Chinese Journal of Tissue Engineering Research ›› 2026, Vol. 30 ›› Issue (15): 3885-3896.doi: 10.12307/2026.725

Previous Articles     Next Articles

Application of a novel femoral neck anteversion angle measurement device in intramedullary nailing fixation for intertrochanteric fractures

Wang Shufang, Kang Xiaoqin, Liu Zhi, Shen Bing, Zhang Feng, Song Yuanzheng, Zhang Shuaigong   

  1. First Department of Orthopedics and Traumatology, Tengzhou Central People’s Hospital, Tengzhou 277500, Shandong Province, China
  • Accepted:2025-07-11 Online:2026-05-28 Published:2025-11-06
  • Contact: Zhang Shuaigong, MS, Associate chief physician, First Department of Orthopedics and Traumatology, Tengzhou Central People’s Hospital, Tengzhou 277500, Shandong Province, China
  • About author:Wang Shufang, MS, Attending physician, First Department of Orthopedics and Traumatology, Tengzhou Central People’s Hospital, Tengzhou 277500, Shandong Province, China

Abstract: ACKGROUND: During intramedullary nailing fixation for intertrochanteric femoral fractures, surgeons encounter challenges in real-time assessment of the anteversion angle during femoral neck guide needle placement. Current clinical practice lacks specialized instrumentation for this specific functionality.
OBJECTIVE: To develop a measurement device compatible with common surgical instruments that enables real-time intraoperative monitoring and indication of the femoral neck guide needle anteversion angle, thereby assisting surgeons in achieving rapid and precise placement.
METHODS: Based on Brunner's method for measuring femoral neck anteversion, a digital model of the femoral anteversion angle measuring device was designed and 3D-printed. A surgical model was constructed using anatomically scaled human femur phantoms and auxiliary structures to simulate intertrochanteric fracture fixation for intertrochanteric fractures on a traction bed. The 3D-printed prototype was utilized to assist guide needle insertion. Three groups of femur models were tested, with experimental data recorded and statistically analyzed. The device design was optimized, and a physical prototype was produced. Twenty patients with intertrochanteric femoral fractures were prospectively enrolled (trial group: n=10, control group: n=10). The trial group underwent guide needle placement assisted by the measurement device, while the control group received conventional treatment by the same surgical team. Comparative analysis of surgical parameters was conducted to evaluate device efficacy and clinical utility.
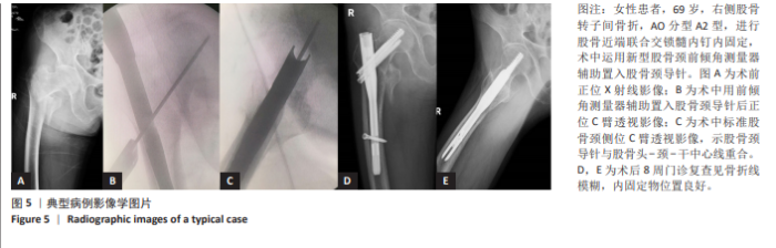
RESULTS AND CONCLUSION: (1) The novel femoral neck anteversion angle measurement device (Patent No. ZL202120806525.X) enables real-time measurement of the anteversion angle of the proximal guide frame during intramedullary nailing. (2) The novel anteversion angle measurement device can accurately reflect the femoral neck anteversion measured by Brunner's method and indicate the required proximal guide frame angle for guide needle insertion. (3) Clinical trial results showed that compared with the control group, the trial group had shorter surgical time (P=0.042), less femoral neck guide wire deviation (P=0.001), fewer fluoroscopy sessions, fewer repeated guide wire placements, and shorter guide wire placement time (P < 0.05). (4) The novel anteversion angle measurement device can accurately measure and indicate the anteversion angle of the femoral neck guide wire during real-time intraoperative use. It can be used with a variety of proximal femoral intramedullary nail fixation device systems, does not directly contact the human body, and does not cause additional damage, making it valuable for clinical promotion. 


Key words: femoral neck anteversion, measurement device, intertrochanteric fracture, intraoperative measurement, surgical instruments, homemade instrument

CLC Number: