Chinese Journal of Tissue Engineering Research ›› 2021, Vol. 25 ›› Issue (11): 1693-1698.doi: 10.3969/j.issn.2095-4344.3075

Previous Articles     Next Articles

Effects of aerobic and resistance exercises on endoplasmic reticulum stress-related proteins in diabetic peripheral neuropathy rats

Shui Xiaoping1, 2, 3, Li Chunying4, Cao Yanxia1, Su Quansheng3   

  1. 1Sichaun College of Traditional Chinese Medicine, Mianyang 621000, Sichuan Province, China; 2Mianyang Osteological Hospital, Mianyang 621000, Sichuan Province, China; 3College of Sports Medicine and Health, Chengdu Sport University, Chengdu 610041, Sichuan Province, China; 4Mianyang Hospital of Traditional Chinese Medicine, Mianyang 621000, Sichuan Province, China
  • Received:2020-06-17 Revised:2020-06-20 Accepted:2020-07-11 Online:2021-04-18 Published:2020-12-21
  • Contact: Shui Xiaoping, Sichaun College of Traditional Chinese Medicine, Mianyang 621000, Sichuan Province, China; Mianyang Osteological Hospital, Mianyang 621000, Sichuan Province, China; College of Sports Medicine and Health, Chengdu Sport University, Chengdu 610041, Sichuan Province, China
  • About author:Shui Xiaoping, MD, Associate professor, Sichaun College of Traditional Chinese Medicine, Mianyang 621000, Sichuan Province, China; Mianyang Osteological Hospital, Mianyang 621000, Sichuan Province, China; College of Sports Medicine and Health, Chengdu Sport University, Chengdu 610041, Sichuan Province, China
  • Supported by:
    the Natural Science General Project of Sichuan Provincial Education Department in 2017, No. 17ZB0397 (to SXP)

Abstract: BACKGROUND: Studies have suggested that endoplasmic reticulum stress is involved in the process of diabetic peripheral neuropathy, and improving the state of endoplasmic reticulum stress can reduce the degree of diabetic peripheral neuropathy. Whether exercise has a positive effect on endoplasmic reticulum stress in diabetic peripheral nerves is rarely documented.
OBJECTIVE: To observe the effects of aerobic and resistance exercise on the expression of Grp78, Chop and Caspase-12 in the endoplasmic reticulum stress signal pathway in the sciatic nerve of type 2 diabetic mellitus (T2DM) rats. 
METHODS: Sixty Sprague-Dawley male rats were divided into normal control group (normal diet, n=24) and T2DM model group (n=36). Rats in the T2DM model group were fed with high-fat and high-sugar diet for 8 weeks to establish T2DM models. Rats in the normal control group were randomly subdivided into quiet control group, aerobic exercise group and resistance exercise group, while those in the T2DM model group were randomized into quiet T2DM group, T2DM aerobic exercise group, and T2DM resistance exercise group. Aerobic and resistance exercises in corresponding groups lasted for 8 weeks. After 8 weeks exercise, fasting blood glucose, insulin level, insulin resistance index, mechanical withdrawal threshold (MWT) and thermal withdrawal latency (TWL) were measured. The structural changes of the sciatic nerve were observed by transmission electron microscope. The expression levels of Grp78, Chop and Caspase-12 in the sciatic nerve were detected by western blot. An ethic approval was obtained from the Animal Experimental Ethics Committee of Chengdu Sport University (approval No. 2018024A).
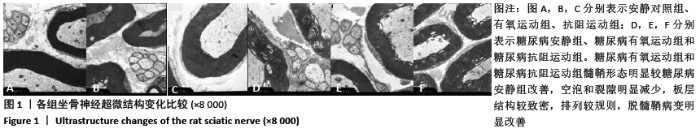
RESULTS AND CONCLUSION:  After 8 weeks of exercise, compared with the quiet control group, fasting blood glucose and HOMA-IRI in all T2DM rats increased significantly (P < 0.01). Compared with the quiet T2DM group, fasting blood glucose and insulin resistance index in the two T2DM exercise groups were significantly reduced (P < 0.01), while fasting blood glucose in the T2DM resistance exercise group was significantly lower than that of T2DM aerobic exercise group (P < 0.05). Compared with the quiet control group, the structure of the sciatic nerve in all T2DM rats showed typical demyelination changes, including disordered and loose myelin sheath arrangement, lamellar separation and shrinkage. Compared with the quiet T2DM group, the two T2DM groups had tighter myelin structure of the sciatic nerve and milder lamellar separation. Compared with the quiet control group, the MWT and TWL in the quiet T2DM group and T2DM resistance exercise group declined significantly (P < 0.01), whereas the TWL in the T2DM aerobic exercise group was significantly higher than that in the T2DM resistance exercise group (P < 0.05). Compared with the quiet control group, the expression of Grp78, Chop, and Caspase-12 in the quiet T2DM group was significantly increased (P < 0.01). Compared with the quiet T2DM group, the expression of Grp78, Chop, and Caspase-12 in the T2DM aerobic exercise group was significantly decreased (P < 0.01; P < 0.05). The expression of Grp78 and Caspase-12 in the T2DM resistance exercise group was significantly higher than that in the T2DM aerobic exercise group (P < 0.05). To conclude, endoplasmic reticulum stress in the peripheral nerve of diabetic rats results in demyelination of peripheral nerve and decrease of MWT and TWL in diabetic rats. Both aerobic exercise and resistance exercise can reduce the endoplasmic reticulum stress in the peripheral nerve of diabetic rats, and improve the structure and function of the sciatic nerve. Moreover, the effect of aerobic exercise on the endoplasmic reticulum stress is better than that of resistance exercise.


Key words: diabetic peripheral neuropathy">, aerobic exercise">, resistance exercise">, endoplasmic reticulum stress">, mode" id="__kindeditor_bookmark_start_192__">l">, " id="__kindeditor_bookmark_end_193__"> rat

CLC Number: