Loading...

Table of Content

    28 August 2026, Volume 30 Issue 24 Previous Issue   
    For Selected: Toggle Thumbnails
    Bushen Tongshi Pills improves osteogenic disorders in alcoholic femoral head necrosis rats
    Wang Weiwei, Ding Qiang, Rong Xiangbin, Guo Liang, Zhao Canbin, Tao Hongcheng, Niu Chicheng, Liu Jinfu, Zeng Ping
    2026, 30 (24):  6165-6173.  doi: 10.12307/2026.184
    Abstract ( 60 )   PDF (7782KB) ( 18 )   Save
    BACKGROUND:  Bushen Tongshi Pills has been proven to delay the progression of collapse in alcoholic femoral head necrosis, but the mechanism is still unclear.
    OBJECTIVE: To explore the mechanism by which Bushen Tongshi Pills improve osteogenic disorders of alcoholic femoral head necrosis. 
    METHODS: Fifty male Sprague-Dawley rats were randomly divided into a control group, a model group, and low, medium, and high dose groups of Bushen Tongshi Pills, with 10 rats in each group. Except for the control group, the other groups were fed with Lieber DeCarli liquid food containing ethanol for 8 weeks to establish an alcoholic femoral head necrosis model. At the same time, the low, medium, and high dose groups of Bushen Tongshi Pills were given 1.05, 2.1, and 4.2 g/kg of Bushen Tongshi Pills by gavage per day, respectively. After 8 weeks, Micro-CT was used to observe the overall morphology of the femoral head. Hematoxylin-eosin staining was used to observe the pathological morphology of the femoral head. Enzyme-linked immunosorbent assay was used to detect the levels of interleukin-1β and interleukin-18 in rat serum. Immunohistochemistry staining and western blot assay were used to detect nucleotide-binding oligomerization domain, leucine-rich repeat and pyrin domain-containing protein 3, Caspase-1, Gasdermin D, Runt related transcription factor 2, osteocalcin, and type I collagen, while the mRNA expression levels of the above genes were quantified by RT-qPCR. 
    RESULTS AND CONCLUSION: (1) Micro-CT and hematoxylin-eosin staining results showed that the medium- and high-dose Bushen Tongshi Pills could significantly improve the bone loss and pathological morphology development of the femoral head in the model rat of alcoholic femoral head necrosis. (2) The enzyme-linked immunosorbent assay results showed that compared with the control group, the levels of interleukin-1β and interleukin-18 in the serum of the model group rats were significantly increased (P < 0.05); compared with the model group, the levels of interleukin-1β and interleukin-18 in the serum of rats were significantly decreased in each dose group of Bushen Tongshi Pills (P < 0.05), and decreased in a dose-dependent manner. Among them, the high-dose group of Bushen Tongshi Pills showed the most significant decrease (P < 0.05). (3) Immunohistochemistry, western blot assay, and RT-qPCR results showed that compared with the control group, the protein and mRNA expression levels of the nucleotide-binding oligomerization domain, leucine-rich repeat and pyrin domain-containing protein 3, Caspase-1, Gasdermin D in the model group were significantly upregulated (P < 0.05), while the protein and mRNA expression levels of Runt-related transcription factor 2, osteocalcin, and type I collagen were significantly downregulated (P < 0.05). Compared with the model group, the protein and mRNA expression levels of the nucleotide-binding oligomerization domain, leucine-rich repeat and pyrin domain-containing protein 3, Caspase-1, Gasdermin D in each dose group of Bushen Tongshi Pills were downregulated in a dose-dependent manner, while the protein and mRNA expression levels of Runt-related transcription factor 2, osteocalcin, and type I collagen were upregulated in a dose-dependent manner. Among them, the high-dose group of Bushen Tongshi Pills showed the most significant upregulation (P < 0.05). (4) The western blot assay results showed that compared with the control group, the expression levels of cleaned-Caspase-1, dermatin D-N protein, cleaned-Caspase-1/Caspase-1 ratio, and dermatin D-N/dermatin D ratio in the femoral head of the model group rats were significantly upregulated (P < 0.05). Compared with the model group, the expression levels of cleaned-Caspase-1, dermatin D-N protein, and dermatin D-N/dermatin D ratio were significantly downregulated in each dose group of Bushen Tongshi Pills (P < 0.05). Compared with the model group, the cleaned-Caspase-1/Caspase-1 ratio was significantly downregulated in the medium and high dose groups of Bushen Tongshi Pills (P < 0.05). To conclude, Bushen Tongshi Pills potentially attenuate inflammatory cytokine release through the nucleotide-binding oligomerization domain, leucine-rich repeat and pyrin domain-containing protein 3/Caspase-1/Gasdermin D pathway and enhance osteogenic differentiation, thereby promoting bone tissue regeneration in the rat model of alcoholic femoral head necrosis.

    Figures and Tables | References | Related Articles | Metrics
    Characteristics of lower limb muscle motor activation in patients with unilateral knee osteoarthritis
    Shao Yunbo, Guo Jiayi, Li Feng
    2026, 30 (24):  6174-6181.  doi: 10.12307/2026.178
    Abstract ( 66 )   PDF (3791KB) ( 35 )   Save
    BACKGROUND: There are mechanical changes in the lower limb muscles in patients with knee osteoarthritis. These changes can be objectively reflected through surface electromyography. Currently, there is limited research on abnormal electrophysiological signals of lower limb muscles, especially of calf muscles, during walking in patients with unilateral knee osteoarthritis.
    OBJECTIVE: To investigate the motor activation status and activation mode of the medial thigh muscle, lateral thigh muscle, tibialis anterior muscle, and gastrocnemius muscle during daily walking in patients with unilateral knee osteoarthritis using surface electromyography. 
    METHODS: Fifty subjects with unilateral knee osteoarthritis who met the inclusion criteria underwent surface electromyography walking tests. The target muscles were the medial thigh muscle, lateral thigh muscle, anterior tibialis muscle, and gastrocnemius muscle. The walking time was 60 seconds. Surface electromyography signals were collected from both healthy and affected sides. The main observation indicators were root mean square value, integrated electromyography value, median frequency, and muscle contraction ratio. Whether there is an abnormal activation status and its characteristics of lower limb muscles in unilateral knee osteoarthritis patients were investigated by surface electromyography. The abnormal movement activation of lower limb muscles in unilateral knee osteoarthritis patients during normal activities was investigated. 
    RESULTS AND CONCLUSION: (1) During the walking process,  integrated electromyography and root mean square values of the affected medial femoral muscle and lateral femoral muscle were significantly lower than those of the healthy side (P < 0.001). The median frequency value of the affected medial femoral muscle and lateral femoral muscle was significantly lower than that of the healthy side (P < 0.001), and the median frequency shift to the low frequency was more significant. The fatigue risk was more significant than that of the healthy side. (2) The integrated electromyography and root mean square values of the affected tibial anterior muscle during walking were significantly higher than those of the healthy side (P < 0.001). The median frequency value of the affected tibial anterior muscle was significantly lower than that of the healthy side (P < 0.001), and the median frequency shift to the lower frequency was more significant compared with the healthy side. The risk of fatigue was significantly higher than that of the healthy side. (3) The integrated electromyography and root mean square values of the gastrocnemius muscle on the affected side during walking were significantly higher than those of the healthy side (P < 0.001). The median frequency value of the gastrocnemius muscle on the affected side did not show a significant excessive deviation compared with the healthy side (P > 0.05), and the fatigue degree of both the healthy and affected sides was relatively consistent. (4) The ratio of muscle activation on the affected side was significantly lower than that on the healthy side (P < 0.001), and the activation of the medial femoral and lateral femoral muscles on the affected side was significantly unbalanced compared with the healthy side. To conclude, when unilateral knee osteoarthritis patients undergo daily walking, the medial femoral and lateral femoral muscles have significant inadequate activation and reduced activation efficiency. The degree of fatigue is high, and there is a significant fatigue risk. This is significantly unbalanced for muscle activation, which is not conducive to the stability of the movement and joint balance of the knee joint. The affected tibial anterior muscle and gastrocnemius muscle have significant compensatory activation and abnormal co-activation levels, which are important factors that aggravate joint stiffness. Among them, the compensation of the anterior tibial muscle is the most obvious, and there is fatigue muscle atrophy.
    Figures and Tables | References | Related Articles | Metrics
    Mechanical loading of the patellofemoral joint and its correlation with various body mass indices in older adults practicing Tai Chi exercises
    Li Guangmin, Wang Jiangna
    2026, 30 (24):  6182-6188.  doi: 10.12307/2026.166
    Abstract ( 60 )   PDF (2220KB) ( 154 )   Save
    BACKGROUND: As the aging population grows in China, overweight and obesity are increasingly leading to lower limb joint injuries in older adults.
    OBJECTIVE: To compare the biomechanical data of the lower limb patellofemoral joint during Tai Chi movements and normal walking among older adults with different body mass indices, analyze the correlation between body mass index and biomechanical data of the lower limb patellofemoral joint, and investigate the impact of different body mass indices on the mechanical loading of the patellofemoral joint in older adults.
    METHODS: The older adults with obesity (n=17), overweight (n=17), and normal body mass index (n=19) who had been practicing Tai Chi for an extended period were recruited based on body mass index classification. The VCION 3D infrared motion capture system and Kistler force measurement system were used to collect kinematic and dynamic data during typical Tai Chi movements and normal walking. A biomechanical model of the patellofemoral joint was established to calculate biomechanical parameters of the patellofemoral joint. The effects of body mass index on the mechanical characteristics of the patellofemoral joint during walking and Tai Chi in the older adults were quantified using analysis of variance and correlation analysis.
    RESULTS AND CONCLUSION: (1) Compared with the normal group, patellofemoral joint force (P < 0.05) and peak patellofemoral joint contact area during normal walking (P < 0.05) and the knee flexion torque, patellofemoral joint force, and quadriceps muscle strength during Tai Chi movements were significantly decreased (P < 0.05) in the overweight and obesity groups. (2) The body mass index of the older adults was significantly negatively correlated with the peak knee flexion angle, peak patellofemoral contact area, and minimum patellofemoral joint contact area during the Tai Chi rolling arm movement (P < 0.05). The body mass index of the older adults was significantly negatively correlated with the peak knee flexion torque in the sagittal plane, peak patellofemoral joint force, minimum patellofemoral joint force, peak quadriceps force, maximum knee-joint angle, maximum patellofemoral contact area, and minimum patellofemoral contact area during the brush-knee and twist-step of Tai Chi movement (P < 0.05). The results suggest that as body mass index increases, dynamic loading on the patellofemoral joint in the lower limbs during Tai Chi movements decreases in the older adults. Compared to individuals with standard body mass, overweight and obese older adults exhibit a significant reduction in the peak force of the patellofemoral joint during Tai Chi brush knee and twist step, indicating lower dynamic loading on the patellofemoral joint of the lower limbs. Therefore, Tai Chi is recommended as a fitness exercise program for overweight and obese older individuals to prevent sports injuries from high mechanical loading on the lower limb joints.

    Figures and Tables | References | Related Articles | Metrics
    Serum remnant cholesterol reduces bone quality in obese mice
    Hou Xiaoli, Cao Fuyuan, Gao Jingyuan, Xing Lei, Liu Ning, Zhang Nan, Fan Xinhao, Cao Guolong, Tian Faming
    2026, 30 (24):  6189-6195.  doi: 10.12307/2026.164
    Abstract ( 54 )   PDF (5013KB) ( 38 )   Save
    BACKGROUND: High cumulative remnant cholesterol levels are associated with the risk of various metabolic diseases, but their impact on bone quality remains to be explored.
    OBJECTIVE: To investigate the effects of high cumulative remnant cholesterol levels on bone mass, microstructure, and biomechanical properties in high-fat diet treated mice.
    METHODS: Ten healthy male SPF-grade C57BL6 mice were randomly allocated into normal control group and high-fat diet group. The normal control group was fed a normal diet for 20 weeks, while the high-fat diet group was fed a high-fat, high-cholesterol diet for 20 weeks. Mouse body mass was detected every week. After 20 weeks of feeding, samples were collected to measure serum total cholesterol, residual cholesterol, low-density lipoprotein cholesterol, high-density lipoprotein cholesterol, cross-linked carboxy-terminal telopeptide of type I collagen, and N-terminal propeptides of procollagen type I levels. Micro-CT was used to assess the microstructure of trabecular and cortical bone in the femur. The three-point bending test was employed to determine the elastic modulus and maximum stress of the femur. RT-qPCR was used to detect mRNA expression of RUNT-related transcription factor 2, type I collagen, osteocalcin, alkaline phosphatase, osteoprotegerin, nuclear factor κB receptor activator ligand, activated T cell nuclear factor 1, and cathepsin K in the tibia. The Pearson correlation method was used to analyze the correlation between residual cholesterol, total cholesterol, high-density lipoprotein cholesterol, and low-density lipoprotein cholesterol levels and bone mineral density, as well as the correlation between residual cholesterol levels and bone volume fraction, trabecular number, structural model index, and trabecular separation. 
    RESULTS AND CONCLUSION: (1) Compared with the normal control group, the high-fat diet group showed significant increases in body mass, levels of serum remnant cholesterol and cross-linked carboxy-terminal telopeptide of type I collagen (P < 0.05). (2) Micro-CT analysis revealed that compared with the normal control group, the high-fat diet group showed more obvious degeneration of bone microstructure, specifically manifested as a significant decrease in trabecular bone mineral density, bone volume fraction, trabecular connectivity density, and trabecular number, and a significant increase in trabecular separation, structural model index, and trabecular pattern factor (P < 0.05), but no significant changes in cortical bone thickness, volume, and area (P > 0.05). Biomechanical analysis results indicated no significant differences in the elastic modulus and maximum stress of the femur between the two groups of mice (P > 0.05). (3) RT-qPCR analysis showed that compared with the normal control group, the mRNA expression levels of RUNT-related transcription factor 2, type I collagen, osteocalcin, alkaline phosphatase, and osteoprotegerin were significantly downregulated in the high-fat diet group (P < 0.05), while the mRNA expression levels of activated T cell nuclear factor 1 and cathepsin K were significantly upregulated in the high-fat diet group (P < 0.05). (4) Pearson correlation analysis revealed a negative correlation between remnant cholesterol and total cholesterol with bone mineral density (P < 0.05), with remnant cholesterol showing a significantly negative correlation with bone volume fraction and trabecular number (P < 0.05) and a significantly positive correlation with structural model index and trabecular separation (P < 0.05). These findings indicate that remnant cholesterol may impact bone quality by disrupting the balance of bone turnover.
    Figures and Tables | References | Related Articles | Metrics
    Molecular dynamic characteristics of rat gastrocnemius muscle under acute and short-term exercise intervention during the subacute phase of spinal cord injury
    Wei Xinyi, Zheng Yan, Chen Qian, Ren Jiajia, Li Jian
    2026, 30 (24):  6196-6206.  doi: 10.12307/2026.293
    Abstract ( 51 )   PDF (9795KB) ( 21 )   Save
    BACKGROUND: Spinal cord injury triggers a cascade of neuro-muscular system damage, involving central pattern generator dysfunction and peripheral muscle molecular network disruptions. Exercise can regulate key genes and promote the recovery of spinal cord injury.
    OBJECTIVE: To identify exercise-regulated key genes through bioinformatics analysis and explore the mechanisms by which exercise intervention facilitates the recovery of spinal cord injury. 
    METHODS: The GSE45550 dataset based on the GPL1355 platform was obtained from the Gene Expression Omnibus (GEO) database. Differentially expressed genes regulated by acute and short-term exercise interventions during the subacute phase of spinal cord injury in rats were identified. Gene Ontology functional enrichment analysis, Kyoto Encyclopedia of Genes and Genomes pathway analysis, and Gene Set Enrichment Analysis were performed on these differentially expressed genes, and a protein-protein interaction network was constructed.
    RESULTS AND CONCLUSION: (1) After acute exercise intervention in the subacute phase of spinal cord injury, 106 genes were upregulated and 97 genes were downregulated in the gastrocnemius muscle, whereas short-term exercise intervention resulted in 138 upregulated and 105 downregulated genes. (2) Gene Ontology analysis showed that acute exercise mainly enriched genes related to chromosome segregation, while short-term exercise primarily promoted signal transduction processes. Kyoto Encyclopedia of Genes and Genomes analysis revealed that acute exercise was associated with the upregulation of pathways related to gastric acid secretion and motor protein function, whereas short-term exercise upregulated neuroactive ligand-receptor interactions and downregulated inflammatory pathways. (3) Gene Set Enrichment Analysis indicated that acute exercise intervention mainly upregulated cell cycle and DNA segregation pathways, while short-term intervention led to downregulation of the interleukin-17 and tumor necrosis factor signaling pathways. (4) The protein-protein interaction network revealed two key functional modules in acute exercise intervention and three in short-term intervention. In summary, acute exercise significantly activated cell proliferation-related pathways (e.g., cell cycle and mitosis) and upregulated pro-proliferative genes such as Top2a and Sele. In contrast, short-term intervention exerted anti-inflammatory effects by downregulating interleukin-17 and tumor necrosis factor signaling pathways and reducing the expression of inflammatory factors such as COMP. These findings provide insights into molecular mechanisms of spinal cord injury recovery.

    Figures and Tables | References | Related Articles | Metrics
    Differences in angiogenesis and osteogenic effects between autogenous bone and mixed bone in guided bone regeneration
    Yang Ning, Han Zekui, Wang Xinyu, Huang Yiping, Han Jiaqi, Wang Yu, Duan Feng
    2026, 30 (24):  6207-6213.  doi: 10.12307/2026.211
    Abstract ( 81 )   PDF (4493KB) ( 443 )   Save
    BACKGROUND: Angiogenesis is a key factor in the success of guided bone regeneration, but the impact of different bone graft materials on angiogenesis and osteogenic effects remains unclear.
    OBJECTIVE: To compare the angiogenesis and osteogenic effects of autologous bone powder and the mixture of autologous bone powder and artificial bone powder during guided bone regeneration.
    METHODS: Preoperative scanning of the jawbone data of New Zealand white rabbits using cone beam CT was performed to extract a rabbit jawbone model, which was then 3D printed to create a bone cutting guide plate. Twenty-one New Zealand white rabbits were used to construct a rabbit mandibular bone defect model. Two bone defect areas were prepared on both sides of each rabbit, with one side of the bone defect area consisting of autogenous bone and artificial bone powder and a 1:1 mixture of autogenous bone powder and artificial bone powder was implanted. The other bone defect area was taken as the autologous bone powder group, with only autologous bone powder material implanted. Angiogenesis and osteogenesis in both bone defect areas at 2, 5, 7, 14 days and 4, 8, 12 weeks after modeling were detected.
    RESULTS AND CONCLUSION: (1) At 12 weeks after surgery, the histological morphology and angiogenesis of the autologous bone powder group were similar to those of the autologous bone powder + artificial bone powder group. (2) The number of vascular cross-sections in the autologous bone powder group showed a more significant upward trend from 2 to 7 days, while the change trends of the number of vascular cross-sections in the two groups were similar in other periods. (3) At 8 weeks after surgery, the distribution range of new bone in the autologous bone powder + artificial bone powder group was smaller than that in the autologous bone powder group. At 12 weeks, the continuity and compactness of the bone tissue in both groups were good, close to the morphology of normal bone tissue. (4) At 8 weeks, the bone volume fraction of the autologous bone powder group was significantly higher than that of the autologous bone powder + artificial bone powder group (P < 0.05). By 12 weeks, there was no significant difference in the bone volume parameters between the autologous bone powder + artificial bone powder group and the autologous bone powder group (P > 0.05). These results indicate that angiogenesis and bone regeneration are more obvious in the early stage after implantation of autologous bone powder. However, by 12 weeks after surgery, the mixture of autologous bone powder and artificial bone powder is similar to pure autologous bone powder implantation in the repair of rabbit mandibular defects. This suggests that as the bone remodeling process proceeds, the comprehensive effects of the two materials tend to be consistent.

    Figures and Tables | References | Related Articles | Metrics
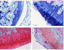
    Mechanism by which Yougui Pill inhibits pyroptosis of chondrocytes in rats with knee osteoarthritis
    Fan Yuanhe, Yang Yongju, He Fanyu, Qiao Long, Zhang Yu, Zhang Shuai, Li Zhiwen, Guan Xuefeng
    2026, 30 (24):  6214-6219.  doi: 10.12307/2026.176
    Abstract ( 74 )   PDF (104107KB) ( 54 )   Save
    BACKGROUND: Yougui Pill is derived from Jingyue Quanshu. Studies have confirmed that Yougui Pill is highly effective in treating patients with knee osteoarthritis, but its mechanism of action remains unclear.
    OBJECTIVE: To explore the potential molecular mechanism of Yougui Pill in improving knee osteoarthritis in rats. 
    METHODS: Forty-eight SPF-grade Sprague-Dawley rats were randomly divided into four groups: blank control group, model group, Yougui Pill group and celecoxib group. Modified Hulth modeling method was used to establish the left knee joint model in the latter three groups. After wound healing, the rats were urged to move for 8 weeks. After modeling, the celecoxib group was given celecoxib suspension by gavage, the Yougui Pill group was given Yougui Pill decoction by gavage, and the blank control group and the model group were given the same volume of normal saline by gavage, once a day for 4 continuous weeks. The pathological changes of rat cartilage tissue were observed by hematoxylin-eosin staining, toluidine blue staining, and safranin O-fast green staining, and the ultrastructure of rat chondrocytes was observed by transmission electron microscope. ELISA was used to detect the levels of interleukin-18, interleukin-1β, and tumor necrosis factor-α in serum. The protein expressions of PI3K, AKT, NF-κB, p-PI3K, p-AKT, p-P65, NLRP3, GSDMD, GSDMD-N, Caspase1, Cleaved-Caspase1, interleukin-18, and interleukin-1β in cartilage tissues of rats were detected by western blot. 
    RESULTS AND CONCLUSION: (1) Compared with the blank control group, the rats in the model group had severe cartilage edge destruction, cartilage tissue defect, thinning and disordered arrangement of cartilage layer cells, subchondral bone hyperplasia, disordered tide line, severe structural damage of chondrocytes and formation of pyroptosis. The levels of tumor necrosis factor-α, interleukin-18 and interleukin-1β in serum were significantly increased (P < 0.05). The protein expressions of p-PI3K, p-Akt, p-p65, NLRP3, GSDMD-N, Cleaved Caspase1, interleukin-18, and interleukin-1β in cartilage tissue were significantly increased (P < 0.01). (2) Compared with the model group, the Yougui Pill group and celecoxib group had normal cartilage structure, darker cartilage color, thicker cartilage, more complete chondrocyte membrane, and significantly reduced serum levels of tumor necrosis factor-α, interleukin-18 and interleukin-1β (P < 0.05). The protein expressions of p-PI3K, p-Akt, p-p65, NLRP3, GSDMD-N, Cleaved Caspase1, interleukin-18, and interleukin-1β in cartilage tissue were significantly decreased (P < 0.01). (3) Compared with the celecoxib group, the chondrocytes in the Yougui Pill group were arranged more regular, the articular cartilage surface was relatively smooth, the cartilage layer was thickened, the tide line was relatively complete, and the cell membrane of chondrocytes was relatively complete. The levels of tumor necrosis factor-α, interleukin-18 and interleukin-1β in serum were significantly decreased (P < 0.05). The protein expressions of p-PI3K, p-Akt, p-p65, NLRP3, GSDMD-N, Cleaved Caspase1, interleukin-18, and interleukin-1β in cartilage tissue were significantly decreased (P < 0.01). In conclusion, Yougui Pill can improve the inflammatory response of chondrocytes in rats with knee osteoarthritis, and its mechanism may be related to the inhibition of PI3K/AKT/NF-kB pathway activation, thereby regulating pyroptosis mediated via the NLRP3/Caspase-1/GSDMD pathway.
    Figures and Tables | References | Related Articles | Metrics
    Correlation between cervical instability and neck muscle changes in middle-aged and young adults#br#
    #br#
    Lu Guangqi, Li Jing, Sun Xinyue, Liang Long, Liu Guangwei, Zhou Shuaiqi, Mao Hanze, Ma Mingming, Cui Ying, Liu Yakun, Hu Jiaming, Zhu Liguo, Yu Jie, Zhuang Minghui
    2026, 30 (24):  6220-6224.  doi: 10.12307/2026.138
    Abstract ( 56 )   PDF (11011KB) ( 17 )   Save
    BACKGROUND: The onset of cervical instability in middle-aged and young adults often begins with neck muscle injuries. A deeper understanding of changes in neck muscles during cervical instability and their correlation can provide valuable data to support the prevention and treatment of cervical instability in this population. 
    OBJECTIVE: To explore the correlation between cervical instability and neck muscle changes in middle-aged and young adults. 
    METHODS: A total of 98 patients with cervical C4/5 instability and 88 healthy subjects, aged 18-45 years, were enrolled through recruitment advertisements and the Department of Spine, Wangjing Hospital, China Academy of Traditional Chinese Medicine. Cervical X-rays were collected to measure cervical curvature and C4/5 vertebral angular displacement. Cervical magnetic resonance imaging was taken to obtain data on C4/5 intervertebral disc signal intensity, as well as the relative cross-sectional area and fat ratio of neck muscles, including prevertebral muscles, deep posterior cervical muscles, and superficial muscles. A univariate intergroup comparison of X-ray and magnetic resonance imaging data was conducted between cervical instability subjects and healthy controls, along with Spearman correlation analysis between C4/5 angular displacement and disc signal intensity, relative cross-sectional area of neck muscles and fat percentage at the C4/5 level in cervical instability subjects.
    RESULTS AND CONCLUSION: The age, C4/5 horizontal displacement, C4/5 angular displacement and the percentage of fat in the deep posterior cervical muscles in the cervical spine instability group were greater than those in the healthy group (P < 0.05), and the cervical curvature and the relative cross-sectional area of the deep posterior cervical muscles were smaller than those in the healthy group (P < 0.05). Spearman’s correlation analysis showed that there was a negative correlation between the C4/5 angular displacement and the relative cross-sectional area of the deep posterior cervical muscles (P < 0.05). These findings suggest that changes in the deep posterior cervical muscles may be closely associated with cervical instability in middle-aged and young adults.
    Figures and Tables | References | Related Articles | Metrics
    Mechanical differences between medial collateral ligament and lateral collateral ligament and influence of elastin degradation
    Xu Hongzhang, Huang Bo, Zhao Dongliang, Hu Ying, Qiao Dan, Deng Yuping
    2026, 30 (24):  6225-6230.  doi: 10.12307/2026.174
    Abstract ( 60 )   PDF (2161KB) ( 103 )   Save
    BACKGROUND: As crucial stabilizers of the knee joint, the medial collateral ligament and lateral collateral ligament play essential roles in restricting valgus and varus movements, respectively. However, the mechanical differences between the medial collateral ligament and lateral collateral ligament, the microstructure characteristics, and the effect of elastin degradation on their mechanical properties remain poorly understood.
    OBJECTIVE: To compare the mechanical differences between the medial collateral ligament and lateral collateral ligament, quantify the structural characteristics of the collagen fiber alignment, and investigate the impact of elastin degradation on the mechanical properties.
    METHODS: The medial collateral ligament and lateral collateral ligament of the left side of adult pigs were obtained, frozen, and then thawed. The mechanical properties of the medial collateral ligament and lateral collateral ligament were tested using quasi-static uniaxial tensile, and the effect of repeated tensile on the mechanical properties was determined. The collagen fiber structure of the medial collateral ligament and lateral collateral ligament was quantified using two-photon microscopy and second-harmonic generation imaging. To evaluate the effect of elastin degradation on the mechanical properties, the medial collateral ligament and lateral collateral ligament under repeated stretching were incubated in an elastase solution for 12 hours before uniaxial stretching.
    RESULTS AND CONCLUSION: (1) The medial collateral ligament exhibited a significantly higher high-tensile modulus of elasticity that the lateral collateral ligament (P < 0.05). There was no significant difference in low-tensile modulus of elasticity between the two groups of ligaments (P > 0.05). Repeated stretching significantly reduced the low-tensile modulus of both the medial collateral ligament and lateral collateral ligament. (2) Elastase treatment led to a significant decrease in both the low- and high-tensile elastic modulus of the medial collateral ligament and lateral collateral ligament, with the reduction of the high-tensile modulus in the lateral collateral ligament being more pronounced than the medial collateral ligament. Following elastase treatment, the low- and high-tensile moduli of the medial collateral ligament were significantly lower than those of the lateral collateral ligament (P < 0.05). (3) Two-photon imaging showed that the collagen fibers of the medial collateral ligament maintained a curled structure, and their fiber waviness was significantly higher than that of the lateral collateral ligament. These findings indicate that the medial collateral ligament exhibits greater elastic properties than the lateral collateral ligament, and elastase treatment has a more substantial impact on the mechanical properties of the lateral collateral ligament. This mechanical behavior might be attributed to the more coiled collagen fiber alignment in the medial collateral ligament.
    Figures and Tables | References | Related Articles | Metrics
    Constructing an in vitro model of ulcerative colitis in mice based on organoid technology
    Zhou Li, Li Rui, Chen Hao, Chen Jiaqi, Liu Yuhong, Wu Na
    2026, 30 (24):  6231-6238.  doi: 10.12307/2026.168
    Abstract ( 85 )   PDF (2909KB) ( 44 )   Save
    BACKGROUND: The pathogenesis of ulcerative colitis is highly complex, necessitating the development of models that more closely mimic human physiological and pathological responses to study the mechanisms underlying its onset and progression. 
    OBJECTIVE: To establish a mouse ulcerative colitis organoid model. 
    METHODS: Colon organoids of C57BL/6J mice were extracted, cultured and passaged in vitro. Colon organoids from mice after three generations of passage were taken and incubated in lipopolysaccharide at varying concentrations [0 (control), 150, 175, 200, 225, 250, 275, 300, 325, and 350 μg/mL] to induce inflammation for 24 hours. The morphology of mouse colon organoids was observed under a microscope, and changes in proliferation viability were assessed using the cell counting kit-8 assay. After 24 hours of incubation with 0, 225, 250, and 275 μg/mL lipopolysaccharide, the expression levels of tumor necrosis factor-α, interleukins 6, 9, and 10 were measured via ELISA. Immunofluorescence was used to detect the expression of occludin and ZO-1. Quantitative PCR was employed to evaluate the mRNA levels of tumor necrosis factor-α, interleukins 6, 9, and tight junction proteins (occludin and ZO-1). 
    RESULTS AND CONCLUSION: (1) Following 24-hour induction with lipopolysaccharide at concentrations ranging from 150 to 275 μg/mL, the colon organoids exhibited varying degrees of swelling under the microscope. However, when the concentration of lipopolysaccharide was 300-350 μg/mL, organoid growth and swelling were inhibited. Cell counting kit-8 results showed that proliferation viability of the colon organoids decreased to varying degrees after 24-hour induction with lipopolysaccharide at 150-350 μg/mL, with a significant reduction observed at 225-350 μg/mL. Based on the results of cell morphology and proliferation activity testing, 225, 250, and 275 μg/mL lipopolysaccharide were selected for ELISA testing. (2) After 24-hour induction with lipopolysaccharide at 225, 250, and 275 μg/mL, the levels of interleukin-6 and tumor necrosis factor-α were significantly elevated compared with the control group (P < 0.05). After induction with 275 μg/mL lipopolysaccharide, the level of interleukin-9 also showed a notable increase (P < 0.05). (3) Immunofluorescence staining revealed that, after 24-hour induction with 275 μg/mL lipopolysaccharide, the expression of ZO-1 and occludin was reduced compared with the control group. Quantitative PCR results showed that after 24-hour induction with 275 μg/mL lipopolysaccharide, the mRNA levels of interleukin-6 and tumor necrosis factor-α were significantly upregulated compared with the control group (P < 0.05), while the mRNA level of occludin was markedly downregulated (P < 0.05). There was no significant difference in the expression of interleukin-9 and ZO-1 (P > 0.05). All these findings indicate that an organoid-based in vitro mouse ulcerative colitis model was successfully constructed, providing a powerful tool for investigating the mechanisms of ulcerative colitis and screening effective therapeutic agents.

    Figures and Tables | References | Related Articles | Metrics
    Methylation alterations of Fbln1 gene in the hippocampus of PSEN1/PSEN2 double knockout and #br# APP/PS1 transgenic mice#br#
    Ruan Sibei, Li Li, Jian Yue, Ling Feng, Tang Mingxi
    2026, 30 (24):  6239-6246.  doi: 10.12307/2026.172
    Abstract ( 49 )   PDF (1595KB) ( 25 )   Save
    BACKGROUND: The pathology of Alzheimer’s disease is primarily characterized by abnormal amyloid-β deposition and tau neurofibrillary tangles. Medications currently available can only control certain symptoms. Despite ongoing efforts to develop new treatments, such as targeted immunotherapy against amyloid-β and beta-secretase inhibitors, clinical trials have not yet shown success.
    OBJECTIVE: To investigate the methylation changes of Fbln1 gene in the hippocampus of Alzheimer’s disease PSEN1/PSEN2 double gene knockout mice (dKO) without abnormal amyloid-β deposition and APP/PS1 double transgenic mice (DTG) with abnormal amyloid-β deposition, and to explore the mechanisms and potential targets related to Alzheimer’s disease without abnormal amyloid-β deposition.
    METHODS: Nine female 7-month-old (early-stage Alzheimer’s disease) and 12-month-old (mid-stage Alzheimer’s disease) dKO mice were selected, along with age-matched wild-type mice as controls. The Fbln1 gene with abnormal methylation changes in the hippocampal tissue of these mice were identified using reduced representation bisulfite sequencing. The altered methylation status of the Fbln1 gene in the hippocampal tissue of mid-stage dKO mice was verified using bisulfite single-gene methylation sequencing. The mRNA and protein expression levels of the Fbln1 gene in early- and mid-stage dKO and 12-month-old DTG mice were detected using reverse transcription-polymerase chain reaction and Western blot methods, respectively. Finally, the expression levels of Fbln1 and amyloid-β in dKO and DTG mice were compared, with age-matched female wild-type mice serving as controls.
    RESULTS AND CONCLUSION: (1) The significant hypomethylation of Fbln1 gene in the hippocampus of mid-stage Alzheimer’s disease dKO mice was detected by reduced representation bisulfite sequencing (P < 0.05). Although early-stage dKO mice also exhibited hypomethylation, there was no significant difference compared with wild-type mice (P > 0.05). The abnormal hypomethylation of the Fbln1 gene in the hippocampal tissue of mid-stage Alzheimer’s disease dKO mice was further validated by Bisulfite single-gene methylation sequencing. (2) The mRNA and protein expression levels of the Fbln1 gene in early-stage Alzheimer’s disease dKO mice were not significantly different from those in age-matched wild-type mice (P > 0.05). The mRNA levels and protein expression of Fbln1 in mid-stage Alzheimer’s disease dKO and DTG mice were significantly higher than those in age-matched wild-type mice (dKO: t = 5.336, 8.985, P < 0.01; DTG: t = 4.151, 8.392, P < 0.01), but there was no difference in the mRNA and protein expression levels of Fbln1 between the two mid-stage Alzheimer’s disease animal models (P > 0.05). (3) There was no difference in the protein expression levels of Fbln1 and amyloid-β between mid-stage Alzheimer’s disease dKO mice (P > 0.05), while there was a significant difference in the protein expression levels of Fbln1 and amyloid-β between mid-stage DTG mice (t = 6.348, P < 0.01), indicating that the Fbln1 gene plays a role not only in the DTG mouse model with amyloid-β deposition but also in dKO mice without amyloid-β deposition and there may be additional Fbln1 gene-related mechanisms involved in the development of Alzheimer’s disease. (4) Changes in Fbln1 gene methylation may be involved in age-dependent neurodegeneration in dKO mice and may simultaneously participate in both the amyloid-β abnormal deposition and non-amyloid-β deposition mechanisms in Alzheimer’s disease, providing new insights and evidence for exploring non-amyloid-β deposition-related mechanisms and new potential targets. Fbln1, an aging-related factor and new target, offers wide-ranging application prospects.

    Figures and Tables | References | Related Articles | Metrics
    Role and mechanism of ABL1 in myocardial necroptosis and cardiac ischemia/reperfusion injury
    Yuan Min, Han Yu, Liu Jinhong, Zhang Jingyu, Cao Jimin, Sun Teng
    2026, 30 (24):  6247-6258.  doi: 10.12307/2026.165
    Abstract ( 61 )   PDF (3698KB) ( 296 )   Save
    BACKGROUND: ABL1 is involved in the regulation of multiple cellular processes, yet its functions within the cardiovascular system remains largely unexplored. In particular, its role in cardiac ischemia/reperfusion injury and necroptosis has not been reported.
    OBJECTIVE: To investigate the role of ABL1 in cardiac ischemia/reperfusion injury and myocardial necroptosis, as well as the underlying molecular mechanisms.
    METHODS: (1) Animal experiment: C57BL/6J mice were randomly divided into four groups: sham surgery group, ischemia/reperfusion group, ABL1 knockdown + ischemia/reperfusion group, and ABL1 negative control + ischemia/reperfusion group. Lentiviral vectors targeting ABL1 were injected in situ into the myocardium to knock down ABL1 expression. One week later, cardiac ischemia/reperfusion injury was induced in mice via ligation of the left anterior descending coronary artery followed by reperfusion. Protein expression of ABL1 in heart tissue was detected. Cardiac function, myocardial fibrosis, and cardiomyocyte surface area were assessed. (2) Cell experiment: H9c2 cells were divided into four groups: negative control cell line + PBS group, ABL1 knockdown cell line + PBS group, negative control cell line + hydrogen peroxide (H₂O₂) 500 µmol/L group, and ABL1 knockdown cell line + H2O2 500 µmol/L group. Another H9c2 cells were divided into five groups: negative control cell line+PBS group, negative control cell line + H₂O₂ 500 µmol/L group, and ABL1 knockdown cell line + H₂O₂ 500 µmol/L group, ABL1 knockdown cell line + Parkin overexpression adenovirus + H₂O₂ 500 µmol/L group, and ABL1 knockdown cell line + Parkin negative control adenovirus+H₂O₂ 500 µmol/L group. ABL1-knockdown cell lines were established. An oxidative stress model was induced using hydrogen peroxide (H₂O₂). Subsequent changes in cell viability, necroptosis levels, and reactive oxygen species level were evaluated. Mitochondrial membrane potential was detected, and the expression levels of ABL1, Parkin and CypD were measured. Whether ABL1 protein and Parkin form a signaling axis was detected.
    RESULTS AND CONCLUSION: (1) ABL1 expression was significantly down-regulated in the mouse model of cardiac ischemia/reperfusion. (2) Knockdown of ABL1 exacerbated ischemia/reperfusion-induced cardiac dysfunction, as evidenced by reduced left ventricular ejection fraction and fractional shortening, along with increased left ventricular end-systolic and end-diastolic diameters. (3) Knockdown of ABL1 promoted ischemia/reperfusion-induced myocardial fibrosis and aggravated ischemia/reperfusion-induced ventricular remodeling. (4) ABL1 expression was significantly downregulated in the cardiomyocyte oxidative stress model. (5) Knockdown of ABL1 exacerbated oxidative stress-induced reductions in cell viability, increases in necroptosis, and reactive oxygen species accumulation. (6) ABL1 regulated mitochondrial membrane permeability, influenced the expression of Parkin and CypD, and modulated cellular oxidative stress levels by targeting Parkin. In conclusion, ABL1 expression is significantly reduced in both in vivo ischemia/reperfusion models and in vitro oxidative stress models. Furthermore, ABL1 knockdown exacerbates cardiac ischemia/reperfusion injury and oxidative stress-induced cardiomyocyte damage by targeting the Parkin-CypD signaling pathway. 
    Figures and Tables | References | Related Articles | Metrics
    Roles of pregnane X receptor in sodium arsenite-induced oxidative stress and inflammatory injury in human normal hepatocytes
    Zhang Xiaoxu, Tian Zhenli, Xie Tingting
    2026, 30 (24):  6259-6266.  doi: 10.12307/2026.198
    Abstract ( 49 )   PDF (2354KB) ( 150 )   Save
    BACKGROUND: As the primary organ for arsenic metabolism in the body, the liver has become a focal point for research on the mechanisms of arsenic toxicity.
    OBJECTIVE: To investigate the role of pregnane X receptor in sodium arsenite-induced oxidative stress and inflammatory injury in human normal hepatocytes.
    METHODS: Human normal hepatocyte MIHA cells were exposed to 0 (control), 10, 20, 30 μmol/L sodium arsenite for 48 hours. Changes in cell morphology were observed. Cell viability was measured via the cell counting kit-8 assay. Intracellular reactive oxygen species levels were detected using fluorescent probe staining combined with a microplate reader. Intracellular malondialdehyde content, glutathione reductase activity, and total superoxide dismutase activity were assessed using the thiobarbituric acid method, nicotinamide adenine dinucleotide phosphate method, and WST-8 method, respectively. Levels of interleukin-6, tumor necrosis factor-α, and interleukin-1β in the cell supernatant were quantified via ELISA. mRNA expression of pregnane X receptor and cytochrome P450 3A4 enzyme was analyzed using real-time quantitative PCR. Protein expression levels of pregnane X receptor, cytochrome P450 3A4 enzyme, nuclear factor κB p65, nuclear factor κB p-p65, proliferating nuclear antigen, interleukin-6, interleukin-1β, tumor necrosis factor-α, inhibitor of nuclear factor κB α, cyclooxygenase 2, phosphorylated inhibitor of nuclear factor κBα, nuclear factor erythroid 2-related factor 2, kelch-like ECH-associated protein 1 antibody, phosphorylated nuclear transcription factor erythroid 2-related factor 2 were evaluated via western blot.
    RESULTS AND CONCLUSION: Compared with the control group, cells in the sodium arsenite groups at various concentrations showed unclear cell membrane boundaries, reduced cytoplasm, decreased cell fusion rates, and widened intracellular space. Compared with the control group, the intracellular levels of reactive oxygen species and malondialdehyde were significantly increased in all sodium arsenite concentration groups (P < 0.05). The levels of interleukin-6, interleukin-1β, and tumor necrosis factor-α in the cell supernatant were also significantly increased (P < 0.05). The protein expressions of p-nuclear factor κB inhibitor protein α, nuclear factor κB p-p65, nuclear factor κB p65, tumor necrosis factor-α, and interleukin 1β were all increased (P < 0.05), and cell survival rates were all decreased (P < 0.05). The protein expressions of proliferation nuclear antigen, nuclear factor erythroid 2-related factor 2, phosphorylated nuclear factor erythroid 2-related factor 2 protein expression, and total superoxide dismutase activity were all decreased (P < 0.05). The mRNA and protein expressions of progesterone X receptor and cytochrome P450 3A4 enzyme were all decreased (P < 0.05). Compared with the control group, the intracellular glutathione reductase activity was reduced in the 20 and 30 μmol/L sodium arsenite groups (P < 0.05), and the expression of kelch-like ECH-associated protein 1, 
    interleukin-6, and cyclooxygenase-2 proteins was increased (P < 0.05). To conclude, sodium arsenite may induce oxidative stress and inflammatory damage in liver cells by down-regulating the expression of pregnane X receptor, inhibiting the Nrf2 antioxidant pathway and activating the nuclear factor-κB inflammatory pathway, while also suppressing the expression of cytochrome P450 3A4 enzyme.
    Figures and Tables | References | Related Articles | Metrics
    Stroboscopic visual interference combined with balance training improves the balance ability of older adults
    Hu Zhe, Sun Yuxiang, Han Xiao, Liu Yabin, Si Luyao, Li Zhouyu, Jia Yi
    2026, 30 (24):  6267-6274.  doi: 10.12307/2026.411
    Abstract ( 72 )   PDF (3050KB) ( 565 )   Save
    BACKGROUND: Numerous studies have indicated that stroboscopic visual interference combined with balance training can promote postural stability by reducing visual compensation in the central nervous system and increasing residual proprioceptive and vestibular input during training. 
    OBJECTIVE: To clarify the effects of stroboscopic visual interference combined with balance training on improving balance ability of older adults by comparing the effects of balance training under different visual conditions.
    METHODS: Forty-three older adults were recruited and randomized into a normal balance training group (n=23) and a strobe vision training group (n=20). Among them, the balance training content was the same, and the training was conducted 3 times per week for 8 weeks. For the strobe vision training group, strobe glasses were worn during the balance training, and the strobe difficulty level (levels 1-8) was adjusted adaptively. Indicator tests were conducted at weeks 0, 4, 8, and 10 to assess the dynamic and static postural stability and the scores on the Berg Balance Scale of all subjects.
    RESULTS AND CONCLUSION: (1) Static postural stability: Subjects in both groups had a significant time main effect (P < 0.001) but not a group effect (P=0.530) or a group×time interaction effect (P=0.780) in the plane closed-eye, one-legged standing test. In the soft couch, closed-eye, one-legged standing test, there was a significant time (P < 0.001) and group (P=0.024) effect in both groups, but no group×time interaction effect (P=0.063). Compared with pre-training, subjects in both groups showed significant improvements in static postural stability after 8 weeks (P=0.034; P < 0.001) and 10 weeks (P=0.003; P < 0.001) of training in both tests. (2) Dynamic postural stability: There was a significant group×time interaction effect on dynamic postural stability (P < 0.001). The main effects of group (timed-up-walk and 3-meter heel-toe walk test were P=0.461 and P=0.926, respectively) and time (two tests were P=0.120 and P=0.937, respectively) on the test were not statistically significant. Compared with pre-training, the dynamic postural stability of the two groups was significantly improved after 4, 8, and 10 weeks of training (all P < 0.05). (3) Berg Balance Scale score: There was a significant time effect (P < 0.001); the factors of group (P=0.420) and group×time (P=0.239) were not statistically significant for Berg Balance Scale Score. When compared with the pre-training period, subjects in the two groups had higher Berg Balance Scale Scores after 4 (P=0.025), 8 (P < 0.001), and 10 (P=0.003) weeks had higher Berg Balance Scale scores than before training. (4) In summary, both traditional balance training and stroboscopic training can significantly improve the dynamic and static stability of the elderly. Compared with the traditional balance training, the balance training based on stroboscopic visual interference can significantly improve the dynamic balance ability of the elderly group.
    Figures and Tables | References | Related Articles | Metrics
    Mechanism of cuproptosis in the diagnosis and treatment of orthopedic-related diseases
    Li Huaying, Li Hao, Peng Wuxun, Dong Wentao
    2026, 30 (24):  6275-6281.  doi: 10.12307/2026.226
    Abstract ( 105 )   PDF (2052KB) ( 569 )   Save
    BACKGROUND: Studies have shown that cuproptosis plays a critical role in the pathogenesis and treatment of orthopedic diseases. However, the regulatory roles and mechanisms of cuproptosis in orthopedic-related diseases remain unclear.
    OBJECTIVE: To review the roles and mechanisms of cuproptosis in orthopedic-related diseases.
    METHODS: A literature search was conducted in the PubMed database using the following English keywords: "cuproptosis," "copper steady state," "osteoarthritis," "osteoporosis," "rheumatoid arthritis," "osteosarcoma," and "oxidative stress." The search included publications up to March 2025. According to the inclusion criteria, 55 articles were finally included for review.
    RESULTS AND CONCLUSION: In osteoarthritis, excessive copper ions induce the expression of metal-regulatory transcription factor 1, indirectly activating matrix metalloproteinases and leading to cartilage degradation. Cuproptosis disrupts the tricarboxylic acid cycle and inhibits glutamine metabolism, triggering oxidative stress and accelerating chondrocyte death. In osteoporosis, cuproptosis suppresses glutamine metabolism and mineralization in osteoblasts while promoting osteoclast differentiation, thereby disrupting the balance between bone formation and resorption. In rheumatoid arthritis, copper ions activate the phosphatidylinositol 3-kinase/protein kinase B/mitogen-activated protein kinase signaling pathway, promoting abnormal synovial cell activation and inflammatory cytokine release, which exacerbates joint destruction. In osteosarcoma, high concentrations of copper ions target ferredoxin 1, inducing mitochondrial dysfunction and proteotoxic stress to selectively kill tumor cells. The mechanisms of cuproptosis in orthopedic diseases are complex and multifaceted, involving diverse cell types and signaling pathways. Targeting cuproptosis or its associated pathways may offer novel therapeutic strategies for orthopedic disorders, such as the application of copper chelators or ionophores, demonstrating significant clinical potential. Future studies should further elucidate the precise regulatory mechanisms of cuproptosis and explore its translational value in disease treatment.
    Figures and Tables | References | Related Articles | Metrics
    Role of chondrocyte ferroptosis in the pathogenesis of osteoarthritis
    Su Jiemao, Qi Yansong, Kong Keyu, Zhai Zanjing, Xu Yongsheng
    2026, 30 (24):  6282-6288.  doi: 10.12307/2026.213
    Abstract ( 70 )   PDF (1422KB) ( 419 )   Save
    BACKGROUND: As a programmed cell death, ferroptosis relies on lipid peroxidation triggered by iron overload, leading to the death of chondrocytes and the exacerbation of joint degeneration. 
    OBJECTIVE: To summarize the molecular mechanism of chondrocyte ferroptosis in the progression of osteoarthritis, and intervention strategies for this mechanism. 
    METHODS: A literature search was conducted in the CNKI, PubMed, and Web of Science databases. The Chinese and English search terms were “cartilage, ferroptosis, Nrf2, NF-E2-related factor 2, SIRT, Sirtuin, PINK1, PTEN induced putative kinase 1, stromal cell-derived factor 1, SDF1, nanoparticle, mitophagy, hydrogel.” Based on the inclusion criteria, 69 articles were ultimately selected for review.
    RESULTS AND CONCLUSION: The mechanism of ferroptosis involves iron accumulation, lipid peroxidation, and abnormal amino acid metabolism, with reactive oxygen species accumulation and lipid peroxidation being essential prerequisites for generating ferroptosis signals. In osteoarthritis, chondrocyte ferroptosis serves as a key pathological mechanism of cartilage degeneration. Current research on chondrocyte ferroptosis mechanisms and related materials primarily focuses on antioxidant pathways. Multiple studies have attempted to mitigate osteoarthritis-induced cartilage damage and improve disease progression by developing materials with antioxidant properties or those that regulate metal ion distribution. Additionally, creating materials that interfere with ferroptosis through alternative pathways represents a current research priority for osteoarthritis treatment. At present, these research results have only produced effective therapeutic effects in cell and animal experiments, and have not been clinically studied. Future studies need to further explore the ferroptosis-related signaling network and the interaction between materials and biological interfaces to develop more efficient and safe treatment strategies.
    Figures and Tables | References | Related Articles | Metrics
    Mechanisms of miRNAs involved in cartilage development: new strategies and targets
    Wang Zhengye, Liu Wanlin, Zhao Zhenqun
    2026, 30 (24):  6289-6296.  doi: 10.12307/2026.200
    Abstract ( 77 )   PDF (1500KB) ( 66 )   Save
    BACKGROUND: The molecular regulation of cartilage development is one of the key scientific issues in the field of orthopedics. MicroRNAs (miRNAs), as important regulators of gene expression, regulate post-transcriptional silencing or translation inhibition by binding to the 3' untranslated region (UTR) of target mRNAs, and are involved in the regulation of cell differentiation, proliferation, and metabolic homeostasis. In recent years, studies have found that miRNAs play an important role in cartilage development and various cartilage-related diseases, and their abnormal expression is closely related to diseases such as skeletal dysplasia and osteoarthritis. In-depth research on the mechanisms of miRNAs in cartilage development is of great significance for understanding the fate determination of chondrocytes and the pathogenesis of related diseases.
    OBJECTIVE: To comprehensively summarize the mechanisms of miRNAs in cartilage development, explore their regulatory roles in chondrocyte differentiation, proliferation, and apoptosis, and investigate their functions in diseases such as osteoarthritis and achondroplasia, providing a theoretical basis for the prevention and treatment of related diseases.
    METHODS: By searching PubMed, China National Knowledge Infrastructure, WanFang Database, and VIP Database (up to June 2025) and manually consulting relevant books, we selected high-quality literature on miRNA regulation of cartilage development. The inclusion criteria were high relevance, innovation, and prioritization of studies published within the last decade. Finally, 99 articles (95 English and 4 Chinese) were included for systematic analysis.
    RESULTS AND CONCLUSION: Research indicates that miRNAs precisely regulate key transcription factors, signaling pathways, and epigenetic modifications to influence chondrocyte differentiation, proliferation, and apoptosis. In disease states, the abnormal expression of miRNAs is closely related to various cartilage diseases. These findings not only reveal the direct regulatory roles of miRNAs in cartilage development but also provide new strategies and targets for the diagnosis, prognosis assessment, and treatment of related diseases. With the continuous development of cutting-edge technologies such as gene editing, single-cell sequencing, and bioinformatics, the application of miRNAs in cartilage development and diseases has made significant progress, which is expected to provide new insights into early diagnosis, precise treatment, and prognosis assessment of skeletal diseases.
    Figures and Tables | References | Related Articles | Metrics
    The interaction and balance between cellular senescence and tissue repair
    Kan Weiyi, Wang Linrong, Cheng Leping
    2026, 30 (24):  6297-6305.  doi: 10.12307/2026.181
    Abstract ( 128 )   PDF (6612KB) ( 862 )   Save
    BACKGROUND: The role of cellular senescence in tissue repair has received increasing attention. The accumulation of senescent cells not only affects normal physiological functions but may also exacerbate inflammation and fibrosis, thereby accelerating the aging process. In recent years, the potential therapeutic value of clearing senescent cells in tissue repair has become a research hotspot.
    OBJECTIVE: To discuss the dual role of cellular senescence in tissue repair and explore the potential application of senescent cell clearance strategies in delaying the aging process and promoting tissue repair.
    METHODS: The authors conducted a search in the PubMed database using the keywords “Senolytics, aging, senescence, treatment, clearance, tissue injury” for literature published prior to May 2025. Relevant articles were initially selected by screening the titles and abstracts to exclude those with irrelevant content, outdated viewpoints, or repetitive studies. A total of 137 relevant articles were finally selected for in-depth analysis through a combination of careful and broad reading.
    RESULTS AND CONCLUSION: Cellular senescence is one of the key markers of aging. Senescent cells secrete senescence-associated secretory phenotype factors that contribute to local tissue repair and regeneration. The clearance of senescent cells can alleviate chronic inflammation, promote tissue function restoration, and delay the onset of age-related diseases. Current strategies for senescent cell clearance include both non-targeted and targeted approaches. The former delays aging through lifestyle changes, while the latter selectively eliminates senescent cells using drugs, transgenic techniques, gene editing, reprogramming technologies, and immunotherapies, thereby slowing the aging process.

    Figures and Tables | References | Related Articles | Metrics
    Animal models of neurogenic heterotopic ossification: key disease progression and pathogenesis
    Ren Qingsong, Xie Yulei, Liu Jingjing, Lin Jingyi, Long Danlei, Zhang Chunyu, Xie Liang, Zheng Kaiyuan, Wang Yinxu
    2026, 30 (24):  6306-6315.  doi: 10.12307/2026.367
    Abstract ( 73 )   PDF (3083KB) ( 95 )   Save
    BACKGROUND: Neurogenic heterotopic ossification frequently occurs within 1 to 3 months following spinal cord injury or traumatic brain injury, characterized by abnormal bone formation in periarticular soft tissues. The precise pathogenesis remains unclear, underscoring the urgent need for systematic research to inform clinical management.
    OBJECTIVE: To summarize recent advances in animal models of neurogenic heterotopic ossification and elucidate its underlying mechanisms, with a particular focus on the pathological differentiation of osteogenic precursor cells, remodeling of the local tissue microenvironment, and the interplay between neural regulation and neurogenic heterotopic ossification formation, thereby providing a theoretical basis for the development of targeted preventive and therapeutic strategies.
    METHODS: A comprehensive literature search was conducted using PubMed, CNKI, and SinoMed published prior to January 2025. The search terms were “neurogenic heterotopic ossification, spinal cord injury, traumatic brain injury, ossification, heterotopic, central nervous system” in English and “neurogenic heterotopic ossification, spinal cord injury, traumatic brain injury, ossification” in Chinese. Literature related to animal models and mechanisms of neurogenic heterotopic ossification was included to summarize the key pathogenesis of neurogenic heterotopic ossification.
    RESULTS AND CONCLUSION: Recruitment and aberrant osteogenic differentiation of osteogenic precursor cells (primarily fibro-adipogenic progenitors) are regulated by microenvironmental factors such as hypoxia, inflammation, and angiogenesis. Neurogenic mediators, including nerve growth factor, calcitonin gene-related peptide, and substance P, facilitate ectopic ossification through neuro-immune interactions. Future research should aim to construct a comprehensive molecular network, further dissect core signaling pathways, and develop novel targeted interventions to enable early detection and individualized treatment of neurogenic heterotopic ossification, ultimately improving patient outcomes.
    Figures and Tables | References | Related Articles | Metrics
    Traditional Chinese Medicine compound formula and effective ingredients for treating intervertebral disc degeneration: a multi-targeted and holistic regulation concept
    Zhong Haotian, Li Jianwen, Han Weichao, Li Songbo
    2026, 30 (24):  6316-6327.  doi: 10.12307/2026.227
    Abstract ( 90 )   PDF (4705KB) ( 1313 )   Save
    BACKGROUND: Traditional Chinese Medicine (TCM) has significant potential and benefits in the treatment of intervertebral disc degeneration. However, reviews on the mechanisms by which TCM ameliorates disc degeneration are relatively limited.
    OBJECTIVE: To review how TCM compounds and their active ingredients improve intervertebral disc degeneration through mechanisms such as anti-inflammation, antioxidative stress, maintenance of extracellular matrix balance and regulation of programmed cell death. 
    METHODS: CNKI, WanFang, PubMed, and Web of Science were retrieved for relevant literature published from January 2001 to June 2025. The Chinese search terms were “Chinese herb, compound, traditional Chinese medicine, herbal medicine, soup, formula, degenerative disc disease, disc degeneration, disc injury, annulus fibrosus, cartilage endplates, nucleus pulposus, research, progress, review, experiment, inflammation, oxidative stress, extracellular matrix, programmed cell death, apoptosis, pyroptosis, ferroptosis, autophagy, immune cells, mechanisms.” The English search terms included “traditional Chinese medicine, herbal medicine, herbal formula, intervertebral disc degeneration, intervertebral disc, disc degeneration, nucleus pulposus, annulus fibrosus, cartilage endplate, oxidative stress, extracellular matrix, inflammation, programmed cell death, apoptosis, pyroptosis, ferroptosis, autophagy, review, progress, experiment.” Articles were selected based on the inclusion and exclusion criteria and 104 articles were finally included for analysis.
    RESULTS AND CONCLUSION: TCM can effectively inhibit the release of inflammatory factors and the activation of inflammatory pathways to improve the local inflammatory state of the intervertebral disc through multiple mechanisms, but its specific mechanisms in different immune cell-mediated inflammatory responses are still unclear. TCM has demonstrated strong multi-targeting ability in mitigating oxidative stress in the intervertebral disc, especially in enhancing the activity of antioxidant enzymes, stabilizing the mitochondrial function, and inhibiting reactive oxygen species accumulation. However, there is a lack of systematic comparison of the antioxidant effects of different TCM active ingredients in different intervertebral disc cell types, and the interaction mechanism between the relevant signaling pathways needs to be explored in-depth. TCM can effectively alleviate the structural disorders of intervertebral discs by modulating the activities of extracellular matrix synthesizing and degrading enzymes. Multiple forms of programmed death, such as apoptosis, pyroptosis, iron death and autophagy, are involved in the development of intervertebral disc degeneration. These forms do not exist in isolation from each other, but interact with each other through a complex signaling network. Therefore, it is expected that the advantages of multi-targeted and holistic regulation of traditional Chinese medicines can be utilized to simultaneously regulate multiple cell programmed death processes, protect intervertebral disc cells and slow down the degeneration in multiple dimensions.
    Figures and Tables | References | Related Articles | Metrics
    Mechanisms by which exercise regulates gut microbiota in the prevention and treatment of non-alcoholic fatty liver disease
    Wang Wei, Chen Jun, Jia Shaohui, Xue Xinxuan, Dong Kunwei
    2026, 30 (24):  6328-6336.  doi: 10.12307/2026.229
    Abstract ( 88 )   PDF (5270KB) ( 460 )   Save
    BACKGROUND: The pathogenesis of non-alcoholic fatty liver disease is closely associated with gut microbiota dysbiosis. In recent years, accumulating evidence has indicated that exercise may exert beneficial effects on host metabolic homeostasis by modulating the composition and function of the gut microbiota, thereby playing a positive role in the prevention and treatment of non-alcoholic fatty liver disease.
    OBJECTIVE: To systematically summarize current research progress on the interplay between gut microbiota and non-alcoholic fatty liver disease, to further elucidate the regulatory effects of exercise on gut microbiota, and to explore in depth the potential mechanisms by which exercise intervention may prevent or ameliorate non-alcoholic fatty liver disease via the "gut–liver axis."
    METHODS: Search terms included "non-alcoholic fatty liver disease," "gut microbiota," "exercise," "bile acid," "short-chain fatty acid," "lipopolysaccharide," “trimethylamine oxide,” and “indole” in Chinese and English, respectively. China National Knowledge Infrastructure (CNKI), and WanFang Database were searched for relevant studies published up to March 2025. A total of 85 core studies were identified based on the inclusion and exclusion criteria.
    RESULTS AND CONCLUSION: (1) The composition of gut microbiota in patients with non-alcoholic fatty liver disease is significantly abnormal, with increased abundance of pro-inflammatory bacteria (such as Proteobacteria, Escherichia coli, and Streptococcus) and pathogenic bacteria (such as Enterobacteriaceae), and decreased abundance of bacteria with anti-inflammatory and homeostatic regulatory functions (such as Ruminococcus and Faecalibacterium). This adverse change in microbiota composition may promote the pathological process of non-alcoholic fatty liver disease by increasing intestinal permeability, promoting the entry of metabolites into the liver, activating inflammatory pathways, and increasing endogenous ethanol production. (2) Regulating gut microbiota by supplementation of probiotics or gut microbiota transplantation can effectively reduce the levels of different forms of transaminase and chronic inflammation in patients with non-alcoholic fatty liver disease, suggesting that gut microbiota may be an important target for the prevention and treatment of non-alcoholic fatty liver disease. (3) Exercise can regulate the composition of gut microbiota, increase the abundance of beneficial bacteria, reduce the abundance of pro-inflammatory bacteria, and promote the activation of key metabolic pathways, thereby improving the host metabolic health. However, at present, the research on the effects of exercise on intestinal flora in patients with non-alcoholic fatty liver disease is still relatively limited, especially the effects of different types, intensity and duration of exercise on intestinal flora and host metabolism and its mechanism are not clear. (4) Exercise may activate G protein-coupled receptor 41/43 and the AMP-activated protein kinase pathway by modulating the gut microbiota and enhancing short-chain fatty acid production. Additionally, it may inhibit histone acetylase activity, thereby reducing hepatic fat accumulation, liver inflammation, and insulin resistance. Exercise may prevent and treat non-alcoholic fatty liver disease by modulating the gut microbiota-bile acid axis and improving bile acid metabolism, thereby influencing the farnesoid X receptor and G protein-coupled bile acid receptor 5 signaling pathways. Exercise may prevent and treat non-alcoholic fatty liver disease by reshaping the gut microbiota, reducing the abundance of lipopolysaccharide-producing Gram-negative bacteria, and enhancing intestinal barrier function. Consequently, this process decreases lipopolysaccharide production and intestinal translocation. Exercise may contribute to the prevention and treatment of non-alcoholic fatty liver disease by modulating the gut microbiota composition, promoting the synthesis of indoles and their derivatives, and inhibiting the production of ethanol and trimethylamine N-oxide. These effects collectively enhance hepatic metabolic capacity, strengthen intestinal barrier function, and alleviate liver inflammation.
    Figures and Tables | References | Related Articles | Metrics
    Exercise-intestinal flora and aging
    Wang Yinfeng, Yao Lijuan, Ma Zhennan, Chen Leqin
    2026, 30 (24):  6337-6344.  doi: 10.12307/2026.185
    Abstract ( 81 )   PDF (2150KB) ( 708 )   Save
    BACKGROUND: The benefits of exercise as a classical intervention for aging have been widely recognized. The homeostatic balance of a wide range of microorganisms in the intestinal flora indirectly regulates aging, and the bidirectional association between exercise and the intestinal flora can collectively influence the process of aging.
    OBJECTIVE: To sort out the effects of exercise, intestinal flora and their interactions on aging, and to explore the specific physiological mechanisms involved.
    METHODS: A computer-based search in CNKI, WanFang, VIP, PubMed, MedReading, and Web of Science, with the time limit of 1976-01-01/2025-02-28, was conducted to collect the relevant studies on the effects of exercise and intestinal flora on aging. The search terms were “intestinal flora, gut microbiota, physical exercise, age, aerobic exercise, resistance exercise, low intensity exercise, moderate intensity exercise, high intensity exercise” in Chinese and English.
    RESULTS AND CONCLUSION: (1) Exercise and intestinal flora are both means to intervene in aging, and the combined benefits of exercise and gut microbiota in intervening in aging are even more pronounced. (2) Exercise changes the composition and function of intestinal flora, stimulates intestinal production of short-chain fatty acids, regulates host metabolism and immune function, reduces inflammatory response, and promotes the synthesis of vitamins and neurotransmitters. (3) The specific manifestations of aging, when the intestinal flora is regulated via different exercise modes, are different. (4) Different gut-organ axis regulated by exercise has different effects on aging. 
    Figures and Tables | References | Related Articles | Metrics
    Effects of antioxidant pretreatment on skeletal muscle damage and oxidative stress following acute high-intensity exercise: a meta-analysis
    Xia Caigui, Li Wei, Su Yuying, Shi Yu, Yang Zhonghe
    2026, 30 (24):  6345-6353.  doi: 10.12307/2026.237
    Abstract ( 71 )   PDF (2752KB) ( 620 )   Save
    OBJECTIVE: Current evidence indicates that exercise-induced oxidative stress involves a dual role of reactive oxygen species, which participate in exercise adaptation while potentially causing tissue damage, highlighting the necessity for precise regulation of antioxidant dosage and timing. This study employs a Meta-analytic approach to systematically evaluate the effects of antioxidant pretreatment on biomarkers of skeletal muscle oxidative stress injury following acute strenuous exercise, and to explore the moderating effects of dosage, intervention duration, and training status. 
    METHODS: A systematic search was conducted for randomized controlled trials that investigated the effects of antioxidant pretreatment on exercise-induced oxidative stress in PubMed, Web of Science, EBSCO, CNKI, VIP and WanFang databases from inception to February 2025. Literature quality was assessed using the physiotherapy evidence database scale. Data analysis was performed using RevMan 5.4 and Stata statistical software.
    RESULTS: (1) This meta-analysis included 16 studies from 12 publications, comprising 264 athletes and regularly exercising individuals. (2) The physiotherapy evidence database scale scores ranged from 6-8 (7 studies) to 9 (5 studies), indicating overall high methodological quality. (3) Meta analysis results showed that antioxidant pretreatment significantly decreased post-exercise serum creatine kinase[standardized mean difference (SMD)=-0.31, 95%confidence interval (CI) (-0.63, 0.00), P=0.05], interleukin-6 [SMD=-0.66, 95%CI (-1.03, -0.29), P=0.0005], and malondialdehyde levels [SMD=-1.10, 95%CI (-1.96, -0.23), P=0.01], while significantly increasing glutathione peroxidase activity [SMD=1.33, 95%CI (0.87, 1.78), P < 0.000 01] and total antioxidant capacity [mean difference=4.77, 95%CI (3.87, 5.67), P < 0.000 01]. Subgroup analysis revealed that low-dose (≤ 500 mg/d) short-term (≤ 14 days) interventions showed superior effects on malondialdehyde reduction (SMD=-1.15), whereas high-dose long-term interventions potentially attenuated exercise adaptation. Training status significantly moderated effect sizes, with greater malondialdehyde reduction in sub-elite versus elite athletes (P < 0.05).
    CONCLUSION: Antioxidant pretreatment effectively mitigates oxidative stress injury induced by acute intense exercise, but its efficacy is modulated by dosage, intervention duration, and training level. Short-term high-dose supplementation can aid in rapid recovery during competition periods, while long-term use requires balancing the antioxidant benefits against the risks of adaptive response suppression.
    Figures and Tables | References | Related Articles | Metrics
    Traditional Chinese sports intervene in sarcopenia and its complications in the elderly: a meta-analysis on improving muscle strength, mass, and physical function
    Chu Rui, Li Mingming, Xie Yeshou, Ni Tao, Du Yinuo
    2026, 30 (24):  6354-6364.  doi: 10.12307/2026.234
    Abstract ( 194 )   PDF (2357KB) ( 953 )   Save
    OBJECTIVE: Muscle function decline and physical impairment caused by sarcopenia and its complications increase the risk of adverse health outcomes in the elderly. However, systematic evidence on the efficacy of traditional Chinese sport interventions for these conditions remains insufficient. Therefore, this study employs meta-analysis to systematically evaluate the effectiveness of traditional Chinese sports in treating sarcopenia and its complications.
    METHODS: Following the Preferred Reporting Items for Systematic reviews and Meta-Analyses (PRISMA) guidelines, we systematically searched PubMed, Web of Science, Cochrane Library, CNKI, and Wanfang databases to choose randomized controlled trials evaluating traditional Chinese sport interventions for sarcopenia and its complications. Experimental group received one or more traditional Chinese sports, such as Yi Jin Jing, Tai Chi, Ba Duan Jin, etc., while control groups received health education, routine care, or remote Tai Chi guidance. Outcomes included grip strength, knee muscle strength, appendicular skeletal muscle index, sit-to-stand test, walking speed, timed up and go test, and the short physical performance battery. Meta-analysis was conducted using Revman 5.4 and Stata 15.1 software. Subgroup analysis was used to identify optimal protocol parameters for traditional Chinese sports in managing sarcopenia and its complications in the elderly.
    RESULTS: Twenty-one studies (n = 1 313) were included. Meta-analysis revealed that traditional Chinese sports significantly improved grip strength (mean difference = 1.83, 95% confidence interval: 1.65, 2.01, P < 0.000 01), knee muscle strength (mean difference = 5.98, 95% confidence interval: 3.85, 8.11, P < 
    0.000 01), appendicular skeletal muscle index (mean difference = 0.22, 95% confidence interval: 0.10, 0.34, P = 0.000 4), walking speed (mean difference = 0.12, 95% confidence interval: 0.09, 0.16, P < 0.000 01), sit-to-stand test performance (mean difference = 1.92, 95% confidence interval: 1.41, 2.43, P < 0.000 01), timed up and go test score (standard mean difference = -1.00, 95% confidence interval: -1.25,  -0.74, P < 0.000 01), and short physical performance battery score (mean difference = 1.12, 95% confidence interval: 0.77, 1.46, P < 0.000 01). Subgroup analysis revealed that Yi Jin Jing (intervention > 12 weeks, > 3 sessions per week, ≤ 30 minutes per session) was most effective for enhancing grip strength in these patients. Ba Duan Jin (12-week intervention, ≤ 3 sessions per week, > 30 minutes per session) demonstrated optimal efficacy for improving appendicular skeletal muscle index. Tai Chi (intervention > 12 weeks, > 3 sessions per week, ≤ 30 minutes per session) or Ba Duan Jin (12-week intervention, 3 sessions per week, > 30 minutes per session) significantly improved walking speed. Yi Jin Jing (8-week intervention, 5 sessions per week, ≤ 40 minutes per session) yielded the best results for sit-to-stand test performance. Ba Duan Jin (intervention > 12 weeks, ≤ 3 sessions per week, single session duration > 30 minutes and ≤ 40 minutes) showed the most pronounced improvement in timed up and go test score.
    CONCLUSION: Traditional Chinese sports effectively improve grip strength, knee muscle strength, appendicular skeletal muscle index, and physical function in elderly patients with sarcopenia and its complications. They exhibit specific effects under different intervention parameters. It is recommended that individualized sports prescriptions be formulated in clinical practice according to the target outcomes.
    Figures and Tables | References | Related Articles | Metrics
    Network meta-analysis of different virtual reality devices for treating upper limb motor dysfunction after stroke
    Nie Yue, Song Shuhua, Zhao Shengting, Dong Yangyang, Yang Bingxin
    2026, 30 (24):  6365-6372.  doi: 10.12307/2026.167
    Abstract ( 120 )   PDF (2424KB) ( 38 )   Save
    OBJECTIVE: Upper limb dysfunction after stroke is a common complication that seriously affects the quality of life and daily activity of patients. Virtual reality technology, as an emerging rehabilitation method, can effectively promote neural remodeling and functional recovery. This study will systematically evaluate the therapeutic effects of different virtual reality devices on upper limb motor dysfunction in patients with stroke.
    METHODS: The China National Knowledge Infrastructure (CNKI), WanFang Database, VIP website, PubMed, Web of Science, Embase, and the Cochrane Library were searched to retrieve relevant literature. Relevant data were extracted, and their quality was assessed. The control group received conventional rehabilitation treatment, while the experimental group received virtual reality rehabilitation training in addition to the treatment provided to the control group. Statistical analysis was performed using RevMan 5.4 and Stata 18.0 software.
    RESULTS: (1) A total of 12 articles and 571 patients were included in the final analysis. (2) Meta-analysis results showed that the Fugl-Meyer Assessment-Upper Extremity score of the experimental group was 7.29 times higher than that of the control group [mean difference (MD) = 7.29, 95% confidence interval (CI) 5.60–8.98, P < 0.05]. The Action Research Arm Test score of the experimental group was 10.69 times higher than that of the control group (MD = 10.69, 95% CI 4.96–16.43, P < 0.05). Additionally, the Modified Barthel Index score of the experimental group was 8.25 times higher than that of the control group (MD = 8.25, 95% CI 3.38–13.12, P < 0.05). (3) The subgroup analysis results showed that patients aged 50-59 years had better improvements in Fugl-Meyer Assessment-Upper Extremity score. Patients with a disease duration of less than 3 months also showed greater improvements in Fugl-Meyer Assessment-Upper Extremity score. Furthermore, when the intervention period was ≥ 4 weeks, the improvement in Fugl-Meyer Assessment-Upper Extremity score was the most significant. (4) Network meta-analysis demonstrated that the smart glove intervention [MD = -1.05, 95% CI (-1.85, -0.24), P < 0.05] was the most effective for improving upper limb motor function. The Armeo Spring intervention [MD = -1.19, 95% CI (-1.87, -0.51), P < 0.05] was the most effective for enhancing upper limb coordination, while the Kinect intervention [MD = -0.59, 95% CI (-1.13, -0.06), P < 0.05] was most effective for improving hand dexterity. The VREX intervention [MD = -0.76, 95% CI (-1.28, -0.23), P < 0.05] was the most effective for improving activities of daily living. 
    CONCLUSION: The smart glove system is the preferred choice for improving upper limb motor function. The Armeo Spring system is the preferred choice for enhancing upper limb coordination. The Kinect system is the preferred choice for improving hand dexterity. The VREX system is the preferred choice for enhancing daily living activities. This study has certain limitations, and the conclusions drawn should be considered as rational references.

    Figures and Tables | References | Related Articles | Metrics
    Non-invasive brain stimulation for core symptoms in children with autism spectrum disorder: a network meta-analysis
    Fang Enhui, Guan Hui, Ma Lihong
    2026, 30 (24):  6373-6381.  doi: 10.12307/2026.230
    Abstract ( 86 )   PDF (3416KB) ( 511 )   Save
    OBJECTIVE: Non-invasive brain stimulation has been shown to improve restricted, repetitive behaviors and social deficits in children with autism; however, the efficacy of different stimulation protocols varies. This study systematically evaluated the efficacy of non-invasive brain stimulation on core symptoms in children with autism and compared the efficacy of different stimulation protocols.
    METHODS: Comprehensive electronic searches were conducted across CNKI, VIP, WanFang, CBM, PubMed, Embase, Cochrane Library, and Web of Science from database inception through March 2025 to identify randomized controlled trials evaluating non-invasive brain stimulation protocols targeting core symptoms in children with autism spectrum disorder. Two independent reviewers performed dual-phase screening, data extraction, and methodological quality assessment using the Cochrane Risk of Bias Tool version 2.0. Both conventional and network meta-analyses were implemented through Revman 5.4 and Stata 17.0.
    RESULTS: A total of 27 studies were finally included for review, involving 10 stimulation protocols of non-invasive brain stimulation and including 1 701 children with autism. (1) The results of conventional Meta-analysis showed that non-invasive brain stimulation was more effective than conventional rehabilitation in lowering the scores of Childhood Autism Rating Scale, Autism Behavior Checklist, Autism Treatment Evaluation Checklist, and Repetitive Behavior Scale. (2) The results of network meta-analysis showed that, compared with conventional rehabilitation, high-frequency repetitive transcranial magnetic stimulation of the dorsolateral prefrontal cortex [mean difference=-6.00, 95% confidence interval (-8.68, -3.33), P < 0.05, surface under the cumulative ranking curve=89.5%] had the best efficacy in lowering Childhood Autism Rating Scale scores, whereas high-frequency repetitive transcranial magnetic stimulation of Broca [mean deviation=-15.11, 95% confidence interval (-18.28,-11.95), P < 0.05, surface under the cumulative ranking curve=91.1%] had the best efficacy in lowering Autism Behavior Checklist scores.
    CONCLUSION: Current evidence has suggested that high-frequency repetitive transcranial magnetic stimulation has the best efficacy in improving core symptoms in children with autism. Given the dual limitations of methodological heterogeneity and small sample sizes in current studies, future large-scale, rigorously designed randomized controlled trials are required to validate these findings. 
    Figures and Tables | References | Related Articles | Metrics
    Multi-omics approach unveils novel therapeutic targets for osteoporosis: integrated analysis of Asian and European gene-tissue expression consortium data
    Chen Yongxi
    2026, 30 (24):  6382-6389.  doi: 10.12307/2026.190
    Abstract ( 94 )   PDF (2757KB) ( 30 )   Save
    BACKGROUND: With the acceleration of China's aging population, the number of osteoporosis patients has been increasing significantly. Recent advancements in genome-wide association studies and single-cell transcriptomic sequencing have empowered researchers to identify novel osteoporosis-associated genes through integrative multi-omics analyses.
    OBJECTIVE: To identify potential therapeutic targets for osteoporosis using summary data-based Mendelian randomization approaches that integrate genome-wide association studies and transcriptomic data from Asian and European populations.
    METHODS: By integrating cis-expression quantitative trait loci (cis-eQTL) and protein quantitative trait loci (pQTL) datasets from multiple tissues (blood and muscle-bone)(cis-expression quantitative trait loci datasets for human blood and bone-muscle tissues were obtained from the Genotype-Tissue Expression (GTEx) Project v.8, which is a large-scale international collaborative project focusing on gene expression variation across different tissues/organs and its association with genetic regulation) with osteoporosis genome-wide association study data (the 2021 European population osteoporosis genome-wide association studies data were obtained from the FinnGen database that is a large-scale genomic research project in Finland. The 2020 large-scale East Asian population genome-wide association study was obtained from Biobank Japan that is a large-scale population-based cohort study led by Japan; we employed a summary data-based Mendelian randomization approach to identify osteoporosis-associated genes. These identified genes were further analyzed using colocalization analysis, single-cell sequencing, and enrichment analysis. All data were derived from published studies or publicly accessible sources, with ethical approval and informed consent obtained for the original studies.
    RESULTS AND CONCLUSION: (1) By leveraging summary data-based Mendelian randomization analysis, a total of 64 genes (following the exclusion of duplicates) significantly associated with osteoporosis were identified. Among these, the human leukocyte antigen (HLA) alleles HLA-DQA1, HLA-DQA2, HLA-DQB1, HLA-DQB2, and HLA-DRB5 were robustly validated across two independent outcome datasets. (2) Colocalization analysis further prioritized HLA-DQA2 and HLA-DQB1 as causal candidates with strong evidence of colocalization (posterior probability PPH4 > 0.8). (3) Protein quantitative trait locus (pQTL) analysis revealed that elevated plasma levels of HLA-DQA2 were associated with a reduced risk of osteoporosis. (4) Single-cell sequencing analysis indicated that, within the immune microenvironment of osteoporosis, the abundance of dendritic cells, B cells, macrophages, and neutrophils was significantly higher than that of other cell populations. (5) Enrichment analysis results showed that the identified genes were enriched in the antigen presentation pathway of major histocompatibility complex class II molecules. (6) This study preliminarily identified several previously unreported osteoporosis-associated genes through bioinformatics analyses integrating Asian and European population genome-wide association data. These genes hold potential for further exploration as novel therapeutic targets for osteoporosis in clinical trials.
    Figures and Tables | References | Related Articles | Metrics
    Keloid pathogenesis is correlated with fibroblast heterogeneity genes: single-cell transcriptomic analysis based on GEO database
    Guo Tao, Liu Yuxin, Yan Meirong, Wang Xiaoni
    2026, 30 (24):  6390-6399.  doi: 10.12307/2026.199
    Abstract ( 86 )   PDF (10378KB) ( 48 )   Save
    BACKGROUND: Keloid is a chronic fibrotic skin disorder driven by abnormal fibroblast activation and dysregulated immune responses. However, its underlying molecular mechanisms remain largely unclear. With the advancement of single-cell transcriptomic technologies, integrating public databases with systematic bioinformatics analyses offers new opportunities to identify diagnostic biomarkers and therapeutic targets. 
    OBJECTIVE: To identify key biomarkers associated with fibroblast heterogeneity and immune cell interactions in the pathogenesis of keloids. 
    METHODS: Single-cell transcriptomic dataset GSE181297 and bulk transcriptomic dataset GSE14572 were retrieved from the Gene Expression Omnibus (GEO) public database. Cell subtypes were annotated and analyzed for changes in cellular composition. Pseudotime analysis was applied to infer differentiation trajectories of various cell populations. Weighted gene co-expression network analysis and differential gene expression analysis were conducted to identify fibroblast-related differentially expressed genes. Functional enrichment analyses, including Gene Ontology and Kyoto Encyclopedia of Genes and Genomes, were used to determine the involved biological processes and pathways. Protein-protein interaction network analysis, combined with three machine learning algorithms, was employed to identify hub genes. Receiver operating characteristic curve analysis was conducted to assess the diagnostic value of the candidate biomarkers. The expression patterns and correlation of hub genes in immune cells were also assessed. 
    RESULTS AND CONCLUSION: (1) Single-cell transcriptomic analysis revealed a significantly increased proportion of endothelial cells, fibroblasts, smooth muscle cells, T cells, mast cells, macrophages, and lymphatic endothelial cells in keloid tissue, with fibroblasts being the most abundant. (2) Pseudotime analysis showed that fibroblasts were primarily located in states 1, 2, and 3, indicating an early and highly plastic differentiation stage with a significant growth potential. (3) A total of 80 fibroblast-related differentially expressed genes were identified, mainly enriched in regionalization, skeletal system morphogenesis, and embryonic skeletal development pathways. (4) Integrating protein-protein interaction network analysis and machine learning approaches, HOXC4 was identified as a key biomarker. Receiver operating characteristic curve analysis demonstrated that HOXC4 had strong diagnostic performance and was highly expressed in keloid samples. (5) Immune correlation analysis showed a significant positive correlation between HOXC4 and resting natural killer cells, and a significant negative correlation with activated dendritic cells and activated natural killer cells. This study systematically characterizes fibroblast heterogeneity and immune microenvironment interactions in keloid pathogenesis at the single-cell level. HOXC4 has been identified as a potential diagnostic biomarker associated with fibroblast function and immune regulation, providing new insights for early diagnosis and targeted therapy of keloids. 
    Figures and Tables | References | Related Articles | Metrics
    Scientometric deconstruction of developmental dynamics in upper-limb rehabilitation robotics: evidence network analysis via CiteSpace
    Wang Feifei, Wang Zhennan
    2026, 30 (24):  6400-6409.  doi: 10.12307/2026.202
    Abstract ( 67 )   PDF (55622KB) ( 23 )   Save
    BACKGROUND: Upper limb rehabilitation robots have emerged as an indispensable component in global healthcare systems. Despite the extensive body of research in this field, which primarily focuses on areas such as development and application, there remains a significant need for comprehensive, systematic literature analysis to thoroughly examine the current research landscape, identify emerging hotspots, and predict future trends in this domain. 
    OBJECTIVE: To conduct a visual analysis of research status, hotspots, and trends in the field of upper limb rehabilitation robots over the past decade using CiteSpace software, with the aim of identifying key research directions and providing intuitive references for researchers. 
    METHODS: This study systematically retrieved literature related to upper-limb rehabilitation robotics from CNKI and the Web of Science Core Collection published between January 1, 2015, and March 13, 2025. CiteSpace 6.1.R1 software was employed for visualized analysis of included literature, covering key dimensions such as publication volume, authors, institutions, keywords, clusters, and bursts. 
    RESULTS AND CONCLUSION: (1) A total of 1 054 articles were included, involving 659 authors. The United States held the highest overall ranking in terms of both research publication volume and centrality in this field. Among the contributing institutions, Northeast University and Univ Shanghai Sci&Technol ranked the highest in publication volume. Visualization analysis indicated an overall upward trend in upper limb rehabilitation robotics research, yet revealed limited collaboration among researchers and institutions. Key research domains encompassed core technological methodologies, robot design and optimization, control strategies and algorithms, clinical application and evaluation, and integration of emerging technologies and interdisciplinary approaches. (2) Future research can focus on technological fusion and intelligent system upgrades, interdisciplinary collaborative innovation, and refinement of clinical applications to drive sustained advancements in this field.

    Figures and Tables | References | Related Articles | Metrics
    Visual analysis of the research literature on plantar fasciitis
    Wang Fei, Wang Hangping, Dai Rongjuan, Gong Lingxuan
    2026, 30 (24):  6410-6420.  doi: 10.12307/2026.233
    Abstract ( 81 )   PDF (4430KB) ( 36 )   Save

    BACKGROUND: Existing research on plantar fasciitis predominantly focuses on single techniques, short-term efficacy, pathogenesis, and diagnostic/evaluation studies. Systematic integration of global research trends and core hotspots is lacking.

    OBJECTIVE: To analyze the current status, hotspots, and trends in research on plantar fasciitis.
    METHODS: Search terms and free-text keywords related to plantar fasciitis were retrieved from PubMed to construct a search strategy. Relevant literature published between 1996 and 2025 was retrieved from the Web of Science Core Collection database. CiteSpace software, Excel, and Sci Explorer were used to perform co-occurrence analysis, salience analysis, and clustering analysis on countries, authors, institutions, disciplines, journals, keywords, and cited literature within this field.
    RESULTS AND CONCLUSION: A total of 1 606 articles were included in this visual analysis. The number of publications in plantar fasciitis research showed a fluctuating upward trend from 1996 to 2025. The United States was the most prolific country, contributing 423 articles (27.10% of the total). The institution with the highest output was Harvard University (USA) with 36 publications. The most prolific author was Landorf KB from La Trobe University with 33 publications. The most influential journal was Foot Ankle International, publishing 112 articles with a total of 950 citations. The most impactful paper was “Shock Wave Therapy for Chronic Proximal Plantar Fasciitis.” In research field of plantar fasciitis, key therapeutic hotspots include extracorporeal shock wave therapy, platelet-rich plasma, and corticosteroid injections. However, the long-term efficacy, safety, cost, and standardized treatment protocols for these approaches remain controversial. Diagnostic research primarily focuses on shear wave elastography for diagnosis and assessment, with the development of objective and quantitative clinical diagnostic criteria being currently a hot topic of research. Mechanistic research involved the biomechanical transmission of vertical pressure from the hip-knee-ankle-foot under a biomechanical perspective and how it influences the development of plantar fasciitis.


    Figures and Tables | References | Related Articles | Metrics
    m6A-related ferroptosis gene expression and its association with immune infiltration in Alzheimer’s disease: machine learning and molecular biology validation
    Xu Dongfang, Zhao Kun, Lu Changzhu, Wang Yuge, Bai Lianjie, Meng Fanmou, Wang Yang, , Yao Hongbo
    2026, 30 (24):  6421-6432.  doi: 10.12307/2026.242
    Abstract ( 65 )   PDF (34546KB) ( 45 )   Save
    BACKGROUND: Alzheimer's disease is a neurodegenerative disorder. Although amyloid-beta and tau proteins are core biomarkers for the diagnosis of Alzheimer's disease, exploring new biomarkers for disease diagnosis and treatment is still of great significance due to their heterogeneity and diagnostic limitations.
    OBJECTIVE: To analyze the interplay between N6-methyladenosine epitranscriptomic modifications and ferroptosis-related genes in Alzheimer’s disease, and identify characteristic genes associated with Alzheimer’s disease pathogenesis through machine learning, bioinformatics analysis, and experimental validation, and to reveal their regulatory associations through the immune microenvironment, providing novel biomarkers for the early diagnosis and precise treatment of Alzheimer’s disease.
    METHODS: The tissue transcriptomic data from GSE5281, GSE48350 (training sets) and GSE33000 (validation set) in the GEO database were integrated. N6-methyladenine regulatory factors with differential expression in Alzheimer’s disease from the training set were screened. The correlation between N6-methyladenine and ferroptosis genes was evaluated. Ferroptosis-related differential genes associated with N6-methyladenine were identified. Support vector machine recursive feature elimination algorithm combined with the Boruta feature selection model was used to determine the characteristic genes of Alzheimer’s disease. The functional modules of these characteristic genes were deciphered via gene set enrichment analysis. A logistic regression model integrated with the receiver operating characteristic curve were evaluated the diagnostic efficacy of the characteristic genes in the validation set. The single-sample gene set enrichment analysis was quantified immune cell infiltration levels and their regulatory associations of these cells with the characteristic genes were analyzed. Based on the ENCORI database, miRWalk 3.0 database, and NetworkAnalyst, the transcription factor/miRNA–mRNA regulatory network was constructed. Potential therapeutic compounds were further screened using the CTD database. The experimental validation in the hippocampal tissue of APP/PS1 double-transgenic mice was conducted using quantitative reverse transcription polymerase chain reaction and Western blotting.
    RESULTS AND CONCLUSION: (1) Two significantly differentially expressed N6-methyladenosine regulatory factors were identified, namely Wilms’ tumor 1-associating protein (WTAP) and methyltransferase-like protein 14 (METTL14), along with a total of 16 ferroptosis-related genes associated with them. (2) Five hub characteristic genes were screened using machine learning, including fumarate hydratase, aspartate aminotransferase, GTPase HRas, metallothionein-3, histone-lysine n-methyltransferase SETD1B. (3) The functions of characteristic genes were enriched in the oxidative phosphorylation signaling pathway, Huntington's disease, Parkinson's disease, fatty acid degradation and metabolic pathway, and proteasome signaling pathway. (4) The area under the curve values of the constructed logistic regression diagnostic model in the training set and the validation set were 0.873 and 0.904, respectively, indicating excellent diagnostic efficiency of the feature genes. (5) Immune microenvironment analysis revealed that the GTPase HRas gene is significantly correlated with the levels of CC chemokine receptor family members and plasmacytoid dendritic cell infiltration. (6) The regulatory network containing 5 mRNA-37 miRNA-142 transcription factors was constructed, predicting 71 targeted therapeutic drugs. (7) Experimental verification showed that the mRNA and protein expression levels of aspartate aminotransferase, GTPase HRas and histone-lysine N-methyltransferase SETD1B in the hippocampus of APP/PS1 mice were significantly different (P < 0.05 or P < 0.01), which was consistent with the bioinformatics results. (8) These results reveal that fumarate hydratase, aspartate aminotransferase, GTPase HRas, metallothionein-3 and histone-lysine N-methyltransferase SETD1B as characteristic genes associated with the pathogenesis of Alzheimer's disease. Immune infiltration cell association analysis suggests that GTPase HRas may have the value of immunotherapy markers for Alzheimer's disease, providing a theoretical basis for early diagnosis and targeted therapy of the disease.
    Figures and Tables | References | Related Articles | Metrics