Chinese Journal of Tissue Engineering Research ›› 2015, Vol. 19 ›› Issue (48): 7731-7735.doi: 10.3969/j.issn.2095-4344.2015.48.004

Previous Articles     Next Articles

Total knee arthroplasty based on the assistance of three-dimensional-printing personalized surgical navigation template

Qiu Bing1, Zhang Ming-jiao2, Tang Ben-sen1, Deng Bi-yong1, Li Di-chen2, Liu Fei3   

  1. 1Guizhou Province Osteological Hospital, Guiyang 550007, Guizhou Province, China; 2State Key Laboratory for Manufacturing System Engineering, Xi’an Jiaotong University, Xi’an 710049, Shaanxi Province, China; 3Arigin Medical Co.,Ltd., Suzhou 215021, Jiangsu Province, China
  • Received:2015-09-13 Online:2015-11-26 Published:2015-11-26
  • About author:Qiu Bing, Chief physician, Guizhou Province Osteological Hospital, Guiyang 550007, Guizhou Province, China

Abstract:

BACKGROUND: With significantly individual differences in the anatomy of the knee joint, traditional total knee replacement is difficult to accurately predict the position of locating limb alignment, size of the prosthesis and osteotomy amount of patients during operation.
OBJECTIVE: To investigate the clinical effect of total knee replacement based on the assistance of medical image reconstruction, computer-aided design technology and 3D-printing personalized surgical navigation template.
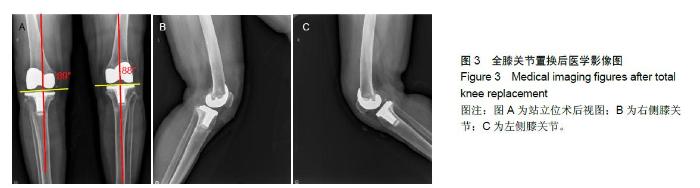
METHODS: Medical image data of patients were collected using CT or magnetic resonance scanning equipment. The three-dimensional reconstruction of the bone was conducted by two-dimensional medical image processing technology. The navigation template was designed by computer-aided design technology. The personalized surgical navigation templates were produced by 3D printing technology, and the clinical total knee replacement was conducted. The postoperative results were evaluated using imageology.
RESULTS AND CONCLUSION: Arigin 3D Pro (Arigin Medical Co., Ltd.) can accurately reconstruct a three-dimensional model of the lower limb bones. The three-dimensional design software Arigin Surgical Templating by their independent research and development can precisely pinpoint related lower limb axis, including limb alignment, rotation axis of the femur and osteotomy reference point. The personalized navigation template we researched and produced for knee surgery fitted tightly with femoral condyle and tibial plateau bone anatomy during operation, 
without significant movement. The deviation of patients’ limb alignment was less than 3° after total knee replacement. 

CLC Number: