupivacaine group required an average of 78.6 morphine rescue treatments, while the continuous infusion group required 80.5, without significant differences (P > 0.05). (3) Procedural time was significantly shorter in the liposomal bupivacaine group (6.1±1.4 min) than in the continuous infusion group (20.3±1.2 min, P < 0.05). (4) No differences were observed in patient satisfaction, hospital stay, or walking ability (P > 0.05). (5) One case of quadriceps paralysis occurred in the continuous infusion group at 6 hours postoperatively but resolved spontaneously without further complications. Each patient in the liposomal bupivacaine group saved 132 RMB in analgesia-related costs. (6) It is concluded that within 72 hours after total knee arthroplasty, single-injection liposomal bupivacaine provided comparable analgesia to continuous ropivacaine infusion in terms of pain scores, postoperative analgesia-free duration, and morphine rescue requirements. Hospital stay, patient satisfaction, and functional recovery were similar. However, single-injection liposomal bupivacaine adductor canal block is more convenient, saves time, and reduces costs. 

    Figures and Tables | References | Related Articles | Metrics
    Finite element analysis of core decompression with ceramic rod implantation in osteonecrosis of the femoral head during the peri-collapse stage
    Liang Yingjie, Yuan Lingli, Geng Chunhui, Zhang Zhongchuan, Zheng Wenming, Hu Tengfei, Tang Haoxu, Zhang Kunkun
    2026, 30 (21):  5429-5436.  doi: 10.12307/2026.125
    Abstract ( 13 )   PDF (1786KB) ( 5 )   Save
    BACKGROUND: The elastic modulus of β-tricalcium phosphate bioceramic rods is close to that of normal bone tissue, and it exhibits excellent biocompatibility and mechanical properties. It can be used as a supporting material inside the femoral head after core decompression. However, there are few biomechanical studies on osteonecrosis of the femoral head and the changes in stress and displacement of the femoral head after ceramic rod implantation. 
    OBJECTIVE: To explore the biomechanical effects of core decompression with ceramic rod implantation in the treatment of osteonecrosis of the femoral head during the peri-collapse stage. 
    METHODS: A total of 21 hips were selected from 19 patients with osteonecrosis of the femoral head implanted with ceramic rods at the peri-collapse stage. Preoperative and postoperative imaging data were obtained, and relevant CT images were loaded in Mimics 21.0 software to construct a three-dimensional model of the femoral head. A global model of the proximal femur that includes cortical and cancellous bone, as well as a model of the proximal cancellous bone of the femur were created. The preoperative MRI image data of the patients were imported, and the necrotic lesion model was made by using the graphic matching technology, which was saved in .stl format. They were transferred to Geomagic 2012 software for smooth and precise surfacing processing. The ceramic rod was designed and modeled in SolidWorks 2021 software, and the relevant models were imported for assembly and Boolean operation. After ensuring that the interference check was correct, the stress and displacement of the weight-bearing area and necrotic area of the femoral head during the one-legged standing and walking post-pedal stages were calculated and observed by the ANSYS 2021 software.
    RESULTS AND CONCLUSION: (1) The area of maximum stress on the femoral head was located above the anterolateral aspect of the necrotic part, and the stress values of the postoperative weight-bearing area and necrotic area were significantly lower than those before operation when standing on one foot (P < 0.05). The risk of femoral head collapse was lower than that before operation (P < 0.05). (2) In the postoperative pedaling stage, with the increase of the load, the stress values and collapse risk of the postoperative weight-bearing area and necrosis area increased, but they were still lower than those before the operation (P < 0.05). (3) Medullary core decompression combined with ceramic rod implantation can help to reduce the load on the weight-bearing area of the femoral head surface, so that the stress in the weight-bearing area can be effectively dispersed, and the load part is transferred to the direction of the femoral moment, which can improve the local stress concentration state and effectively support the femoral head to prevent further collapse. 
    Figures and Tables | References | Related Articles | Metrics
    Non-infectious knee prosthesis loosening treated by revision with Sleeve extension rod combined with MBT prosthesis under the aid of pre-operative planning
    Cao Xun, Zheng Shanbin, Sun Jiahao, Chen Zhiyuan, Zhu Jiaqing, Ma Bowen, Xia Tianwei, Zhang Chao, Shen Jirong
    2026, 30 (21):  5437-5444.  doi: 10.12307/2026.621
    Abstract ( 12 )   PDF (1511KB) ( 7 )   Save
    BACKGROUND: With the widespread application of total knee arthroplasty in China, non-infectious prosthesis loosening has become one of the main reasons for postoperative revision. For complex loosening cases, traditional revision techniques are relatively complex and difficult. The application of artificial intelligence-assisted preoperative planning combined with Sleeve extension rods and mobile bearing tray prostheses provides a new solution for precisely reconstructing joint stability and mechanical alignment, which is expected to improve the long-term outcomes of revision surgeries.
    OBJECTIVE: To explore the mid-and early-term clinical efficacy of revision surgery for non-infectious total knee prosthesis loosening using Sleeve extension rods combined with mobile bearing tray prostheses under the assistance of artificial intelligence-assisted preoperative planning.
    METHODS: A retrospective analysis was conducted on 17 patients with non-infectious prosthesis loosening after total knee arthroplasty in Department of Orthopedics and Traumatology, Jiangsu Provincial Hospital of Traditional Chinese Medicine from January 2021 to September 2024. There were 6 males and 11 females, aged from 59 to 81 years old, with an average age of (72.06±6.10) years. There were 8 cases on the left side and 9 cases on the right side. The service life of the prosthesis ranged from 2 to 22 years, with an average of (10.53±4.60) years. All cases were revisions after primary replacement. The reasons for revision included periprosthetic osteolysis with liner wear in 15 cases, old femoral condyle fracture leading to prosthesis loosening in 1 case, and tibial plateau prosthesis fracture in 1 case. Among them, 13 cases were of AORI type IIB and 4 cases were of AORI type IIA. The prosthesis models designed by artificial intelligence before surgery were recorded and compared with the models actually used during surgery. The visual analog scale scores, American Knee Society knee scores, knee hip-knee-ankle angles, and knee joint ranges of motion of the patients before surgery, 1 week, 6, and 12 months after surgery were compared and the surgical efficacy was assessed. 
    RESULTS AND CONCLUSION: (1) Except for 1 case with poor wound healing 1 month after surgery, the rest of the patients recovered well without adverse events such as deep vein thrombosis of the lower extremities, infection, periprosthetic fracture, and prosthesis loosening. (2) The follow-up time ranged from 6 to 41 months, with an average of (23.63±12.50) months. At the last follow-up, two patients had slight soreness and discomfort after activity, and one patient had obvious pain during activity. (3) After revision treatment, the visual analog scale pain scores of the patients, rest pain, exercise pain, the range of motion of the affected side, hip-knee-ankle angle, and American Knee Society knee score were significantly improved (P < 0.01), with statistically significant differences. (4) The matching rate of the femoral condyle and tibial plateau prostheses designed by artificial intelligence pre-operatively was 85%; the matching rate of the remaining components was 62%. (5) It is concluded that the use of Sleeve extension rods combined with mobile bearing tray prostheses for non-infectious knee revision surgery can effectively correct the joint alignment, fill bone defects, relieve pain, improve the range of motion of the knee joint, and enhance the quality of life of patients with severe bone defects. The mid-and early-term postoperative efficacy is good. Artificial intelligence-assisted preoperative planning can help improve surgical accuracy, reduce surgical difficulty, minimize surgical risks, and promote postoperative recovery of patients.

    Figures and Tables | References | Related Articles | Metrics
    Establishment and validation of a high-fidelity finite element model of the wrist joint
    Xiong Wantao, Liu Guangwei, Wang Yuding, Su Xingyu, Cui Guopeng, Li Yongyao
    2026, 30 (21):  5445-5451.  doi: 10.12307/2026.189
    Abstract ( 4 )   PDF (1590KB) ( 4 )   Save
    BACKGROUND: Current finite element models of the wrist joint predominantly focus on osseous and ligamentous structures, with insufficient incorporation of musculotendinous components, thereby limiting their fidelity and accuracy.
    OBJECTIVE: To establish a high-fidelity finite element model of the wrist joint, providing a reference for in-depth biomechanical investigations.
    METHODS: Upper limb CT and MRI data from a 33-year-old healthy male volunteer were imported into Mimics 20.0. Threshold-based selection, region growing, and image segmentation techniques were employed to reconstruct wrist-related bones and soft tissues (including muscles). The model underwent surface optimization, patch generation, and meshing in SolidWorks 2020 and HyperMesh 14.0. Material property assignment and ligament-cartilage contact interfaces were implemented in ABAQUS 6.13 to construct a three-dimensional finite element model of the wrist joint. Stress distribution across wrist structures under axial compression was analyzed.
    RESULTS AND CONCLUSION: (1) A three-dimensional finite element model encompassing the ulna, radius, distal humerus, carpal bones, metacarpals, pronator teres, pronator quadratus, supinator, lateral muscle group, volar muscle group, dorsal muscle group, interosseous membrane, major ligaments, and cartilage structures was successfully established, comprising 759 191 elements and 245 510 nodes. The stress distribution pattern at the radiocarpal joint under axial compressive loading on the metacarpals was computationally analyzed and compared with cadaveric studies reported in literature, thereby validating the authenticity and effectiveness of the current model. (2) This investigation employed CT and MRI data to simulate and reconstruct comprehensive wrist joint osseous and soft tissue structures through computational methodologies. The model precisely delineates starting point and ending point of the muscle and characterizes contact interactions between forearm musculature and skeletal elements during muscle pathway simulations, ultimately resulting in a more realistic finite element model of the wrist joint.
    Figures and Tables | References | Related Articles | Metrics
    Unicompartmental knee arthroplasty for severe medial compartment osteoarthritis with moderate lateral involvement: clinical outcomes
    Cui Pengfei, Wen Zhangkun, Chen Fengjiang, Wang Zhen, Wang Changyao
    2026, 30 (21):  5452-5459.  doi: 10.12307/2026.619
    Abstract ( 10 )   PDF (3258KB) ( 3 )   Save
    BACKGROUND: In patients with severe medial compartment osteoarthritis of the knee combined with moderate lateral compartment osteoarthritis, it is controversial whether medial monondylar replacement alone can achieve satisfactory clinical benefit.
    OBJECTIVE: To compare and analyze the difference in clinical outcomes of unicompartmental knee arthroplasty and total knee arthroplasty in patients with heterogeneous degenerative changes of the knee (medial compartment Kellgren-Lawrence grade III-IV combined with lateral compartment Kellgren-Lawrence grade II). 
    METHODS: Knee arthroplasty patients with severe medial ventricular osteoarthritis combined with mild and moderate lateral ventricular osteoarthritis shown by preoperative knee X-ray were selected and divided into unicompartmental knee arthroplasty group and total knee arthroplasty group according to different operation methods, and 50 patients were included in each group according to 1:1 pairing. Western Ontario and McMaster University Osteoarthritis Index (WOMAC), American Knee Association Score, joint amnesia score, postoperative gait parameters, and complications were collected at 3, 6 months, 1 and 2 years after surgery, and the relevant data were statistically analyzed to compare the differences in postoperative efficacy between the two groups. 
    RESULTS AND CONCLUSION: (1) The American Knee Association Score and WOMAC scores of the unicompartmental knee arthroplasty group were better than those of the total knee arthroplasty group at 3, 6 months and 1 year after surgery (P < 0.05). Two years after surgery, American Knee Association Score and WOMAC score were not significantly different between two groups (P > 0.05). (2) There was no significant difference in joint amnesia score between the two groups 3 months after operation (P > 0.05). The joint amnesia score was higher in the unicompartmental knee arthroplasty group than that in the total knee arthroplasty group at 6 months, 1 year and 2 years after surgery (P < 0.05). (3) At 1 year after surgery, step speed and step length were better in the unicompartmental knee arthroplasty group than those in the total knee arthroplasty group (P < 0.05). No statistically significant differences in step frequency were detected between the two groups (P > 0.05). (4) No complications occurred in both groups within 2 years after operation. (5) Follow-up showed that unicompartmental knee arthroplasty was clinically equivalent to total knee arthroplasty in patients with severe medial compartment osteoarthritis (Kellgren-Lawrence III-IV) combined with moderate lateral compartment degeneration (Kellgren-Lawrence II) 2 years after surgery. Unicompartmental knee arthroplasty had a significant biomechanical advantage within 1 year after surgery. No significant progression of lateral interventricular osteoarthritis was observed during follow-up (Kellgren-Lawrence grade increase), but further long-term observation is needed. Before making decisions, doctors should establish a multi-dimensional evaluation framework (including patient age, exercise load expectation, unicompartmental knee arthroplasty operation amount of the surgeon, etc.), and fully inform patients of the risk of lateral compartment progression, and decide whether to perform unicompartmental knee arthroplasty after comprehensive assessment. 
    Figures and Tables | References | Related Articles | Metrics
    InterTAN versus proximal femoral nail anti-rotation for intertrochanteric fractures in the elderly: a comparison of joint function and stability
    He Yun, Yiliyaer · Abudusimu, Xu Bin, Wang Guosheng
    2026, 30 (21):  5460-5467.  doi: 10.12307/2026.622
    Abstract ( 10 )   PDF (2996KB) ( 7 )   Save
    BACKGROUND: Elderly patients with intertrochanteric fractures often have multiple medical comorbidities and significant osteoporosis, posing considerable challenges for treatment. Proximal femoral nail anti-rotation and InterTAN are both commonly used intramedullary fixation systems. However, there remains insufficient evidence regarding the optimal selection of fixation systems for patients with different medical conditions and fracture types.
    OBJECTIVE: To compare the clinical outcomes and complication differences between integrated compression screw and lag screw intertrochanteric nail (InterTAN) and proximal femoral nail anti-rotation in the treatment of elderly patients with intertrochanteric fractures.  
    METHODS: A prospective randomized controlled trial was conducted. A total of 118 elderly patients with intertrochanteric fractures who met the inclusion criteria were enrolled. Patients were randomly divided into groups. The proximal femoral nail anti-rotation group (59 cases) underwent internal fixation with proximal femoral nail anti-rotation, and the InterTAN group (59 cases) underwent internal fixation with InterTAN. Perioperative parameters, including operation time, intraoperative blood loss, fluoroscopy frequency, and hospital stay, were recorded. Follow-up assessments were conducted at 1, 3, 6, and 12 months postoperatively. The fracture healing rate, internal fixation stability, and complications were evaluated using Harris hip scores and imaging examinations.  
    RESULTS AND CONCLUSION: (1) Operation time, intraoperative blood loss, and fluoroscopy frequency in the proximal femoral nail anti-rotation group were significantly lower than those in the InterTAN group (P < 0.001). No significant difference was found in hospital stay (P > 0.05). (2) The fracture healing rates were similar between the two groups at 12-month follow-up (P > 0.05). At 12 months, the incidence of instability was significantly lower in the InterTAN group (P < 0.05). Harris scores in terms of pain, function, and joint mobility in the InterTAN group were significantly superior to those in the proximal femoral nail anti-rotation group (P < 0.05). There was no significant difference in overall complication rates between the two groups (P > 0.05). (3) These results indicate that proximal femoral nail anti-rotation has certain advantages in reducing perioperative trauma, whereas InterTAN demonstrates greater potential value in terms of fixation stability and functional recovery at the 1-year follow-up. Clinical selection of internal fixation systems should be based comprehensively on the patient's condition and fracture type.

    Figures and Tables | References | Related Articles | Metrics
    Relationship between gait parameter characteristics and joint function recovery after arthroscopic minimally invasive surgery in patients with knee osteoarthritis
    Fang Chao, Deng Miao, Wang Yang, Gao Fei, Li Jiahang, Yu Fangfang
    2026, 30 (21):  5468-5476.  doi: 10.12307/2026.221
    Abstract ( 5 )   PDF (1478KB) ( 5 )   Save
    BACKGROUND: There are individual differences in the effectiveness of arthroscopic surgery in improving knee osteoarthritis, and subjective scoring scales may be biased in evaluating the clinical efficacy of arthroscopic treatment for knee osteoarthritis.
    OBJECTIVE: To explore the correlation between gait parameters and joint function recovery in patients with knee osteoarthritis after arthroscopic surgery.
    METHODS: A total of 98 patients with knee osteoarthritis admitted to Chongqing Armed Police Corps Hospital from October 2023 to October 2024 were selected as the research subjects. According to Lysholm knee function score after 6 months of follow-up, they were divided into the excellent group (n=63) and the fair group (n=35). Clinical data including gender, age, body mass index, disease duration, respiration, heart rate, Kellgren-Lawrence grade, smoking history, drinking history, hypertension history, location of onset, and postoperative complications were collected. The intraoperative and postoperative indicators, as well as the knee joint function scores and gait parameters at different times before and after surgery were compared between the two groups. Multivariate Logistic regression was used to analyze the independent influencing factors of knee joint function recovery. Stratified regression analysis was conducted to explore the impact of different clinical and pathological characteristics after treatment on gait parameters. Generalized estimating equations were used to analyze the differences in gait parameters among patients with different knee joint functions after treatment. Generalized additive models were used to analyze the impact of gait parameters after treatment on the Lysholm score. Receiver operating characteristic curves were drawn to analyze the value of gait parameters in predicting the recovery of knee joint function after treatment.
    RESULTS AND CONCLUSION: (1) There were statistically significant differences in age, disease duration, Kellgren-Lawrence grade, and postoperative complications between the excellent group and the fair group (P < 0.05). (2) The fair group had longer operation time, more intraoperative blood loss, longer time for swelling to subside, and longer rehabilitation time than the excellent group (P < 0.05). (3) The fair group had higher Western Ontario and McMaster Universities Osteoarthritis Index and Visual Analogue Scale scores, and lower Lysholm scores, step frequency, and step speed than the excellent group (P < 0.05). (4) Logistic regression analysis showed that age, Kellgren-Lawrence grade, postoperative complications, and time for swelling to subside were independent risk factors for knee joint function recovery (P < 0.05). (5) Stratified regression analysis showed that age, Kellgren-Lawrence grade, time for swelling to subside, and postoperative complications had negative effects on step frequency and step speed (β < 0, P < 0.05). (6) Generalized estimating equation analysis showed that there was a correlation between the degree of knee joint function recovery and gait characteristics (β > 0, P < 0.05). (7) Generalized additive model analysis showed that the impact of step frequency and step speed on the Lysholm score after treatment was linear. (8) Receiver operating characteristic curve analysis showed that the combined detection of step frequency and step speed had higher predictive efficacy (Area under the curve > 0.85, P < 0.05). (9) It suggests that arthroscopic surgery for knee osteoarthritis can improve knee joint function. By dynamically tracking changes in postoperative gait parameters and combining with functional scoring scales, the correlation between step frequency, step speed, and the outcome of knee joint function can be revealed, further clarifying its clinical predictive value. This provides a new quantitative tool for clinical functional assessment and enables more precise postoperative rehabilitation guidance.
    Figures and Tables | References | Related Articles | Metrics
    Morphometric analysis of principal stress trabeculae in the proximal femur
    Cao Meng, Li Lun, Tian Simiao, Cao Fang, Song Liqun, Zhao Dewei
    2026, 30 (21):  5477-5484.  doi: 10.12307/2026.726
    Abstract ( 7 )   PDF (1803KB) ( 9 )   Save
    BACKGROUND: The principal compressive and tensile trabecular bones in the proximal femur are essential structures responsible for transmitting forces through the hip joint. Given their complex and heterogeneous composition, exploring their microstructural variations will help improve our understanding of principal stress trabeculae.
    OBJECTIVE: To extract trabecular microstructural information from various regions of femoral head specimens and study their morphometric patterns, elucidate the microstructural variations of principal stress trabeculae, and provide a theoretical basis for the design of future bionic hip prostheses.
    METHODS: Totally 11 fresh femoral heads were obtained from patients with femoral neck fractures. They were scanned by Micro-CT and reconstructed by image analysis software (InveonTM Acquisition Workplace). The principal compressive and tensile trabecular bones were segmented into five regions respectively. After selecting the volumes of interest for each region, morphometric analyses were subsequently performed on bone volume fraction, bone surface area fraction, trabecular thickness, trabecular number, trabecular spacing, trabecular pattern factor, and grayscale value.
    RESULTS AND CONCLUSION: (1) Among the principal compressive trabeculae, Region 5 exhibited the highest bone volume fraction, trabecular thickness, and grayscale value, followed by Region 4 and 1, with statistically significant differences between Region 5 and 1 (all P < 0.05). Moving from Region 3 to Region 2, 1, and Regions 4, 5, there was a decreasing trend in bone surface area fraction and trabecular number, accompanied by an increasing trend in trabecular thickness. (2) Among the principal tensile trabeculae, Region 3 displayed the highest values for bone volume fraction, trabecular thickness, trabecular number, and grayscale value, while Region 2 showed opposite trends, with statistically significant differences between the two regions, (excluding grayscale value; all 
    P < 0.001). (3) This study proposes a reliable method for extracting the volume of interest of principal stress trabeculae and introduces the novel concept that principal compressive trabeculae represent a functionally graded porous structure. These findings contribute new insights into the anatomical microstructure of principal compressive trabeculae and are expected to guide the future design of bionic hip prostheses.
    Figures and Tables | References | Related Articles | Metrics
    Correlation analysis between acetabular coverage and the onset of idiopathic osteonecrosis of the femoral head
    Huang Zhijian, Zhang Cheng, He Haijun, Dong Yawei, Sun Yifei, Gao Rui, Du Pengcheng
    2026, 30 (21):  5485-5493.  doi: 10.12307/2026.377
    Abstract ( 10 )   PDF (1746KB) ( 3 )   Save
    BACKGROUND: Current studies suggest that acetabular coverage may be a risk factor for idiopathic osteonecrosis of the femoral head; however, there is a lack of comparative studies on acetabular coverage among different subtypes of osteonecrosis of the femoral head.
    OBJECTIVE: To investigate the association between acetabular coverage and the onset of idiopathic osteonecrosis of the femoral head.  
    METHODS: Fifty-four patients (87 hips) with idiopathic osteonecrosis of the femoral head who were admitted to the Wangjing Hospital of the China Academy of Chinese Medical Sciences between January 2018 and June 2024 and a matched group of 162 patients (261 hips) were enrolled, including patients with steroid-induced osteonecrosis of the femoral head, alcohol-induced osteonecrosis of the femoral head, and patients without obvious hip joint disease. Four acetabular morphological parameters were measured on anteroposterior pelvic radiographs using standardized imaging methods: center-edge angle, Sharp angle, acetabular depth ratio, and acetabular head index. 
    RESULTS AND CONCLUSION: (1) The central-edge angle in the idiopathic osteonecrosis of the femoral head group was significantly smaller than that in the matched group [(27.4±4.5)° vs. (32.4±5.7)°], and the Sharp angle in the idiopathic osteonecrosis of the femoral head group was significantly larger than that in the matched group [(40.2±3.5)° vs. (38.7±2.9)°]. The acetabular depth ratio (276.4±33.3 vs. 319.3±31.6) and acetabular head index (82.4±5.1 vs. 85.4±4.2) in the idiopathic osteonecrosis of the femoral head group were significantly smaller than those in the matched group (all P < 0.001). (2) Compared with the steroid-induced osteonecrosis of the femoral head subgroup, the idiopathic osteonecrosis of the femoral head group had a smaller central-edge angle [(27.4±4.5)° vs. (33.0±5.2)°] and a larger Sharp angle [(40.2±3.5)° vs. (38.7±3.1)°], lower acetabular depth ratio and acetabular head index (all P < 0.05). (3) Compared with the alcoholic osteonecrosis of the femoral head subgroup, the idiopathic osteonecrosis of the femoral head subgroup also showed a smaller center-edge angle [(27.4±4.5)° vs. (32.7±5.4)°], a larger Sharp angle [(40.2±3.5)° vs. (38.7±3.0)°], and a lower acetabular depth ratio and acetabular head index (all P < 0.05). These results suggest that patients with idiopathic osteonecrosis of the femoral head have characteristic acetabular undercoverage, manifested by a reduced center-edge angle, increased Sharp angle, decreased acetabular depth ratio, and acetabular head index. This anatomical feature may serve as a potential risk factor for idiopathic osteonecrosis of the femoral head and aid in differentiating it from other subtypes of osteonecrosis of the femoral head. It is recommended to focus on acetabular morphology in clinical evaluations to optimize early screening and individualized intervention strategies. 
    Figures and Tables | References | Related Articles | Metrics
    Relationship between blood drug concentration and safety of vancomycin in patients with orthopedic infection determined by ultra-performance liquid chromatography-tandem mass spectrometry
    Wang Shili, Luo Yuan, Qiao Li, Yang Yonghong, Zhang Yujie, Zhang Shun
    2026, 30 (21):  5494-5502.  doi: 10.12307/2026.240
    Abstract ( 12 )   PDF (1650KB) ( 5 )   Save
    BACKGROUND: Vancomycin is widely used as a first-line drug for treating methicillin-resistant Staphylococcus aureus infections in orthopedic perioperative infection prevention and treatment. However, its narrow therapeutic window and large individual differences make blood drug concentration monitoring crucial for ensuring efficacy and safety.
    OBJECTIVE: To establish the ultra-performance liquid chromatography-tandem mass spectrometry method to determine the concentration of vancomycin in plasma, and explore the correlation of blood drug concentration changes with clinical efficacy and acute renal impairment.
    METHODS: Totally 200 orthopedic patients with bone infection who were hospitalized in Beijing Jishuitan Hospital Guizhou Hospital from January 2020 to May 2022 were selected. Blood drug concentration was measured by ultra-performance liquid chromatography-tandem mass spectrometry. Renal function indexes (blood creatinine and urea nitrogen) were monitored, and the clinical efficacy and acute renal impairment of patients with different blood drug concentration levels were analyzed. 
    RESULTS AND CONCLUSION: (1) The established ultra-performance liquid chromatography-tandem mass spectrometry method showed a linear range of 0.5-120.0 μg/mL (R²=0.997), with an intra-day relative standard deviation of 4.82%-6.57%, an inter-day relative standard deviation of 10.2%-12.3%, and an accuracy of 97.3%-106%. (2) The clinical effective rate in the group with a blood drug concentration of 10-20 μg/mL (82%) was significantly higher than that in the group with a blood drug concentration of < 10 μg/mL (67%) (P < 0.05). (3) The incidence of renal function impairment in the group with a trough blood drug concentration of > 20 μg/mL (35.0%) was significantly higher than that in the 10-20 μg/mL group (16.0%) and the < 10 μg/mL group (6.7%) (P < 0.05). (4) It is suggested that the established ultra-performance liquid chromatography-tandem mass spectrometry method is sensitive and accurate, and can be used for clinical monitoring of vancomycin blood concentration. Maintaining the blood drug concentration within the range of 10-20 μg/mL can achieve the best clinical efficacy and reduce the risk of nephrotoxicity. Monitoring blood drug concentration is of great significance for guiding individualized drug administration.
    Figures and Tables | References | Related Articles | Metrics
    Application of correction leverage technique in primary failure of distal locking screw during antegrade femoral intramedullary nailing
    He Zhiyu, Wan Zhihong, Huang Yu, Liu Anming, Wu Jiaqi, Wang Guoyou, Zhang Lei, Chen Xiaojun
    2026, 30 (21):  5503-5509.  doi: 10.12307/2026.206
    Abstract ( 6 )   PDF (1700KB) ( 4 )   Save
    BACKGROUND: Interlocking intramedullary nail fixation is the “gold standard” for the treatment of femoral shaft fractures, and the difficulty of distal locking nail implantation has always been a difficult problem to solve.
    OBJECTIVE: By comparing the clinical effects of correction leverage technique and free-hand locking nail technique, it is further explained whether the correction leverage technique can be fast and accurate. The distal locking screw of femoral intramedullary nail was placed without direct X-ray radiation exposure, so as to solve the difficulty of distal locking screw placement.
    METHODS: A total of 52 patients with femoral shaft fractures who experienced difficulty in distal locking screw placement during femoral interlocking intramedullary nail fixation at the Department of Orthopedics, Affiliated Traditional Chinese Medicine Hospital of Southwest Medical University between July 2022 and September 2024 were enrolled. Participants were randomly divided into two groups according to the implantation scheme: the correction leverage group (n=26) underwent the compression bar technique, while the freehand locking nail group (n=26) received conventional freehand locking screw placement for distal femoral intramedullary nail fixation. The distal locking screw placement time, X-ray projection times and first distal screw placement accuracy were compared between the two groups.
    RESULTS AND CONCLUSION: (1) The distal locking nail placement time in the correction leverage group was significantly shorter than that in the freehand locking nail group (t=-4.136, P < 0.001), with a statistically significant difference. (2) The number of X-ray fluoroscopies in the correction leverage group was less than that in the freehand locking nail group (t=-19.696, P < 0.001), with a statistically significant difference. (3) In terms of the accuracy of the first nail placement in both groups, the correction leverage group (100%) was higher than the freehand locking nail group (71%), with a statistically significant difference (x2=5.253, P < 0.05). (4) The results show that the correction leverage technique has the advantages of fast nail locking, high accuracy, and low X-ray radiation compared with pure freehand nail placement. This technique does not require other auxiliary equipment and is highly maneuverable. Further clinical validation is warranted for its widespread application in femoral shaft fracture fixation with interlocking intramedullary nailing.
    Figures and Tables | References | Related Articles | Metrics
    Application of a modified rectangular locking device in the treatment of femoral shaft fractures with intramedullary nailing
    Zhang Ping, Zhou Dafang, Chen Hui, Zhang Ying, Liu Qing, Shi Ce
    2026, 30 (21):  5510-5516.  doi: 10.12307/2026.188
    Abstract ( 8 )   PDF (2227KB) ( 2 )   Save
    BACKGROUND: Conventional rectangular targeting devices are divided into two modules, one left and one right, which hinders flexible intraoperative use and is prone to deformation and error. Even after connection, repeated fluoroscopic confirmation is still required for screw drilling and placement.
    OBJECTIVE: To investigate the key technology development and clinical application of a modified rectangular locking device for precise distal locking screw placement in intramedullary nailing of femoral shaft fractures. 
    METHODS: Medical records of patients with femoral shaft fractures admitted to Affiliated Suqian Hospital of Xuzhou Medical University and Suyu District People's Hospital from 2021 to 2023 were collected. Patients aged 18-65 years, diagnosed with femoral shaft fractures (AO classification: A, B, or C) by radiographic examination, who underwent closed reduction and intramedullary nailing with distal locking screw placement using the modified rectangular locking device, and whose clinical data (including medical history, radiographic findings, surgical records, and follow-up records) were selected. Forty-one eligible patients were included, including 30 males and 11 females, aged 20-62 years (mean, 41.17 ± 8.14 years). The following data were collected: number of intraoperative fluoroscopic examinations during distal locking screw placement, the locking success rate, the time to successful distal locking screw placement, the American Knee Society Score at 1 month after surgery and after fracture healing, and the time to fracture healing.
    RESULTS AND CONCLUSION: (1) Among 41 consecutive patients with femoral shaft fractures treated via intramedullary nailing using the modified rectangular locking device, intraoperative distal locking required 0–2 fluoroscopy attempts (mean 1.1±0.5), achieved a 98% success rate, and was completed within 6–10 minutes (mean 7.0±1.5 minutes). Postoperative 1-month American Knee Society Score ranged from 140 to 190 (mean 150±15). (2) Totally 38 cases completed the 12–24 months of follow-up. Fracture healing occurred at 9–14 months (mean 10.5±2.5 months), with post-healing American Knee Society Score improving to 150–190 (mean 185±8), yielding 35 excellent and 3 good outcomes. (3) These findings indicate that freehand locking, oblique fluoroscopy-guided locking, arthroscopy-assisted locking, and electromagnetic navigation-assisted locking, the modified device eliminates dependencies on specialized equipment (e.g., arthroscopy systems or electromagnetic navigators), reduces procedural complexity, ensures high accuracy and reproducibility, significantly minimizes radiation exposure, and requires minimal surgical expertise.

    Figures and Tables | References | Related Articles | Metrics
    Anatomical risk factor analysis of posterior cruciate ligament tibial avulsion fracture in adults
    Li Gen, Zhang Xichen, Sun Yingjin, He Chenglong, Gao Xuren
    2026, 30 (21):  5517-5523.  doi: 10.12307/2026.314
    Abstract ( 9 )   PDF (1384KB) ( 7 )   Save
    BACKGROUND: The anatomical morphology of the distal femur and proximal tibia has an important influence on the movement of the tibiofemoral joint, and its role in anterior cruciate ligament injury has been well described. However, the research on the anatomical risk factors of posterior cruciate ligament tibial avulsion fracture is still limited, and no unified consensus has been formed. 
    OBJECTIVE: To investigate the anatomical risk factors for posterior cruciate ligament tibial avulsion fracture.
    METHODS: The medical records of 53 patients who underwent surgical treatment for posterior cruciate ligament tibial avulsion fracture from March 2021 to September 2024 were retrospectively collected as the posterior cruciate ligament avulsion group (32 males and 21 females), and the data of 53 subjects without posterior cruciate ligament injury in the same period were included as the posterior cruciate ligament normal group (24 males and 29 females). The intercondylar notch width, femoral condyle width, intercondylar notch width index, intercondylar notch height, intercondylar notch shape index, intercondylar notch angle, Blumensaat's line inclination angle, medial tibial posterior slope, and lateral tibial posterior slope were measured and calculated in Magnetic Resonance Imaging to analyze the differences in the anatomical data of the two groups. Binary logistic regression analysis was used to determine the independent risk factors and to establish a risk factor model by receiver operating characteristic curve. 
    RESULTS AND CONCLUSION: (1) The intercondylar notch width index, intercondylar notch shape index, intercondylar notch angle, and medial tibial posterior slope of the posterior cruciate ligament tibial avulsion group were smaller than those of the posterior cruciate ligament normal group, and the differences were statistically significant (P < 0.05). The data of the two groups were not statistically different in the intercondylar notch width, femoral condyle width, intercondylar notch height, Blumensaat's line inclination angle, and lateral tibial posterior slope (P > 0.05). (2) Binary logistic regression found that the intercondylar notch width index was associated with posterior cruciate ligament tibial avulsion fracture. (3) It is indicated that patients with posterior cruciate ligament tibial avulsion fracture had smaller intercondylar notch width index, intercondylar notch shape index, intercondylar notch angle, and medial tibial posterior slope compared with those with a normal posterior cruciate ligament. The intercondylar notch width index was an independent risk factor for tibial avulsion fracture of the posterior cruciate ligament.
    Figures and Tables | References | Related Articles | Metrics
    Arthroscopy-assisted loop titanium plate versus clavicular hook plate for acute acromioclavicular joint dislocation: clinical efficacy and cost-effectiveness
    Li Kanglin, Gao Shihua, Jiang Yongdong, Huang Ziqi, Wu Yufeng
    2026, 30 (21):  5524-5533.  doi: 10.12307/2026.777
    Abstract ( 9 )   PDF (3460KB) ( 7 )   Save
    BACKGROUND: Surgical management of acute Rockwood type III-V acromioclavicular joint dislocations remains controversial. While clavicular hook plate fixation is widely adopted, it carries risks of postoperative complications. The emerging arthroscopy-assisted loop titanium plate technique, despite its minimally invasive advantages, requires further validation regarding long-term efficacy and cost-effectiveness.
    OBJECTIVE: To compare the clinical efficacy and cost-effectiveness of modified arthroscopic loop titanium plate fixation versus clavicular hook plate fixation for the treatment of acute Rockwood type III-V acromioclavicular joint dislocations.
    METHODS: Eighty eligible patients with acute Rockwood type III-V acromioclavicular joint dislocations admitted at Zhongshan Hospital of Traditional Chinese Medicine Affiliated to Guangzhou University of Chinese Medicine between January 2021 and July 2024 were enrolled and randomly assigned to either the loop titanium plate group (n=40) or the hook plate group (n=40). Ultimately, 31 and 33 patients in each group completed follow-up, respectively. The loop titanium plate group underwent fixation using the FixButtonTM suspension system with 2.4 mm bone tunnel drilling, while the hook plate group received open reduction and internal fixation with a clavicular hook plate. Outcome measures included operative time, incision length, intraoperative blood loss, hospitalization costs, visual analogue scale score for pain, Constant-Murley Score, coracoclavicular distance, acromioclavicular distance, and complication rates, with a follow-up period of 6 months.
    RESULTS AND CONCLUSION: (1) The loop titanium plate group had a longer operative time, shorter incision length, and less blood loss, but higher hospitalization costs (P < 0.05). (2) At 6 months postoperatively, the loop titanium plate group demonstrated a significantly higher excellent-good rate (94% vs. 82%; P < 0.05), lower visual analogue scale scores, higher Constant-Murley Score (P < 0.05), and better restoration of coracoclavicular and acromioclavicular distances (P < 0.05). (3) The total complication rate was lower in the loop titanium plate group (6% vs. 12%; P < 0.05). (4) It is concluded that although the modified arthroscopic loop titanium plate technique requires longer operative time and incurs higher costs, it can significantly reduce surgical trauma, alleviate pain, improve shoulder joint function, and lower the risk of complications. Its short-term clinical efficacy is superior. Despite the higher costs, the potential reduction in secondary surgeries may bring long-term economic benefits. It is more suitable for patients with high demands for incision aesthetics and functional recovery. Future studies with larger sample sizes and extended follow-up periods are warranted for further validation.

    Figures and Tables | References | Related Articles | Metrics
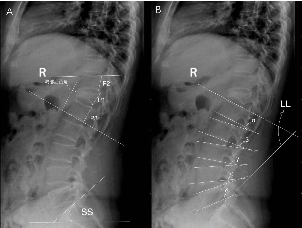
    Impact of disease duration on lumbar curvature correction in patients with rigid post-traumatic thoracolumbar kyphosis
    Yang Junjie, Zhang Hao, Chen Zhike, Chen Yao, Jia Bingxu, Wang Qing, Li Guangzhou, Wang Gaoju
    2026, 30 (21):  5534-5540.  doi: 10.12307/2026.097
    Abstract ( 8 )   PDF (1746KB) ( 5 )   Save
    BACKGROUND: Currently, most studies on rigid post-traumatic thoracolumbar kyphosis focus on overall sagittal balance and surgical intervention, while the effect of the disease duration on the change of lumbar compensatory curvature and degeneration is still unclear.  
    OBJECTIVE: To explore the effect of the disease duration on lumbar degeneration and the potential mechanism of rigid post-traumatic thoracolumbar kyphosis in patients with rigid post-traumatic thoracolumbar kyphosis, and provide a basis for optimizing treatment strategies. 
    METHODS: Clinical and imaging data from 79 rigid post-traumatic thoracolumbar kyphosis patients were retrospectively analyzed. The patients were divided into two groups according to the disease duration: Patients with a disease duration of ≤ 5 years were categorized as group A (n=40), and those with > 5 years as group B (n=39). X-ray images were used to measure the local kyphosis angle of the injured vertebra, the height of the posterior walls of the injured vertebra and adjacent vertebrae, lumbar lordosis, the intervertebral space angle for each lumbar segment, and sacral slope. The Weishaupt-CT classification system was employed to assess lumbar facet joint degeneration. Pfirrmann-MRI grading system was applied to evaluate disc degeneration. The visual analog scale for back pain, Oswestry Disability Index, SRS-22 and American Spinal Injury Association spinal injury grading were compared between the groups. The impact of disease duration on clinical symptoms and imaging characteristics of patients with rigid post-traumatic thoracolumbar kyphosis was analyzed.  
    RESULTS AND CONCLUSION: (1) There were no significant differences in age, gender, visual analog scale scores, fracture location, fracture type, or American Spinal Injury Association grading between the two groups (P > 0.05). Group A had a significantly higher SRS-22 score than group B (P < 0.05); Group B had a significantly higher Oswestry Disability Index score than group A (P < 0.05). (2) Group B had a substantially greater kyphosis angle of the injured vertebra, lumbar lordosis, and L4/5 intervertebral space angle than group A (P < 0.05). (3) There were no significant differences between groups A and B in the L1/2, L2/3, L3/4, or L5/S1 intervertebral space angles or sacral slope (P > 0.05). (4) Group B showed significantly greater facet joint degeneration at the L3/4, L4/5, and L5/S1 segments and significantly greater disc degeneration at the L2/3, L3/4, L4/5, and L5/S1 segments compared with group A (both P < 0.05). (5) Pearson correlation analysis indicated a positive correlation between disease duration and both the local kyphosis angle of the injured vertebra and lumbar lordosis in group B (r=0.335, 0.418, P < 0.05). (6) Over time,  rigid post-traumatic thoracolumbar kyphosis patients experience increased lumbar lordosis and accelerated lumbar degeneration, with the L4/5 segment playing a primary role in compensatory lumbar curvature. Surgical correction should focus on adjusting the lower lumbar curvature. 

    Figures and Tables | References | Related Articles | Metrics
    Comparison of stability of percutaneous minimally invasive pedicle screw insertion in thoracolumbar fractures through and across the injured vertebra under navigation
    Jia Yingao, Qiao Lina, Zhang Chao, Liang Jiawen, Xue Liang, Wang Fei
    2026, 30 (21):  5541-5548.  doi: 10.12307/2026.342
    Abstract ( 6 )   PDF (1703KB) ( 5 )   Save
    BACKGROUND: Recently, percutaneous minimally invasive pedicle screw fixation systems have become a popular treatment option for thoracolumbar fractures due to ongoing innovation in orthopedic internal fixation devices. Currently, while many studies compare the effectiveness of open pedicle screw fixation through or across the fractured vertebra, fewer studies compare these two methods when using navigation-assisted percutaneous minimally invasive techniques. 
    OBJECTIVE: To compare the clinical efficacy of percutaneous minimally invasive pedicle screw fixation in the treatment of thoracolumbar fracture through and across the injured vertebra.
    METHODS: A retrospective analysis was performed on 67 patients with single level thoracolumbar fracture without spinal cord nerve injury who were treated in the Department of Spine Surgery, Affiliated Hospital of Yan'an University from October 2021 to June 2023. All of them were treated with percutaneous pedicle screw fixation with the assistance of computer navigation, and were followed up to 6 months after surgery. The injured vertebrae were divided into transinjured vertebrae group (n=35) and cross-injured vertebrae group (n=32) according to whether or not the injured vertebrae were nailed. The general data, perioperative data, anterior vertebral height ratio, Cobb angle, visual analog scale score and Oswestry disability index of injured vertebra were compared before and after treatment between the two groups. Clinical efficacy of minimally invasive percutaneous transvertebral fixation and transvertebral fixation in thoracolumbar fracture patients without spinal cord nerve injury was compared. 
    RESULTS AND CONCLUSION: (1) There was no significant difference in preoperative general data between the two groups (P > 0.05), indicating comparability. (2) Intra-group comparison: anterior vertebral height ratio, Cobb angle, visual analog scale score and Oswestry disability index score of the injured vertebra were significantly improved 7 days and 6 months after surgery in both groups (P < 0.05). (3) Comparison between groups: The operative time, intraoperative blood loss, incision length, and intraoperative fluoroscopy times in the transinjured vertebrae group were significantly lower than those in the cross-injured vertebrae group, respectively; the differences were statistically significant (P < 0.05). However, there was no significant difference in hospitalization days between the two groups (P > 0.05). There was no significant difference in anterior vertebral height ratio, Cobb angle, visual analog scale score and Oswestry disability index score between the two groups at 7 days and 6 months after surgery (P > 0.05). (4) It is suggested that for patients with single level thoracolumbar fracture without spinal cord nerve injury, minimally invasive percutaneous pedicle screws across injured vertebrae have the advantages of shorter intraoperative time, less bleeding, smaller surgical incision, and low number of fluoroscopies than transinjured vertebrae. In short- and medium-term follow-up, both percutaneous minimally invasive transvertebral fixation and transvertebral fixation can effectively restore and maintain the height of the injured vertebra, correct kyphotic deformity, restore spinal stability and reduce pain, and obtain excellent clinical results. Less invasive transvertebral percutaneous fixation is recommended for patients with thoracolumbar fracture of AO type A with normal body mass index and no spinal nerve injury or posterior ligament complex injury.
    Figures and Tables | References | Related Articles | Metrics
    Perioperative hidden blood loss and risk factors in transforaminal lumbar interbody fusion calculated by a new method
    Peng Yujian, Xie Yu, Wang Qianliang, Jiang Fengxian
    2026, 30 (21):  5549-5555.  doi: 10.12307/2026.641
    Abstract ( 12 )   PDF (1222KB) ( 3 )   Save
    BACKGROUND: Transforaminal lumbar interbody fusion is one of the main surgical methods for treating degenerative lumbar diseases such as lumbar disc herniation, lumbar spinal stenosis, and lumbar spondylolisthesis. Hidden blood loss refers to the concealed loss of blood volume in patients, which is often overlooked by people.
    OBJECTIVE: To evaluate the perioperative blood loss during transforaminal lumbar interbody fusion using a new method, calculate the hidden blood loss based on the new method, and analyze its risk factors.
    METHODS: The medical records of 93 patients with lumbar degenerative diseases (lumbar spinal stenosis, lumbar disc herniation, and lumbar spondylolisthesis) who were hospitalized in the Department of Spine Surgery of Second Affiliated Hospital of Soochow University from October 2023 to October 2024 were retrospectively analyzed. The general data of patients were collected, such as age, gender, height, body mass, body mass index, and whether they had hypertension and diabetes; surgical data, such as the number of surgical segments, operation time, and American Society of Anesthesiologists anesthesia grade; laboratory tests, such as prothrombin time, activated partial thromboplastin time, international normalized ratio, platelet count, fibrinogen, and D-dimer level. Pearson or Spearman correlation analysis was used to explore the correlation between patient characteristics and postoperative hidden blood loss, and multivariate linear regression analysis was utilized to determine the independent risk factors for postoperative hidden blood loss. 
    RESULTS AND CONCLUSION: (1) The average hidden blood loss calculated by the new method for transforaminal lumbar interbody fusion was (284.24±352.76) mL, accounting for 58.6% of the total blood loss; while the average hidden blood loss calculated by the traditional surgical method was (165.77±339.89) mL, accounting for 34.15% of the total blood loss. The difference between the two was significant (P < 0.05). (2) In the univariate analysis, hidden blood loss was significantly correlated with the number of segments (r=0.213, P=0.040) and operation time (r=0.210, P=0.043) and negatively correlated with platelet count (r=-0.324, P=0.018). (3) In the multivariate linear regression analysis, decreased platelet count was an independent risk factor for hidden blood loss (P=0.016). (4) It is concluded that the new method was more accurate in estimating hidden blood loss, and hidden blood loss was an important part of the total blood loss during the perioperative period. Increased number of segments, prolonged operation time, and decreased platelet count were risk factors for hidden blood loss in transforaminal lumbar interbody fusion, among which decreased platelet count was an independent risk factor.
    Figures and Tables | References | Related Articles | Metrics
    X-ray imaging and finite element analysis of the L6-S1 intervertebral disc in rats under abnormal forward-flexed posture
    He Miao, Wu Gang, Zhang Xuxing
    2026, 30 (21):  5556-5564.  doi: 10.12307/2026.359
    Abstract ( 7 )   PDF (11588KB) ( 1 )   Save
    BACKGROUND: Our group developed a rat lumbar spine model inducing L6-S1 segmental degeneration by prolonged fixation in an abnormal forward-bending posture through a specific device. However, biomechanical evaluation of this model remains lacking.
    OBJECTIVE: To evaluate the biomechanical properties of L6-S1 motion segment in rats with abnormal forward bending posture through X-ray verification and finite element analysis.
    METHODS: This study utilized a previously established SD rat model of abnormal forward-flexed posture. Lateral X-ray images of three healthy female SD rats were taken in both restrained (unanesthetized) and relaxed (anesthetized) states to measure the L6-S1 disc angle and analyze its changes under different postures. Micro-CT data from one healthy female SD rat were used to reconstruct a 3D L6-S1 model with Mimics, Geomagic Wrap, and SolidWorks. The model was then meshed, assigned material properties, and subjected to forward flexion loading simulation in ANSYS Workbench to calculate stress distribution in L6-S1 disc structures. 
    RESULTS AND CONCLUSION: (1) The mean L6-S1 intervertebral disc angle was (12.16±0.57)° in the relaxed posture and (1.26±0.26)° in the restrained posture. (2) Under a 10° forward-flexed posture, the maximum von-Mises stress in the superior endplate, inferior endplate, annulus fibrosus, and nucleus pulposus of the L6-S1 intervertebral disc was 10.398, 19.928, 6.819, and 0.104 MPa, respectively. The maximum von-Mises stress in the superior and inferior endplates was significantly higher than in the annulus fibrosus and nucleus pulposus. (3) These findings suggest that in the 10° flexion modeling posture of the L6-S1 intervertebral disc, the reduction of the L6-S1 intervertebral disc angle leads to significant changes in disc morphology and load distribution. The constructed finite element model successfully simulated the biomechanical environment of the L6-S1 intervertebral disc under abnormal forward-flexed posture in rats. The superior and inferior endplates bear higher equivalent stress in this posture, making them the structures most likely to undergo early degenerative changes.
    Figures and Tables | References | Related Articles | Metrics
    Degree of paraspinal muscle fat infiltration predicts non-infectious poor wound healing following lumbar surgery
    Xiong Shishuo, Xiang Rong, Zhang Yukai, Lan Qing, Guo Haiwei, Tian Han, Zhong Yelin, Zhang Yinyin, Guo Zehua, Lu Wenhao, Li Ying
    2026, 30 (21):  5565-5572.  doi: 10.12307/2026.779
    Abstract ( 10 )   PDF (1793KB) ( 4 )   Save
    BACKGROUND: Non-infectious poor wound healing following lumbar surgery is a significant clinical complication that prolongs hospitalization and increases the risk of reoperation. However, its predictive indicators remain unclear. Based on the hypothesis that paraspinal muscle degeneration may impede tissue repair by altering the local microenvironment, this study aimed to investigate the predictive value of preoperative paraspinal muscle fatty infiltration for non-infectious poor wound healing and its association with osteoporosis.
    OBJECTIVE: To quantify the degree of paraspinal muscle fatty infiltration using preoperative MRI and evaluate its predictive value for non-infectious poor wound healing after lumbar surgery.
    METHODS: A retrospective analysis was conducted on medical records of 4 368 patients who underwent traditional open posterior lumbar surgery at Third Affiliated Hospital of Guangzhou University of Chinese Medicine between 2019 and 2024. We screened 190 patients with a postoperative hospital stay of 15 days or longer. Based on postoperative wound healing and infection indicators, patients with non-infectious poor healing were identified from these 190 patients and placed in a poor healing group (41 patients). The remaining 4 178 surgical patients were screened and their medical records and blood tests were reviewed. Patients with good healing were selected and placed in a good healing group (40 patients). The non-infectious poor healing group was further divided into an osteoporosis group and a non-osteoporosis group. Preoperative lumbar MRI images were analyzed using ImageJ software to measure and calculate the cross-sectional area of the psoas major muscle and the percentage of fat infiltration in the erector spinae and multifidus muscles.
    RESULTS AND CONCLUSION: (1) No significant differences were observed in baseline characteristics such as gender, age, or diabetes status between the poor healing group and the good healing group (P > 0.05). (2) There were significant differences in the functional cross-sectional area and fat infiltration percentage of the psoas major, erector spinae, and multifidus muscles between the poor healing group and the good healing group (P < 0.05). (3) Logistic regression analysis showed that the fat infiltration percentage was an independent risk factor for poor wound healing. (4) Receiver operating characteristic curve analysis showed that the fat infiltration percentage had a high predictive value for poor wound healing (area under the curve > 0.7). (5) One-way analysis of variance suggested that osteoporosis may be a risk factor for the degree of fatty infiltration of the L4 multifidus muscle (P < 0.05). (6) The results indicate that the percentage of fatty infiltration of the paraspinal muscles is an important indicator for predicting poor wound healing in patients undergoing traditional posterior open lumbar spine surgery, providing a clinical reference. Osteoporosis has also been shown to be a risk factor for the degree of fatty infiltration of the L4 multifidus muscle. However, due to the small sample size in this subgroup, further clinical trials are needed to confirm whether osteoporosis affects non-infectious poor wound healing after lumbar spine surgery. 
    Figures and Tables | References | Related Articles | Metrics
    Micromorphological characteristics of human scaphoid bone based on Micro CT imaging technology
    Zhang Dezhou, Lyu Yuan, , Li Kun, , Chen Jie, Yang Xiangrong, Zhao Hailong, Zhang Shaojie, Ma Yuan, Hao Yunteng, Yang Yang, Gao Mingjie, Wang Zhiqiang, Li Zhijun, Shi Jun, Wang Xing
    2026, 30 (21):  5573-5581.  doi: 10.12307/2026.774
    Abstract ( 11 )   PDF (3153KB) ( 14 )   Save
    BACKGROUND: Clinically, the unique anatomical characteristics and internal trabecular distribution of the scaphoid bone often result in poor fracture treatment outcomes, often leading to nonunion and avascular necrosis of the fracture, which in turn causes wrist arthritis and functional loss.
    OBJECTIVE: To analyze the internal microstructural characteristics of scaphoid bone specimens using Micro CT technology and measure the microstructural parameters of trabeculae in each region to identify regional differences in scaphoid trabeculae and provide a scientific basis for the prevention, treatment, and fracture mechanism research of scaphoid fractures.
    METHODS: Bilateral scaphoid bones from five adult cadaveric specimens (10 cases) were scanned with Micro CT. Trabeculae within three regions of interest (tuberosity, waist, and body) were selected and reconstructed to examine the microscopic morphology of the scaphoid bone in detail. The differences in trabecular microstructural parameters were measured and compared within each region.
    RESULTS AND CONCLUSION: (1) Micro CT images showed that the cortical bone on the surface of the scaphoid bone was relatively thin, while the interior was filled with complex trabecular microstructures. The lamellar trabeculae near the cortical bone were relatively dense, extending into rod-shaped trabeculae inward. Observations from sagittal, coronal, and transverse planes showed that the trabeculae were sparsely distributed in the waist, while they were densely distributed in the body and tuberosity. (2) The bone volume, bone surface, bone surface/total volume, trabecular separation, trabecular number, connectivity, connection density, fractal dimension, bone mineral density, and bone mineral content of the scaphoid bone were significantly different between the left and right sides (P < 0.05). There were no significant differences in the trabecular microstructural parameters of the waist and body between the left and right sides (P > 0.05). (3) The bone volume, bone volume fraction, bone surface, bone surface/total tissue volume, bone surface/total bone volume, bone mineral density, and bone mineral content of the scaphoid bone were significantly different between the body and the tuberosity, as well as the waist (P < 0.05); the trabecular thickness of the scaphoid bone was significantly different between the body and the tuberosity, as well as the waist (P < 0.05); the trabecular separation and fractal dimension of the scaphoid bone were significantly different between the body and the tuberosity, as well as the waist, and between the tuberosity and the waist (P < 0.05). The trabecular number, connectivity, and connection density of the scaphoid bone were significantly different between the waist and the tuberosity, as well as the body (P < 0.05). There were no significant differences in the tissue volume and anisotropy of the scaphoid bone between the body, tuberosity, and waist (P > 0.05). (4) The results showed that there were regional differences in the values of trabecular microstructural parameters of the scaphoid bone. The lumbar region had lower bone density and strength and was the most prone to fracture. This finding provides a theoretical basis for understanding the mechanism of scaphoid fracture from the perspective of trabecular microstructure. Furthermore, the trabecular structural characteristics of different parts of the scaphoid bone revealed in this study also provide a theoretical basis for the design of targeted internal fixation devices.
    Figures and Tables | References | Related Articles | Metrics
    Morphological measurement of anterior cervical pedicle screw placement assisted by Mimics three-dimensional CT reconstruction
    Hu Yin, Xing Le, Han Kangen, Li Junchao, Qian Mengran, Gu Hongwen, Yu Hailong, Wang Hongwei
    2026, 30 (21):  5582-5588.  doi: 10.12307/2026.697
    Abstract ( 10 )   PDF (2164KB) ( 4 )   Save
    BACKGROUND: The anterior transpedicular screw fixation system can achieve adequate decompression and strong fixation in a single anterior surgery. However, due to its unique anatomical structure, the risk of screw placement is relatively high. Previous domestic and international scholars have confirmed the feasibility of this approach through anatomical measurements, but there are some drawbacks such as relatively small sample sizes, difficulties in locating the pedicle axis, and limitations in measurement methods.
    OBJECTIVE: To perform morphological measurements of the adult cervical spine based on imaging to provide anatomical guidance for anterior transpedicular pedicle screw fixation.
    METHODS: 3D CT scan data of 50 adult cervical vertebrae were imported into the Mimics system for 3D reconstruction. Morphological data were measured, including pedicle axis distance, pedicle width, pedicle height, pedicle horizontal axial angle, pedicle sagittal angle, distance from the entry point in the transverse plane, distance to the entry point in the sagittal plane, axial vertebral length and axial pedicle length. 
    RESULTS AND CONCLUSION: (1) Positioning of nail entry points: C3 and C4 were located on the opposite side of the median sagittal plane of the vertebral body, with distances from the median sagittal line of approximately 2.060 mm and 2.310 mm. C5 could be located on the same side of the median sagittal line as or opposite to the median sagittal line, with an average value of approximately 1.224 mm. C6-C7 were located on the same side of the body, with distances from the center of the vertebral body of 1.132 mm and 2.538 mm; the distances of C3-C7 from the vertebral body of the upper endplates increasd gradually, with average values ranging from 2.362-7.350 mm. (2) In the direction of the entry point, the cross-sectional pinch angles: C3-4 gradually increased to 46.32°-47.36°, and C5-7 gradually decreased from 44.03° to 37.80°; the sagittal pinch angles: C3-C4 needed to be shifted caudally, with the angles of 95.75° and 100.93°; C5-C7 angles needed to be shifted toward the cephalad, with angles of 104.38°, 110.34°, and 104.86°, respectively. (3) There was no statistical significance in the positioning and orientation of the entry point between genders and sides 
    (P > 0.05). For screw selection, except for individual patients with abnormal cervical vertebral development, the vast majority of the lower cervical pedicle screws were selected to be at least 30-mm-long, 4.0-mm-diameter screws for males, and at least 28-mm-long, 3.5-mm-diameter screws for females for anterior transpedicular pedicle screw fixation, which could ensure their safety and reliability while to achieve bicortical screws. (4) Morphological measurements confirm that anterior transpedicular screw fixation of the lower cervical spine is feasible, but a personalized fixation plan should be developed based on individual needs.
    Figures and Tables | References | Related Articles | Metrics
    AI algorithm analysis for CT three-dimensional diagnosis and accurate assessment of posterior cruciate ligament tibial avulsion fractures
    Cheng Yongzhong, Li Rui, Luo Xiangli, Wang Fan, Chen Yang, Yan Wei
    2026, 30 (21):  5589-5596.  doi: 10.12307/2026.732
    Abstract ( 9 )   PDF (1933KB) ( 4 )   Save
    BACKGROUND: Surgical decision-making for posterior cruciate ligament avulsion fractures is highly dependent on imaging evaluation. Traditional methods rely on subjective interpretation of CT images, which suffer from limitations such as difficulties in quantifying three-dimensional spatial displacement parameters and insufficient precision in assessing rotational angles. Given the advancements in artificial intelligence (AI) technology, there is a need to develop automated, intelligent image recognition software based on AI algorithms.
    OBJECTIVE: To investigate the intelligent diagnostic capabilities of AI algorithms for posterior cruciate ligament tibial avulsion fractures in 3D CT images and their effectiveness in accurately assessing 3D parameters of fracture fragments.
    METHODS: Knee CT data from 24 patients with posterior cruciate ligament tibial avulsion fractures who were treated at the Wangjing Hospital of the China Academy of Chinese Medical Sciences between December 1, 2022, and August 30, 2024, were retrospectively collected. Three-dimensional reconstruction, intelligent fracture point recognition, and simulated reduction were performed using self-developed AI image recognition software. Translational and rotational parameters of the fracture fragments along the X, Y, and Z axes were obtained. The results were compared with those obtained using picture archiving and communication system (PACS system). The consistency of the two methods was assessed using the rank sum test, Bland-Altman analysis, and linear regression model. The coefficient of variation was calculated to assess software stability.
    RESULTS AND CONCLUSION: (1) No statistically significant differences were observed in fracture fragment displacement (translation/rotation along X/Y/Z axes) between AI and traditional methods (P > 0.05). (2) Bland-Altman analysis indicated good consistency between the two methods, with no significant differences (P > 0.05). (3) The R² values of the linear regression models for X, Y, and Z axis displacement and angle fitting were all > 0.99. (4) The coefficient of variation of the AI software for three repeated fracture point identifications showed that the coefficient of variation was < 20% for 21 imaging samples for total fracture identification and < 20% for 18 imaging samples for articular surface fracture identification. (5) This indicates that the AI image recognition software can accurately quantify the three-dimensional parameters of posterior cruciate ligament avulsion fracture fragments. Its measurement results are consistent with those of traditional methods and are highly stable. It can assist physicians in determining the degree of displacement and provide accurate data support for preoperative planning. This software has promising application prospects in the treatment of avulsion fractures. Future studies should expand the sample size and validate its impact on surgical outcomes.
    Figures and Tables | References | Related Articles | Metrics
    Diagnostic value of diffusion-weighted imaging with different diffusion sensitivity coefficients for spinal tuberculosis and Brucellar spondylitis
    Sun Na, Wang Hui, Zhao Guyue, Yu Honghao
    2026, 30 (21):  5597-5604.  doi: 10.12307/2026.696
    Abstract ( 6 )   PDF (1996KB) ( 8 )   Save
    BACKGROUND: Although the clinical manifestations of spinal tuberculosis and Brucella spondylitis are similar, the treatment options are different, and traditional imaging examinations are difficult to accurately distinguish them. Diffusion-weighted imaging can quantify the diffusion differences of water molecules in tissues through apparent diffusion coefficient, which may provide a new way for early identification. However, the correlation between apparent diffusion coefficient and inflammatory markers under different diffusion sensitivity coefficients is not clear.
    OBJECTIVE: To explore the clinical value of diffusion-weighted imaging with different diffusion sensitivity coefficients in the diagnosis of spinal tuberculosis and Brucella spondylitis, and to analyze the correlation between apparent diffusion coefficient and inflammatory indicators.
    METHODS: Sixty patients with spinal tuberculosis and 60 patients with Brucella spondylitis who were admitted and diagnosed in Shengjing Hospital Affiliated to China Medical University from June 2021 to June 2024 were randomly selected as the research objects. Among them, there were 35 males and 25 females in the spinal tuberculosis group, with an average age of (53.36±5.45) years. There were 38 males and 22 females in the Brucella spondylitis group, with an average age of (55.47±6.43) years. The area under the curve was used to evaluate the diagnostic value of diffusion-weighted imaging-apparent diffusion coefficient under different diffusion sensitivity coefficients in differentiating spinal tuberculosis from Brucella spondylitis. Pearson correlation analysis was used to test the relationship between variables. The apparent diffusion coefficients between operator A and operator B were compared using a paired t-test. The intraclass correlation coefficient was used to analyze the consistency of measurement between different operators and the same operator.
    RESULTS AND CONCLUSION: (1) There were significant differences in erythrocyte sedimentation rate, C-reactive protein, white blood cell level, and the distribution of lumbar and thoracic vertebrae involved between the two groups (P < 0.05). Spinal tuberculosis was most likely to affect the lumbar and thoracic vertebrae, and Brucella spondylitis was most likely to affect the lumbar spine. (2) The apparent diffusion coefficients of different vertebral bodies in spinal tuberculosis group were significantly higher than those in Brucella spondylitis group under different diffusion sensitivity coefficients (P < 0.05). In the same group, the apparent diffusion coefficient of lesion vertebral body and paravertebral abscess was significantly different under different diffusion sensitivity coefficients (P < 0.05). (3) When the diffusion sensitivity coefficient was 400 s/mm2, the apparent diffusion coefficient had the highest differential diagnostic efficacy. The sensitivity was 95.00% and the specificity was 96.67%. (4) The intraclass correlation coefficients of diffusion weighted imaging-apparent diffusion coefficient in patients with spinal tuberculosis and patients with Brucella spondylitis by different operators were all greater than 0.75. (5) Pearson correlation analysis showed that the apparent diffusion coefficient of the diseased vertebral body under different diffusion sensitivity coefficients (1.03×10-3-1.49×10-3 mm2/s) 
    was significantly correlated with erythrocyte sedimentation rate, C-reactive protein, and white blood cell level (P < 0.001). (6) It is concluded that diffusion weighted imaging is a simple and stable method for the detection of spinal tuberculosis and Brucella spondylitis. When the diffusion sensitivity coefficient is 400 s/mm2, the apparent diffusion coefficient of diffusion weighted imaging has the highest diagnostic efficiency for the differentiation of spinal tuberculosis and Brucella spondylitis, and the apparent diffusion coefficient of the diseased vertebral body under different diffusion sensitivity coefficients is closely related to the state of inflammation.
    Figures and Tables | References | Related Articles | Metrics
    Dynamic evolution of evaluation standards for effectiveness and safety after anterior cruciate ligament reconstruction in the knee
    Li Chengke, Gao Miaomiao, Lei Lei, Ma Rongxing, Zhang Jingyu, Hu Yongcheng
    2026, 30 (21):  5605-5613.  doi: 10.12307/2026.769
    Abstract ( 9 )   PDF (1903KB) ( 15 )   Save
    BACKGROUND: A combination of subjective and objective evaluation criteria is often required to more accurately and comprehensively assess knee function in patients undergoing anterior cruciate ligament reconstruction.
    OBJECTIVE: To review the evolving trends in effectiveness and safety evaluation criteria after anterior cruciate ligament reconstruction and analyze the dynamic shift in the use of subjective and objective assessment tools.
    METHODS: A systematic search of PubMed and Embase was conducted up to August 22, 2023 to identify studies assessing knee function after anterior cruciate ligament reconstruction. A total of 136 eligible studies meeting the inclusion criteria were included. The frequency of each evaluation standard was extracted and analyzed over time using Origin 2025 software.
    RESULTS AND CONCLUSION: (1) Between 1990 and 2005, objective measures were widely applied. Since 2005, subjective scoring systems, particularly patient-reported outcome measures, have increased sharply, surpassing objective standards in frequency from 2009 onward. (2) Early use was dominated by the Lysholm scale and Tegner activity score, while the International Knee Documentation Committee-Subjective Knee Form, Knee Injury and Osteoarthritis Outcome Score, and anterior cruciate ligament–return to sport after injury gradually emerged as the main tools in later years. (3) In contrast, objective assessments such as the KT1000/2000 arthrometer, Lachman test, and hop tests remained relatively stable but showed an overall downward trend. (4) This suggests that the evaluation criteria for the effectiveness and safety of anterior cruciate ligament reconstruction have shifted from a primary focus on objective knee stability to an emphasis on patient-reported experiences. (5) This study is the first to quantitatively reveal the dynamic evolution of mainstream assessment tools. Current clinical practice highlights the integration of subjective and objective measures, and we recommend the following combination: International Knee Documentation Committee-Subjective Knee Form or Knee Injury and Osteoarthritis Outcome Score, together with anterior cruciate ligament–return to sport after injury, plus either the KT1000/2000 arthrometer or hop tests. Such a framework provides a more comprehensive reflection of both functional recovery and patient perception, offering an evidence-based foundation for the development of future integrated evaluation systems.
    Figures and Tables | References | Related Articles | Metrics
    Bone grafting for repairing scaphoid nonunion
    Guo Wen, Gao Binli, Wang Yang, Lin Sen
    2026, 30 (21):  5614-5620.  doi: 10.12307/2026.327
    Abstract ( 5 )   PDF (1307KB) ( 6 )   Save
    BACKGROUND: Due to the relatively special symptoms and anatomical structure of scaphoid fractures, untreated fractures or those with delayed treatment often lead to non-union of the fracture, carpal joint collapse, or loss of function, subsequently resulting in persistent or intermittent pain, swelling, and limited mobility in the carpal joint. Currently, although there are a wide variety of bone grafting techniques and the choice of treatment methods is complex, there is still no consensus on which bone grafting surgical method is superior.
    OBJECTIVE: To review the research status of scaphoid nonunion, summarize different bone grafting surgeries for the treatment of nonunion of fractures at home and abroad in recent years, explore the clinical efficacy, advantages and disadvantages of various bone grafting techniques, and provide guidance for clinical diagnosis and treatment.
    METHODS: A computer was used to search for relevant articles published in the PubMed, MEDLINE, EMBASE, CNKI, China Medical Library, VIP, and WanFang databases from 1980 to 2024. The Chinese and English search terms were “scaphoid nonunion, surgery, bone graft, bone flap, scaphoid proximal pole.” A total of 687 articles were retrieved, and 54 articles were selected for review through inclusion and exclusion criteria.
    RESULTS AND CONCLUSION: (1) Non-vascularized graft is still the mainstream treatment for scaphoid nonunion. Among them, simple cancellous bone transplantation has fast bone formation (healing rate 85%-100%) and is suitable for cases without deformity; cortical cancellous bone has strong support (healing rate 88%-93%), which is more conducive to restoring the morphology of the scaphoid. (2) There is no significant difference in the healing rate between iliac bone and distal radial donors, but the distal radial donor site has fewer complications (5% vs. 18%). (3) Vascularized grafts can significantly improve the efficacy of complex cases: the healing rate of radial styloid bone flap is 81%-92%; the healing rate of pronator quadratus pedicle flap is 93.3%; the free medial femoral condyle flap has outstanding effect in reconstructing the articular surface (healing rate 95%), and the success rate of free iliac bone flap is up to 91.7%-100%, but the technical requirements are high. (4) The treatment of scaphoid fracture nonunion must follow the principle of individualization: bloodless transplantation is suitable for simple fractures with good blood supply, while blood-supply transplantation is for ischemic necrosis or complex deformities. (5) In the future, standardized imaging evaluation (such as MRI grading), bioenhancement technology (bone morphogenetic protein 2, 3D printing scaffolds), and microsurgery should be popularized to improve the efficacy, and the optimal plan should be formulated in combination with the patient's age and occupational needs to balance functional recovery and complication prevention and control.
    Figures and Tables | References | Related Articles | Metrics
    Meta-analysis of application effect of 3D-printed artificial vertebral bodies in anterior cervical corpectomy and fusion
    Wu Ronghai, Zheng Zhouhang, Chen Huan, You Dongchun, Guo Weifeng, Liu Xingming, Zhang Yu
    2026, 30 (21):  5621-5628.  doi: 10.12307/2026.698
    Abstract ( 4 )   PDF (2337KB) ( 4 )   Save
    OBJECTIVE: In recent years, many scholars have applied 3D-printed artificial vertebrae to anterior cervical vertebral subtotal vertebral resection and bone grafting fusion, but whether it is more effective than traditional titanium cages remains controversial. This study aims to systematically evaluate the effectiveness and safety of 3D-printed artificial vertebrae compared with traditional titanium cages as implants for anterior cervical corpectomy and fusion in the treatment of spondylosis.
    METHODS: Databases such as CNKI, WangFang, CBM, VIP, PubMed, EMBASE, and The Cochrane Library were searched to collect the clinical research on the application of 3D-printed artificial vertebrae in anterior cervical corpectomy and fusion from the establishment of each database to February 2025. After screening the literature, extracting the data and evaluating the methodological quality of the included studies, the meta-analysis was performed using Rev Man 5.4.
    RESULTS: (1) A total of 10 articles were included, including 2 prospective randomized controlled studies, 6 retrospective cohort studies, and 2 prospective cohort studies all of which were high-quality studies. The included literature comprised a total of 534 patients, including 273 in the 3D printing group and 261 in the control group. (2) The results of the meta-analysis showed that operation time [SMD=-1.13, 95%CI (-1.87, -0.39), P=0.003], the loss of disc height at the last follow-up [SMD=-3.01, 95%CI (-5.74, -0.29), P=0.03], the Neck Disability Index score (postoperative 3 months) [SMD=-0.34, 95%CI(-0.66, -0.03), P=0.03], the prosthesis subsidence rate [OR=0.19, 95%CI (0.11, 0.32), P < 0.000 01], and the incidence of postoperative dysphagia [OR=0.43, 95%CI (0.21, 0.90), P=0.03] were better in the 3D printing group than those in the control group, with significant differences. There was no statistically significant difference in the amount of intraoperative blood loss, hospital stay, postoperative Japanese Orthopaedic Association score, postoperative Visual Analog Scale score, postoperative Neck Disability Index score (6 months after surgery, at the last follow-up), and the rate of vertebral fusion between the two groups (P > 0.05). 
    CONCLUSION: Compared with traditional titanium cages, 3D-printed artificial vertebrae have obvious advantages in improving surgical efficiency, maintaining postoperative intervertebral height, reducing the incidence of postoperative swallowing discomfort and titanium cage subsidence. 
    Figures and Tables | References | Related Articles | Metrics