Chinese Journal of Tissue Engineering Research ›› 2026, Vol. 30 ›› Issue (19): 4983-4989.doi: 10.12307/2026.223

Previous Articles     Next Articles

Protective effect of optimization of the whole blood separation process to prepare therapeutic-grade platelet lysate on cardiomyocytes from hypoxic injury

Jiang Lihong1, 2, Lin Fuwen1, Chen Ying1, 2, Huang Yuchen1, 2, Peng Shaojing1, Chen Jierun1, 2, Su Changshan1, 2, Zhong Zhoulin1, 2   

  1. 1Nanning Central Blood Station, Nanning 530007, Guangxi Zhuang Autonomous Region, China; 2Nanning Institute of Transfusion Medicine, Nanning 530007, Guangxi Zhuang Autonomous Region, China
  • Received:2025-08-01 Accepted:2025-10-22 Online:2026-07-08 Published:2026-02-24
  • Contact: Zhong Zhoulin, MS, Chief technician, Nanning Central Blood Station, Nanning 530007, Guangxi Zhuang Autonomous Region, China; Nanning Institute of Transfusion Medicine, Nanning 530007, Guangxi Zhuang Autonomous Region, China Co-corresponding author: Su Changshan, Associate chief physician, Nanning Central Blood Station, Nanning 530007, Guangxi Zhuang Autonomous Region, China; Nanning Institute of Transfusion Medicine, Nanning 530007, Guangxi Zhuang Autonomous Region, China
  • About author:Jiang Lihong, Technician-in-charge, Nanning Central Blood Station, Nanning 530007, Guangxi Zhuang Autonomous Region, China; Nanning Institute of Transfusion Medicine, Nanning 530007, Guangxi Zhuang Autonomous Region, China
  • Supported by:
    Self-Funded Research Project of Guangxi Zhuang Autonomous Region Health Commission, No. Z-A20231264 (to JLH); Self-Funded Research Project of Guangxi Zhuang Autonomous Region Health Commission, No. Z-A20231265 (to ZZL)

Abstract: BACKGROUND: Platelets, crucial blood components, are commonly discarded along with white blood cells in traditional blood processing and become medical waste. Optimizing whole blood separation processes to prepare platelet lysate products and exploring their applications in tissue engineering and regenerative medicine are of great value. 
OBJECTIVE: To optimize blood separation for therapeutic-grade platelet lysate production and explore the protective impact of platelet lysate on myocardial hypoxia injury.
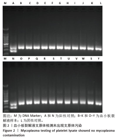
METHODS: Twenty-one platelets were isolated from whole blood using a closed blood bag and tubing system, followed by the preparation of twenty-one platelet lysates through the freeze-thaw method. The concentrations of platelet-derived growth factors (platelet-derived growth factor AA, platelet-derived growth factor BB, and platelet-derived growth factor AB), vascular endothelial growth factor, epidermal growth factor, insulin-like growth factor, fibroblast growth factor, and transforming growth factor-β1 in the platelet lysate were quantified using an enzyme-linked immunosorbent assay kit. Detection ranges for these factors were determined. Bacterial and mycoplasma contamination were observed using the colony culture method and a Mycoplasma PCR detection kit, respectively. A hypoxic cardiomyocyte model was established to evaluate the protective effects of platelet lysate on hypoxia-stressed cardiomyocytes.
RESULTS AND CONCLUSION: (1) The concentration ranges of major growth factors and cytokines in platelet lysates were as follows: platelet-derived growth factor AA: 12.86-24.17 μg/L, platelet-derived growth factor BB: 0.25-0.32 μg/L, platelet-derived growth factor AB: 85.09-114.91 μg/L, vascular endothelial growth factor: 10.57-58.37 μg/L, epidermal growth factor: 0.43-0.69 μg/L, insulin-like growth factor 1: 106-204.9 μg/L, fibroblast growth factor: 0.03-0.06 μg/L, transforming growth factor β1: 124.17-192.38 μg/L. (2) Colony culture and mycoplasma detection yielded negative results. (3) The efficiency of cardiomyocyte proliferation was highest with a low concentration (1%) of platelet lysate in culture. A 1% concentration of platelet lysate effectively stimulated cardiomyocytes to produce high levels of superoxide dismutase and glutathione peroxidase, providing protective effects for cardiomyocytes. This study established a method for preparing therapeutic-grade platelet lysate by optimizing the whole blood separation process, thereby improving the utilization of blood resources. Platelet lysate, rich in essential growth factors, significantly promotes the repair of hypoxic injuries in cardiomyocytes.


Key words: platelet lysate, platelet-rich plasma, growth factor, cell culture, myocardial cell, superoxide dismutase, glutathion peroxidase

CLC Number: